Interactive Quiz: Mesenteric Mass
Welcome to Consultant360's latest interactive diagnostic quiz. Over the next few pages, we'll present a case and ask you to make the diagnosis and treat the patient. Along the way, we'll provide details about the case, and at the end, we'll share the patient's outcome.
First, let's meet the patient.
A 52-year-old man with benign prostatic hyperplasia, hypercholesterolemia, and chronic kidney disease presented to his primary care provider for a follow-up visit. He had no acute complaints, and findings of a thorough review of systems were unremarkable, with no reported fevers, night sweats, fatigue, weight loss, abdominal pain, or change in bowel habits.
History. The patient was a retired police officer, was married, and had no history of use of tobacco, alcohol, or protein supplements. His family history was remarkable for Crohn disease in his mother and coronary artery disease and rectal cancer in his father, both of whom were living. His only prescription medication was tamsulosin, and he had no known drug allergies.
Physical examination. The patient was a well-appearing, normal-weight white man. Abdominal examination findings were negative for organomegaly, palpable masses, and tenderness. He also had no costovertebral angle tenderness, lymphadenopathy, or peripheral edema.
Diagnostic tests. Routine laboratory test results were remarkable only for an elevated creatinine of 1.5 mg/dL, with no proteinuria or hematuria.
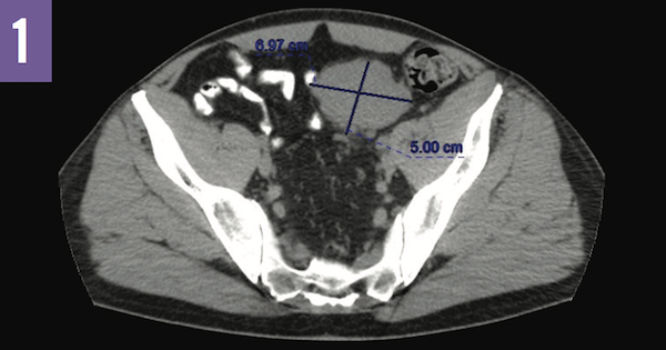
The patient was referred for a renal ultrasonography, which identified a mass in the left hemipelvis. Subsequent noncontrast computed tomography (CT) scans of the abdomen and pelvis revealed a 6.9 × 5.0-cm mass in the left external iliac chain with surrounding areas of nodularity, suggestive of lymphadenopathy or a primary mesenteric tumor. The patient then underwent a CT-guided left pelvic lymph node biopsy, the results of which were negative for malignancy.
Given the large size of the mesenteric mass and the uncertainty of the diagnosis, the patient was sent for a laparoscopic excisional biopsy. Intraoperatively, a 10-cm mesenteric mass was identified and found to be closely adherent to the mesentery of the sigmoid colon. The mass was resected en bloc with the sigmoid colon, along with regional lymph node mesenteric dissection, which included 2 large adjacent lymph nodes.

Figure 1: Noncontrast CT scan of the pelvis showing a 6.9×5.0-cm mesenteric mass with surrounding nodularity.

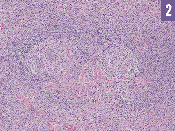
Figure 2: Pathology image showing paired atrophic follicles with sur- rounding hyaline vasculature and abnormal lymphocytes.
Answer: D, Unicentric Castleman disease
Pathology tests found preserved lymphoid architecture and B-cell proliferation of predominantly mantle and marginal B cells with features that suggested Castleman disease (CD) but that were not diagnostic for lymphoma. Vascular proliferation with hyalinization also was noted. Polymerase chain reaction testing was performed, with no detection of any clonal B-cell population. A final diagnosis of unicentric CD (UCD) was then made.
The differential diagnosis for a pelvic mass of this size includes inflammatory, infectious, and malignant etiologies. These include conditions such as systemic lupus erythematosus and rheumatoid arthritis, infectious lymphadenitis, lymphoma and multiple myeloma, and CD.
Answer: A, Lymphoma, sarcoidosis, hepatitis B virus infection, and tuberculosis
Criteria have been established for the diagnosis of idiopathic multicentric CD (MCD), but no official criteria exist for the diagnosis of UCD. It is important to remember that CD can present simultaneously with many other conditions, including lymphoma, sarcoidosis, myasthenia gravis, hepatitis B virus infection, and Mycobacterium tuberculosis infection.
