Metastatic Testicular Cancer

A 24-year-old man presented to the emergency department with worsening dyspnea and fever of 1 day’s duration. About 3 years earlier, he had been treated for testicular cancer (leiomyosarcoma) with orchidectomy, chemotherapy, and radiation. He had no significant social or family history.
Temperature was 38.6°C (101.4°F); blood pressure, 119/80 mm Hg; heart rate, 121 beats per minute; and respiration rate, 20 breaths per minute. Oxygen saturation measured with pulse oximetry was 98% with a nonrebreather mask and about 80% without a nonrebreather mask. Breath sounds were decreased bilaterally. The abdomen was soft. Extremities were nonedematous. Neurological findings were intact with no focal deficits.
The white blood cell count was 12,800/μL, hemoglobin level was 9.8 g/dL, hematocrit was 30.8%. Results of a complete metabolic profile were normal, except for the following levels: sodium, 131 mEq/L; albumin, 2.6 g/dL; and calcium, 11.8 mg/dL. An ECG showed sinus tachycardia with a heart rate of 120 beats per minute.
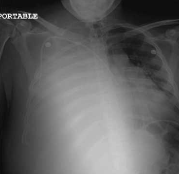
A chest radiograph revealed complete opacification of the right lobe and partial opacification with infiltrate of the left lung, suggestive of acute pneumonia. Metastasis of the testicular cancer to the lungs was suspected. The patient was transferred to a tertiary care center for further evaluation and treatment by an oncologist. Further testing, including thoracentesis, confirmed the metastasis.
In the United States, 16,580 cases of testicular cancer were diagnosed in men aged 15 to 49 years between 1975 and 2004.1 Although cure rates are high among treated patients, testicular cancer survivors appear to be at increased risk for the development of malignant tumors for at least 35 years after treatment.2 Testicular leiomyosarcoma is extremely rare and has the potential for distant metastases.3
1. Holmes L Jr, Escalante C, Garrison O, et al. Testicular cancer incidence trends in the USA (1975-2004): plateau or shifting racial paradigm? Public Health. 2008; 122:862-872.
2. Travis LB, Fosså SD, Schonfeld SJ, et al. Second cancers among 40,576 testicular cancer patients: focus on long-term survivors. J Natl Cancer Inst. 2005;97: 1354-1365.
3. Singh R, Chandra A, O’Brien TS. Primary intratesticular leiomyosarcoma in a mixed race man: a case report. J Clin Pathol. 2004;57:1319-1320.
