Peer Reviewed
Glioblastoma in a Teenager
Authors:
Christine Chang, MD
Resident, Division of General Pediatrics, Children’s Hospital Los Angeles, California
Debra Hawes, MD
Director, Pathology Core Lab, Children’s Hospital Los Angeles and Associate Professor, Clinical Pathology, Keck School of Medicine of USC, Los Angeles, California
Ronen Zipkin, MD
Pediatric Hospitalist, Division of Hospital Medicine, Children’s Hospital Los Angeles, and Assistant Professor, Clinical Pediatrics, Keck School of Medicine of USC, Los Angeles, California
Citation:
Chang C, Hawes D, Zipkin R. Glioblastoma in a teenager [published online April 23, 2018]. Consultant for Pediatricians.
A 14-year-old previously healthy boy presented with gradually worsening midthoracic back pain and ascending numbness of his lower extremities of 2 to 3 months’ duration.
He described the pain as a tight pressure that was worse in the mornings and with activity, and he reported that the pain improved with rest and application of heat packs. Two weeks after the development of back pain, numbness had begun on his left lateral foot; over the course of 2 to 3 weeks, the numbness had spread to involve the entire left lower extremity below the knee, with subsequent spread to the right lower extremity in the same distribution. One week prior to presentation, he had developed a lack of balance and weakness in his knees, causing him to unintentionally fall twice.
History. He denied fevers, chills, sweats, weight loss, headaches, visual changes, rhinorrhea, congestion, bowel or bladder incontinence, joint swelling, rashes, sick contacts, and recent trauma. His family history was unremarkable, and his vaccinations were up to date. He had visited Mexico 2 weeks prior to presentation, where he had experienced a self-limited diarrheal illness.
Physical examination. The patient had a temperature of 36.9°C, heart rate of 77 beats/min, blood pressure of 147/88 mm Hg (which improved to 118/81 mm Hg without intervention), respiratory rate of 20 breaths/min, and oxygen saturation of 99% on room air.
Examination findings were remarkable for decreased sensation to light touch on the right side in the T7 through T9 distribution, decreased vibration sense and proprioception in the feet, a wide-based gait, and a positive Romberg sign. He had intact deep-tendon reflexes and no lymphadenopathy, hepatosplenomegaly, or abnormal pulmonary or cardiac findings.
Diagnostic tests. Laboratory test results included a normal complete blood cell count, electrolyte levels, prothrombin time, partial thromboplastin time, erythrocyte sedimentation rate, C-reactive protein level, and urinalysis. A thoracolumbar spinal radiograph was obtained, the findings of which were unremarkable. Magnetic resonance imaging (MRI) of the brain and spine showed an intramedullary lesion within the thoracic cord spanning T6 through T10, resulting in effacement of the dorsal and ventral cerebrospinal fluid column (Figure 1).

Figure 1. MRI of the spine demonstrated an intramedullary lesion spanning T6 through T10 (circle).
Differential diagnosis. The differential diagnosis of pediatric back pain is broad and includes musculoskeletal, infectious, inflammatory, and oncologic etiologies. Aspects of this patient’s presentation that were concerning for a serious underlying pathology included persistent pain and evidence of neurologic symptoms (eg, numbness, gait instability). The presence of these red flags focused the differential diagnosis, which included acute cerebellar ataxia, acute disseminated encephalomyelitis, Guillain-Barré syndrome, transient synovitis, and a compressive spinal mass. Features of the patient’s presentation that were consistent and inconsistent with each diagnosis are described in Table 1.

After discussion among a multidisciplinary team of subspecialists (neurologists, neuro-oncologists, and neurosurgeons), the patient underwent a partial resection of the intradural intramedullary spinal cord tumor, along with T8 and T9 laminotomies. Gross total resection was not pursued because of the lack of a clear tumor-cord margin.
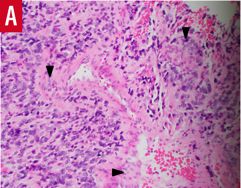
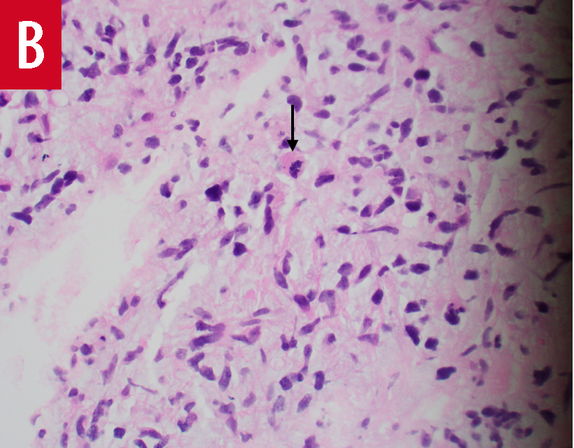
Pathology results of a biopsy specimen showed a densely cellular infiltrating malignant tumor with nuclear pleomorphism, a high mitotic rate with an elevated Ki-67 labeling index, and glomeruloid vascular proliferation. The tumor cells strongly expressed glial fibrillary acidic protein, indicating they were astrocytic in origin. The final pathologic diagnosis was glioblastoma, World Health Organization grade IV (Figure 2).


