Volume 10 - Issue 5 - May 2011

Consultant for Pediatricians

Purple-Blue Nodules
Purple-Blue Nodules
05/15/2011
Alexander K.C. Leung, MD, MBBS, FRCPC, FRCP; Laura Stewart, MD; Saleem Raza, MD; Hernando Lyons, MD; Ilango Thirumoorthi, BS
A 7-year-old girl presented to the emergency department with a subjective fever, nonradiating right upper quadrant abdominal pain, dizziness, generalized headache, blurry vision, and photophobia of 6 days’...
05/15/2011
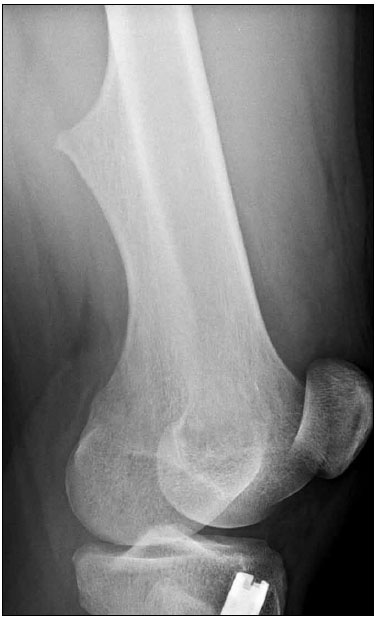
Thigh Pain and Swelling
Thigh Pain and Swelling
05/15/2011
William Yaakob, MD; Roli Agrawal, MD; Sarah Kizilbash, MD
<p><img src="/sites/default/files/transfer/Untitled-48_0.jpg" style="margin-left: 8px; margin-right: 8px; float: left;" width="150" height="246">An...
05/15/2011
Enlarged Toes
Enlarged Toes
05/15/2011
Madiha Raina, DO; Karin M. Hillenbrand, MD, MPH
<p><img src="/sites/default/files/transfer/Enlarged2and3toe.jpg" style="float: left; margin-left: 8px; margin-right: 8px; border: 1px solid black;" width="150"...
05/15/2011
Congenital Epulis
Congenital Epulis
05/15/2011
Jeannette Nji, MD; Somil Gupta, MD; Sumit Fogla, MD
A full-term, vaginally-delivered 3164-g female newborn was noted to have a fleshy mass intermittently protruding from her mouth.
05/15/2011
allergic reaction
allergic reaction
05/15/2011
Nasir Ahmed, MD
After mowing the lawn for the first time, a 12-year-old boy had severe pruritus all over his body, watery and puffy eyes, and a husky voice.
05/15/2011
Agminated Spitz Nevi
Agminated Spitz Nevi
05/15/2011
Barbara B. Wilson, MD; Deepak M. Kamat, MD, PhD; Allen G. Strickler, PhD
This 30-month-old boy was brought for evaluation of a cluster of 4 dark pink, firm, nonblanchable papules, ranging from 1 to 5 mm, near the right lateral canthus.
05/15/2011
Newborn Nutrition
Newborn Nutrition
05/15/2011
Ann L. Kellams, MD
The best practice for newborn nutrition is to offer no food or drink other than human milk, unless medically indicated.
05/15/2011
Autism
Autism
05/13/2011
John W. Harrington, MD
The recent article in Archives of Pediatrics & Adolescent Medicine by Shattuck and colleagues1 should act as a wake-up call to all policymakers about the use of resources for families with a disabled...
05/13/2011
Facial rash
Facial rash
05/13/2011
Kirk Barber, MD, FRCPC
This 11-year-old girl is concerned about the persistent redness and roughness of her cheeks, which she has had since age 7 years.
05/13/2011
Lead toxicity
Lead toxicity
05/13/2011
Jacob J. Rosenberg, MD; Sandra Lipovaca, MD; Dominick Sabatino, MD; Sujatha Kosuri, MD
A 3-year-old boy with a history of pica presented for a well-child checkup. He had missed numerous checkups, and his immunizations were delayed. His development was appropriate for age.
05/13/2011
Melanonychia Striata and Onychomycosis
Melanonychia Striata and Onychomycosis
05/13/2011

ALEXANDER K. C. LEUNG, MD
Clinical Professor of Pediatrics, University of Calgary
Pediatric Consultant, Alberta Children’s Hospital

ALEXANDER K. C. LEUNG, MD Clinic...
Can fungal infections present with a brown band along the longitudinal axis of the nail similar to melanonychia striata but perhaps affect other digits?
05/13/2011