Interactive Quiz: Nonspecific Headache

Welcome to Neurology Consultant's latest interactive diagnostic quiz. Over the next few pages, we'll present a case and ask you to make the diagnosis and treat the patient. Along the way, we'll provide details about the case, and at the end, we'll share the patient's outcome.
Ready to get started? >>
First, let’s meet the patient…
A 52-year-old woman presented with a nonspecific headache of approximately 5 months’ duration, which had intensified within the past 30 days. The headache was associated with blurred vision bilaterally. She denied weight loss, aura, scintillating scotoma, dizziness, and neuromuscular disorders. She did not smoke, she had no known food or drug allergies, and her medical history was insignificant.
The patient was normal in appearance with no apparent cognitive deficiencies. Her blood pressure was 119/67 mm Hg, pulse was 59 beats/min, respiratory rate was 16 breaths/min, and body mass index was 38.89 kg/m2. Neuromuscular examination findings were normal.
Are you correct? >>
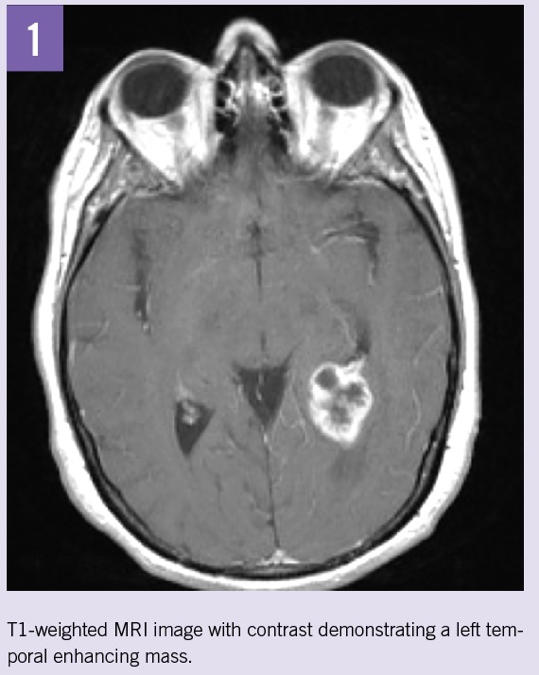
Answer: Magnetic resonance imaging (MRI)
Sagittal T1-weighted MRI revealed a 3.7 × 3.0 × 3.3 cm, irregular, inhomogeneous mass in the posterior right frontal lobe with extensive surrounding vasogenic edema. Another mass in the left posteromedial temporal lobe straddling the left ventricular trigone was also identified, measuring 2.7 × 2.2 × 2.6 cm.

Are you correct? >>
Answer: Histopathological assessment
Routine hematoxylin-eosin sections demonstrated a malignant glial neoplasm of moderate to high cellularity composed predominantly of medium-sized cells with delicate fibrillary cytoplasm and oval, markedly hyperchromic nuclei with coarse chromatin and indistinct nucleoli.

Necrosis and endothelial hyperplasia were present. The tumor cells were positive for glial fibrillary acidic protein (GFAP) and oligodendrocyte transcription factor (OLIG2) but negative for mutant IDH1-R132H protein, synaptophysin, and BRAF V600E mutation.


Are you correct? >>
Answer: Glioblastoma multiforme
Histological and molecular studies of the resected tumors confirmed the diagnosis of glioblastoma multiforme (GBM), IDH wild type, World Health Organization grade IV, positive for O6-methylguanine-DNA-methyltransferase.
GBM is considered to be the most malignant and most common type of brain neoplasm, with an estimated incidence rate of 3 to 4 cases per 100,000 population per year and a 3-year postdiagnosis survival rate as low as 2.2%.
Are you correct? >>
Answer: All of the above
Because GBM is an infiltrating tumor, complete surgical resection is often not possible. Therefore, tumor resection is followed by radiotherapy and chemotherapy, and even then GBM almost always relapses.
To read the full case report, see:
Rizvi SAA, Zafar S, Ahmed SS, Zafar N, Shahzad Y, Saleh AM, Ahmed J. Glioblastoma multiforme. Consultant. 2018;58(11):318-320. https://www.consultant360.com/exclusive/neurology/neurology/glioblastoma-multiforme.