Figure 2. Biopsy sections showed histologic findings typical of glioblastoma, including hypercellularity, nuclear pleomorphism, vascular endothelial proliferation (arrowheads), and a mitotic figure (arrow) (hematoxylin-eosin, original magnification ×200 [panel A] and ×400 [panel B]).
The patient was started on intravenous dexamethasone to reduce peritumoral inflammation and edema. Adjuvant radiotherapy and chemotherapy (temozolomide) were initiated to increase the chance of local control and survival, and the patient underwent intensive physical rehabilitation.
MRI repeated approximately 2 months after diagnosis showed marked interval progression of the glioblastoma in the T3 through T11 distribution. The decision was made to continue adjuvant therapy with temozolomide and lomustine. MRI repeated approximately 7 months after diagnosis showed spinal progression (a focus of leptomeningeal spread of disease at the S1-S2 level), with new areas concerning for brain metastases.
Discussion. Pediatric spinal glioblastoma is an extremely rare diagnosis with a poor prognosis. Spinal cord tumors comprise less than 1% of pediatric central nervous system tumors, most of which are ependymomas and pilocytic astrocytomas; only 1% to 3% of pediatric spinal cord tumors are high-grade astrocytomas.4
The clinical presentation depends on the region of the spinal cord involved (Table 2) and the patient’s age. Symptoms usually progress slowly and commonly include pain, paresthesias, weakness, gait abnormalities, torticollis, and kyphoscoliosis.5 Because many spinal cord tumors initially present with nonspecific symptoms, there is often a prolonged period between onset of symptoms and diagnosis.6 Although the prognosis of glioblastoma is better in children than in adults, the average length of survival in cases of pediatric spinal glioblastoma is only 15 months after surgery.7

Gross total resection, cervical location of the tumor, presence of a tumoral cyst, and younger age are possible predictors of prolonged survival.5,7 According to one case series,7 the prognosis of a thoracic tumor is slightly worse than that of a cervical tumor. Tumoral cysts are associated with prolonged survival because they can create a plane of resection that lies at the tumor-cord margin. Cyst removal can also decompress spinal tissue. Studies have shown that differences may exist in the genetic aberrations identified in children based on age 8; younger children may have a different molecular profile of tumorigenesis.9 Disease progression is common and can manifest as leptomeningeal dissemination, extraspinal metastases, or local recurrence.
There is no defined standard of care for the management and treatment of pediatric spinal glioblastoma. A multimodal approach should be determined by a multidisciplinary team and usually involves a maximal safe surgical resection, radiotherapy, and chemotherapy.4,10,11 No effective chemotherapeutic regimens have been identified. The rarity of the diagnosis makes the possibility of clinical trials difficult. Furthermore, because of molecular differences between adult and pediatric glioblastoma, results from adult trials are not generalizable.4,9
Outcome of the case. The patient died approximately 8 months after diagnosis in the setting of cardiopulmonary arrest after several days of headache and vomiting.
This case illustrates the differential diagnosis for a patient presenting with back pain, sensory deficits, and an abnormal gait. Although rare, high-grade astrocytoma including glioblastoma should be considered in the differential diagnosis. The literature suggests that a multimodal approach provides the best chance of prolonged survival for pediatric patients with spinal glioblastoma, thus highlighting the importance of early detection and diagnosis.
References:
- Bernstein RM, Cozen H. Evaluation of back pain in children and adolescents. Am Fam Physician. 2007;76(11):1669-1676.
- Bunnell WP. Back pain in children. Orthop Clin North Am. 1982;13(3):587-604.
- Ginsburg GM, Bassett GS. Back pain in children and adolescents: evaluation and differential diagnosis. J Am Acad Orthop Surg. 1997;5(2):67-78.
- Lober R, Sharma S, Bell B, et al. Pediatric primary intramedullary spinal cord glioblastoma. Rare Tumors. 2010;2(3):e48.
- O’Halloran PJ, Farrell M, Caird J, Capra M, O’Brien D. Paediatric spinal glioblastoma: case report and review of therapeutic strategies. Childs Nerv Syst. 2013;29(3):367-374.
- Wilne S, Walker D. Spine and spinal cord tumours in children: a diagnostic and therapeutic challenge to healthcare systems. Arch Dis Child Educ Pract Ed. 2010;95(2):47-54.
- Ononiwu C, Mehta V, Bettegowda C, Jallo G. Pediatric spinal glioblastoma multiforme: current treatment strategies and possible predictors of survival. Childs Nerv Syst. 2012;28(5):715-720.
- MacDonald TJ, Aguilera D, Kramm CM. Treatment of high-grade glioma in children and adolescents. Neuro Oncol. 2011;13(10):1049-1058.
- Rizzo D, Ruggiero A, Martini M, Rizzo V, Maurizi P, Riccardi R. Molecular biology in pediatric high-grade glioma: impact on prognosis and treatment. Biomed Res Int. 2015;2015:215135.
- Yanamadala V, Koffie RM, Shankar GM, et al. Spinal cord glioblastoma: 25 years of experience from a single institution. J Clin Neurosci. 2016;27:138-141.
- Konar SK, Maiti TK, Bir SC, Kalakoti P, Bollam P, Nanda A. Predictive factors determining the overall outcome of primary spinal glioblastoma multiforme: an integrative survival analysis. World Neurosurg. 2016;86:341-348.e3.
