A Woman With Vaginal Bleeding and Exuberant "Umbilical Granulation Tissue"

HISTORY
A 62-year-old woman is seen because of profuse vaginal bleeding that has led to anemia (hemoglobin, 4.5 g/dL). She has also noticed a lump in her navel.
PHYSICAL EXAMINATION
Frightened woman with moderate tachycardia and hypertension. No supraclavicular lymphadenopathy. Umbilical mass as shown. No palpable hepatomegaly. On speculum vaginal examination, bleeding mass visualized at the vaginal apex.
WHAT'S YOUR DIAGNOSIS?
ANSWER: SISTER MARY JOSEPH NODULE: METASTASIS IN THE UMBILICUS
Much of the navel is filled with a lump whose eroded surface suggests the kind of exuberant granulation tissue seen in pyogenic granuloma.1 On palpation, a nodule was detected; the examiner was not certain whether it was fixed to the skin, the subjacent fascia, both, or neither. Suspicion of cancer ran very high. Because the vaginal mass was bleeding too profusely for safe biopsy, the alternative of superficial biopsy at the umbilicus was preferable, in part due to the ease of controlling bleeding by direct pressure. Biopsy revealed metastatic endometrial adenocarcinoma, so this lesion constituted umbilical metastasis, a Sister Mary Joseph nodule.
To the reader's right of the mass, some of the unbroken lining of the navel looks gray and unwholesome, but it can't be well assessed visually, because it lies in shadow. Faint and irregular discolorations on the abdominal wall suggest resolving spotty ecchymosis in the right upper quadrant, and irregular atrophy of skin. Brown residues around the navel at 3 and 9 o'clock suggest povidone-iodine applied for biopsy, but no suture or defect in the mass is seen.
MORE DETAILS OF THIS CASE
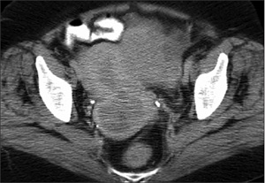
Imaging studies revealed replacement and enlargement of the uterus, with a mass that traversed ordinary tissue boundaries and planes (Figure 1). In concert with the histopathological appearance of biopsy material, positive studies for estrogen and progesterone receptors on the same secured the diagnosis of a primary endometrial adenocarcinoma. Metastatic spread to navel was vividly demonstrable as well (Figure 2).
Immediate radiotherapy followed; this stopped the bleeding from the vagina along with the use of medroxyprogesterone(. Packed red blood cells repleted the red cell mass.
![]() |
| Figure 1 – CT study reveals pelvis filled by an enlarged, deformed, and deforming utero-adnexal mass. Radiodensity anteriorly represents oral contrast in a loop of small bowel; laterally, pelvic bones; posteriorly, the narrowed image of the sacrococcyx since this cut lies below the level of the lowest distinct vertebra, L5. |
NONCANCEROUS MIMICS
•A hard mass in the navel need not be cancer; the most favorable finding for a patient is an omphalolith, an accretion of dirt and keratin hiding in the recesses of the navel so as to be palpable but not truly visible. Such a pseudo Sister Mary Joseph nodule2 was the diagnosis on one occasion when in the general medicine outpatient clinic my resident applied soap and water and energy, and made a "Sister Mary Joseph nodule" disappear. (Of course, that resident became a gastroenterologist.) When portions of an omphalolith come out, they may have blackened with oxidation.
•Endometriosis involving the umbilicus can produce an open, oozing area as well as a blue-purple to brownish mass. It was excluded in this patient because of her postmenopausal status. Otherwise, the exuberant bleeding surface would have lent much credence. Any history of catamenial oozing—typically accompanied by enlargement and tenderness of the mass—would raise this differential diagnosis sharply.
•Localized omphalitis or cellulitis of the navel is increasing because of body piercings in this area, but there was no such history here. Of the expected features of acute inflammation that allow recognition of cellulitis at whatever site, only induration and swelling are present; there is no erythema, heat, or pain. Chronic granulomatous inflammation of the navel and hypertrophic scars (keloids) at this site present a clinical challenge, but a negative history helps. Fine-needle aspiration offers a ready means to obtain a cellular sample for microscopical analysis.
•Primary neoplasms and tumor-like conditions of the navel, while rare, figure in the differential diagnosis and include squamous carcinoma of the skin and pyogenic granuloma. The hope of discovering and curing such an entity forms part of the impetus to perform biopsy (or fine-needle aspiration, which has largely supplanted biopsy in this setting3,4 whether or not abdominal imaging suggests an internal cancer). The other factor favoring such histologic or cytologic study is, of course, the ready accessibility of surface tissue, avoiding the morbidity of an open procedure or even a deep puncture or aspiration; these alternatives seldom enhance management of such a superficial abnormality as this.