CD, or angiofollicular lymph node hyperplasia, is a group of B-cell lymphoproliferative disorders associated with HIV and human herpesvirus 8 (HHV-8) infection. The 2 main disease types, unicentric and multicentric, can be further categorized into histologic variants, including hyaline vascular, plasma cell, and mixed disease. The presentation of the 2 main types differs, as does the treatment of each.1
Typically, UCD presents at a median age of 35 years.2 It is slightly more common in the female population.3 There are no known risk factors for UCD, but it may occur with multiple associated conditions. Patients with UCD are usually asymptomatic and present with either an incidental finding of a mass on imaging, or with symptoms occurring secondary to compression of nearby structures, especially in the hyaline vascular variant. Lesions are most commonly found in the chest, neck, abdomen, and retroperitoneum.2
Laboratory study results typically are normal in patients with the hyaline-vascular variant of UCD, although the lactate dehydrogenase (LDH) level occasionally is elevated. In contrast, the plasma cell variant can present with various abnormalities in biochemical test results and with more systemic clinical symptoms. UCD has also been reported to be associated with end-stage renal disease.4
MCD is associated with HIV and HHV-8 infection and presents with a wide range of systemic symptoms. It most commonly presents in adults aged 40 to 60 years but can occur at any age.3
Answer: B, Surgical resection
The gold standard and curative treatment of UCD is surgical resection of the involved lymph node. Once the mass has been removed, it is important to perform immunofixation to assess for a clonal plasma cell disorder, as well as perform a molecular study for immunoglobulin H rearrangement to rule out the presence of lymphoma.
Following the treatment of UCD, it is important to follow patients with laboratory testing and imaging. It is recommended that 1 month following removal of the mass, the patient undergo tests such as a complete blood cell count, an LDH test, a biochemical profile, an interleukin 6 test, a C-reactive protein test, a serum free light-chain assay, and quantitative immunoglobulin testing. Follow-up imaging is with positron emission tomography (PET)/CT scans annually until the patient is disease-free for 5 years. Follow-up imaging and laboratory testing are important, given the fact that patients with CD appear to have an increased incidence of developing lymphomas.5 Cases of multicentric disease are associated with much poorer outcomes, but life expectancy can be extended using specific pharmacologic agents.
Outcome of the Case
Postoperatively, the patient was referred to a hematologist/oncologist for follow-up evaluation. He underwent a PET/CT scan, which was negative for any residual tumor or radioactive uptake. Repeated routine laboratory tests showed a stable creatinine level of 1.5 mg/dL with no other abnormalities. He will be followed as an outpatient by his primary care provider and medical a oncologist and undergo serial PET/CT scans for disease recurrence over the next 5 years.
This case represents an uncommon finding for an incidental pelvic mass. The workup of this patient serves as a reminder that persistently elevated isolated laboratory values should be investigated for underlying conditions. In the setting of a large pelvic mass, even with a negative biopsy, the patient should undergo surgical excision of the entire mass or removal of adjacent lymph nodes to definitively exclude malignant etiologies such as lymphoma. Furthermore, any incidental abnormal imaging findings should be documented and followed serially by the patient’s primary care provider with further diagnostic workup as clinically warranted. It is important to always maintain a broad differential diagnosis.
To read the full case report, see:
Evans A, Canik A, Castillo A, Stutchin E. Unicentric castleman disease. Consultant. 2018;58(1):40-41. https://www.consultant360.com/articles/unicentric-castleman-disease
References:
- Maslovsky I, Uriev L, Lugassy G. The heterogeneity of Castleman disease: report of five cases and review of the literature. Am J Med Sci. 2000;320(4):292-295.
- Talat N, Belgaumkar AP, Schulte K-M. Surgery in Castleman’s disease: a systematic review of 404 published cases. Ann Surg. 2012;255(4):677-684.
- About Castleman disease. Castleman Disease Collaborative Network. http://www.cdcn.org/about-castleman-disease. Accessed December 13, 2017.
- Eroglu E, Kocyigit I, Unal A, et al. Unicentric Castleman’s disease associated with end stage renal disease caused by amyloidosis. World J Clin Cases. 2017;5(3):119-123.
- Larroche C, Cacoub P, Soulier J, et al. Castleman’s disease and lymphoma: report of eight cases in HIV-negative patients and literature review. Am J Hematol. 2002;69(2):119-126.
