Massively Dilated Esophagus

For the past year, a 52-year-old man had dysphagia, which he described as a "knot stuck in the throat" and an associated 25-lb weight loss. He denied fever, chills, headache, abdominal pain, and diarrhea. The patient had been living in the Dominican Republic until about 1 year earlier, when he moved to the United States. He had a 30 pack-year smoking history; he also had hypertension, asthma, and coronary artery disease (none of which were pharmacologically treated). He denied alcohol and illicit drug use.
The patient appeared thin. He had normal vital signs, good breath sounds bilaterally, and regular heart rate and rhythm. Neurological findings were normal. Abdominal examination revealed a scaphoid abdomen, with no tenderness. The integumentary system was intact.
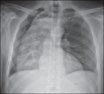
Results of laboratory studies were normal. A chest radiograph showed a markedly dilated esophagus and a possible small pleural effusion on the right side; no necrotic debris or undigested food material was noted. The cardiac silhouette showed normal borders. The trachea was midline.
Achalasia, esophageal stricture, Chagas disease, and Shatzki ring were considered in the differential. The associated weight loss could be explained by anatomic variation and difficulty in propelling food into the stomach.
The findings were translated to the patient; he denied previous radiographic examination in either the United States or his native country. Unfortunately, he decided to leave against medical advice, and an investigation for causes of the massive esophageal dilation could not be completed.
