Upper Extremity Swelling in a Smoker
A 57-year-old woman presents with swelling of the hands that began several weeks earlier and is now worsening. She denies joint pain, and she has no history of trauma or significant vascular disease. She has had pneumonia several times; each episode was successfully treated with antibiotics. She has smoked 2 packs of cigarettes a day for the past 20 years.
This mildly obese woman has mild to moderate bilateral edema of the upper extremities. Brachial and radial pulses are normal. There is full active and passive range of motion and no sensory abnormalities. Lower extremities are normal.
Temperature is 37.2°C (99°F); heart rate, 98 beats per minute with normal rhythm; respiration rate, 23 breaths per minute; and blood pressure, 135/87 mm Hg.
Examination of the head and neck reveals bilateral jugular venous distention and mild edema of the skin, which has a dusky blue cast. Cranial nerve function is normal. A mass in the right supraclavicular region is tender to palpation. The lungs are clear, and the abdomen is soft with normal bowel sounds. There are no palpable abdominal masses nor is there organomegaly.
Because of the patient's history of smoking, you order chest radiographs.
What findings point to the cause of upper extremity edema, and what further investigation is warranted?
WHAT THE IMAGES SHOW
Both views of the chest reveal a very large lesion in the mediastinum on the right that displaces the trachea posteriorly (A and B, arrows). To investigate further, a CT scan of the chest is ordered, including the supraclavicular lesion on the right.
The CT image at the level of the aortic arch confirms the presence of a mass in the anterior mediastinum that displaces the trachea posteriorly (C, arrow). The superior vena cava is not visible; it has probably been compressed or invaded by the large mass. In a second CT image (D), minimally more inferior at the level of the azygous arch, the superior vena cava is again not visible and the azygous vein is densely opacified (arrow).
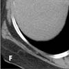
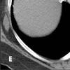
A CT image below the level of the heart (E) shows extensive venous collaterals that extend to the inferior vena cava (arrows). Venous collaterals extending to the inferior vena cava are also evident on another slice in the upper abdomen (F, arrows).
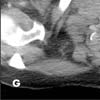
The lesion in the right supraclavicular region is visible on the superior aspect of the study (G, arrow). Images in lung windows, surprisingly, are unrevealing, as are images of the more cephalad aspects of the neck.
These images present a classic example of superior vena cava syndrome, with venous collaterals draining to the inferior vena cava. The differential diagnosis of the masses includes lung cancer with right supraclavicular metastatic disease, metastatic disease from another primary lesion, and lymphoma. Far less likely possibilities are infectious causes, such as tuberculosis and fungal diseases. A biopsy of the right supraclavicular mass reveals non–small-cell lung cancer.
SUPERIOR VENA CAVA SYNDROME
Superior vena cava syndrome occurs when venous return from the upper extremities, head, and neck region is obstructed. Symptoms include edema and dusky blue discoloration of the head and upper extremities. Both the location of the obstruction and the speed with which it develops affect the severity of symptoms. If the obstruction is superior to the junction of the superior vena cava and azygous vein, other veins in the chest can enlarge over time and accommodate the increased blood flow. However, with more inferior obstructions, blood must be returned to the heart via the inferior vena cava. This involves recruitment of collateral veins in the upper abdomen over longer distances. Traversing longer distances requires higher pressures; thus, symptoms associated with superior obstructions may be milder than those associated with obstructions below the junction of the superior vena cava and azygous vein.
Figure E
|
Figure F
|
Figure G
|
Epidemiology. In the United States, superior vena cava syndrome is usually associated with malignancy. In the past year, more than 90% of patients with superior vena cava syndrome had an associated malignancy as the principal cause; bronchogenic carcinoma accounts for more than 80% of cases.1 Before the advent of advanced antibiotic therapy, a large percentage of cases had infectious causes. Today, the major nonmalignant cause of superior vena cava syndrome is thrombosis from central venous catheterization.
Diagnosis. Studies used to diagnose superior vena cava syndrome include chest radiography, CT, and venography. Typically, patients have 1 or more symptoms referable to the chest. Chest films often identify a mediastinal lesion. However, chest radiographs can only strongly suggest the diagnosis, which often needs to be confirmed with cross-sectional imaging.
A CT scan can clearly identify a mediastinal mass obstructing the superior vena cava and, if intravenous contrast is injected in an upper extremity, can detect venous collaterals. Because of the accuracy of CT in visualizing the venous obstruction and in identifying the cause and—in the case of malignancy—the extent of the disease, venography is rarely used for diagnosis of superior vena cava syndrome.
1. Beeson MS. Superior vena cava syndrome. http://www.emedicine.com/emerg/topic561.htm. Accessed January 16, 2007.