•Umbilical hernia should be reducible unless incarcerated and would not show the kind of granulating-like eroded surface seen here. A single report presents an apparent umbilical hernia that proved to be a Sister Mary Joseph nodule.5 Rarer still are umbilical cysts.4
•Laparoscopic scars can mimic Sister Mary Joseph nodule on CT studies and positron emission tomography6 but perhaps not clinically. There was no history of laparoscopic manipulation here. Intriguingly, port sites from laparoscopic cancer surgery can become loci of metastasis even when neoplastic tissue was neither manipulated nor extracted through them,7,8 perhaps via selective susceptibility of a traumatized zone akin to the Koebner phenomenon in psoriasis.
![]() |
| Figure 2 – The umbilical nodule is readily seen on this more cranial cut of the CT as the radiodense bump in the fat external to the stripe of abdominal wall musculature, in the midline at the top of the image, ending at the level of the otherwise narrow strip of skin. Anterior surface of the Sister Mary Joseph nodule (superior here) shows 2 irregular bumps, but given the ordinary crevasses of the navel, this would not raise concerns were the clinical story innocuous and the navel more ordinarily radiolucent. Radiolucency just posterior to the nodule confirms only that no direct extension is present at this craniocaudal level. Air-fluid levels are seen in loops of bowel that contain oral contrast agent. The abdomen here lacks the “frozen [pelvis] full of tumor” seen in the prior image. To my non-radiologist eye, no cancer is detectable on this image apart from the umbilical nodule. |
IDENTIFICATION AND MECHANISM
Once the possibility of a Sister Mary Joseph nodule is entertained, making the diagnosis should be straightforward. Illustrating it is another issue: the large fraction of these nodules that are non-ulcerated, and that do not form an exophytic mass, renders it very difficult to obtain a compelling image. As a result, this topic lay on my wish list to write as a "What's Your Diagnosis?" column for many years, until 3 Canadian colleagues published a case with a vivid clinical photograph and kindly agreed to our using the image and the clinical facts.9 Other papers have shown a range of surfaces and shapes, from a puckered exophytic "classical cancer look"10 to the striking clinical drawing in Key's historical review11 through dark rounded masses,12 to less distinctive or dramatic appearances.13-15 Some published images are visually non-diagnostic3; the first in Fleming's review suggests an umbilical hernia, the second a normal umbilicus; compare a case published in Consultant wherein periumbilical skin looks worse than the navel proper (Figure 3).
![]() |
| Figure 3 – Non-ulcerated Sister Mary Joseph nodules form striking findings on palpation but precious little to see, as in this case from a patient whose primary adenocarcinoma lay in the right colon. |
Hence, many newer papers feature stunning CT16,17 and/or nuclear medicine images18 or simply photomicrographs of the pathology5 without any clinical photographs.
NOMENCLATURE
For a rare phenomenon, this lesion has consumed boatloads of ink.19-22 Lowest-yield has been the argument about whether the correct eponym is Sister Joseph or Sister Mary Joseph.23 Definitive demonstrations from the home institution24 include facsimile reprinting of the 1902 listing of the staff of St Mary's Hospital in Rochester, Minnesota, with the Mayo surgeons occupying the topmost spots and Sister Mary Joseph the penultimate.25 The life of the nurse memorialized by the eponym would inspire any person in health care or other public service, and has been limned nicely by the Librarian of the Mayo Clinic, Mr Jack D. Key, 11 among other authors.26
IS THE OUTLOOK HOPELESS?
Lymphatic, venous, or even arterial metastasis can yield Sister Mary Joseph nodules as can direct extension at any level.11,12,22 The lesion is a nodule and not a node, for lymph nodes are not characteristically present in either health or disease at the navel,19 while lymphatics and other channels, both embryonic and post-natal, abound there.11
Tradition holds that survival after diagnosis is very poor, typically less than 1 year.12 This poor prognosis accords with the nodules' representing systemic dissemination of cancer. The natural history of the responsible cancer is pertinent, but individual case variability remains a major unpredictable factor: a pseudomyxoma peritonei, for instance, produced minimal symptoms 2 years after diagnosis of a Sister Mary Joseph nodule coexistent with multiple intra-abdominal deposits, despite the patient's refusal of further debulking surgery (Figure 4).27
![]() |
| Figure 4 – In a different case, a metastasis from pseudomyxoma peritonei arose a year after initial non-curative surgery. It forms what appears to be a thin-walled cyst adjacent to as well as within the navel. One might easily construe this as a non-malignant cyst of obscure origin. |
Advances in chemotherapy have distinctly improved the outlook, particularly for patients with neoplasms that are highly sensitive to chemotherapy and/or hormonal manipulation for systemic disease. Some common sources such as gastric, colonic, cervical, endometrial,5,9 and pancreatic cancer have shown mostly unsatisfactory results. By contrast, lymphoma,17,18 small cell carcinoma of the lung,15 breast cancer,12,22 ovarian cancer,3,12 and prostate carcinoma12,22 sometimes offer a more favorable outlook. Even with the harder-to-treat cancers, therapeutic efficacy has improved, so one now finds reasoned advocacy for combining aggressive surgery21 or radiotherapy10 with systemic treatment. One looks forward to a time when the report of longer survival in the setting of epithelial cancer with Sister Mary Joseph nodule will not turn out to be 19 months.10
Schneiderman H. Sister Mary Joseph nodule: metastasis in the umbilicus, in this case from an endometrial adenocarcinoma. CONSULTANT. 2007;47:681-688.
Acknowledgment: This case was published previously with the index image and Figures 1 and 2; it is reproduced here through the kindness of the authors, Drs Alysa Fairchild, Michele Janoski, and George Dundas, and of the Canadian Medical Association.9 Figure 3 appears courtesy of Dr N. K. Akritidis. Figure 4 appears courtesy of Michael Cascio and Dr Russell Gollard.
1. Schneiderman H, Joseph C. Stoma granulomas consisting of pyogenic granulomas of the ileal mucosa. Consultant. 2003;43:223-227.
2. Amaro R, Goldstein JA, Cely CM, Rogers AI. Pseudo Sister Mary Joseph's nodule. Am J Gastroenterol. 1999;94:1949-1950.
3. Fleming MV, Oertel YC. Eight cases of Sister Mary Joseph's nodule diagnosed by fine-needle aspiration. Diagn Cytopathol. 1993;9:32-36.
4. Lopez JI, Rodil MA. Fine needle aspiration cytology of an umbilical cyst mimicking Sister Mary Joseph's nodule. Acta Cytol. 1998;42:1069-1070.
5. Piura B, Meirovitz M, Bayme M, Shaco-Levy R. Sister Mary Joseph's nodule originating from endometrial carcinoma incidentally detected during surgery for an umbilical hernia: a case report. Arch Gynecol Obstet. 2006;274:385-388.
6. Setty B, Blake MA, Holalkere NS, et al. Laparoscopic scar: a mimicker of Sister Mary Joseph's nodule on positron emission tomography/CT. Australas Radiol. 2006;50:507-509.
7. Agostini A, Carcopino X, Franchi F, et al. Port site metastasis after laparoscopyfor uterine cervical carcinoma. Surg Endosc. 2003;17:1663-1665.
8. Lacueva FJ, Calpena R, Medrano J, et al. Failure to detect early recurrence of gastric cancer. J Clin Gastroenterol. 1998;26:219-221.
9.Fairchild A, Janoski M, Dundas G. Sister Mary Joseph's nodule. CMAJ. 2007;176:929-930.
10. Lee MY, Li CP, Lee RC, et al. Gastric adenocarcinoma with Sister Mary Joseph's nodule successfully treated with combined chemoradiation. J Gastroenterol Hepatol. 2003;18:114-115.
11. Key JD, Shephard DA, Walters W. Sister Mary Joseph's nodule and its relationship to diagnosis of carcinoma of the umbilicus. Minn Med. 1976;59:561-566.
12. Powell FC, Cooper AJ, Massa MC, et al. Sister Mary Joseph's nodule: a clinical and histologic study. J Am Acad Dermatol. 1984;10:610-615.
13. Flynn VT, Spurrett BR. Sister Joseph's nodule. Med J Aust. 1969;1:728-730.
14. Clague JE. Sister Joseph's nodule. Postgrad Med J. 2002;78:174.
15. Saito H, Shimokata K, Yamada Y, et al. Umbilical metastasis from small cell carcinoma of the lung. Chest. 1992;101:288-289.
16. Moll S. Images in clinical medicine. Sister Joseph's node in carcinoma of the cecum. N Engl J Med. 1996;335:1568.
17. Nagao K, Kikuchi A. Images in clinical medicine. Sister Joseph's node in non-Hodgkin's lymphoma. N Engl J Med. 1996;335:1569.
18. Shih YI, Chen PM, Chen PC, Hsiao LT. Lymphoma presenting as Sister Mary Joseph's nodule sparing intra-abdominal involvement. Int J Hematol. 2006;83:194.
19. Sugarbaker PH. Sister Mary Joseph's sign. J Am Coll Surg. 2001;193:339-340.
20. Venu RP, Brown RD. Image of the month. Sister Mary Joseph's nodule: carcinoma of the pancreas with umbilical metastasis. Gastroenterology. 1998;114:632, 863.
21. Gabriele R, Conte M, Egidi F, Borghese M. Umbilical metastases: current viewpoint. World J Surg Oncol. 2005;3:13-15.
22. Galvan VG. Sister Mary Joseph's nodule. Ann Intern Med. 1998;128:410.
23. Schwartz IS. Sister (Mary?) Joseph's nodule. N Engl J Med. 1987;316:1348-1349.
24. Nelson CW. 100th Anniversary of Sister Mary Joseph Dempsey. Mayo Clin Proc. 1992;67:512.
25. Steensma DP. Sister (Mary) Joseph's nodule. Ann Intern Med. 2000;133:237.
26. Hill M, O'Leary JP. Vignettes in medical history. Sister Mary Joseph and her node. Am Surg. 1996;62:328-329.
27. Cascio M, Gollard R. Pseudomyxoma peritonei. Consultant. 2007;47:433.




