Man With Hypertension, Diabetes, and an Epigastric Mass
A 49-year-old man presents for a routine examination. He has a 15-year history of essential hypertension and a 7-year history of hypercholesterolemia and type 2 diabetes mellitus. The patient has lost 7.5 lb in the past 3 months. The physical examination is remarkable for a blood pressure (BP) of 168/94 mm Hg and a palpable midline epigastric mass that is nontender, firm, and immobile.
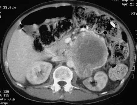
Abdominal CT with contrast demonstrates an 87 3 116-mm necrotic, partially enhancing mass in the region of the left adrenal gland (Figure 1). Chest CT with contrast reveals multiple bilateral noncalcified pulmonary nodules with no other apparent lesions in the thorax.
The imaging findings prompt a laboratory evaluation of the adrenals with the following results: urine normetanephrines, 27,787 µg/24 h; total urine metanephrines, 27,861 µg/24 h; urine vanillylmandelic acid, 191.9 mg/24 h; urine norepinephrine, 5401 µg/24 h; and total calculated urine catecholamines, 5415 µg/24 h. Levels of urine dopamine and epinephrine are within normal limits. A tumor marker workup reveals elevated levels of CA 125 (63 U/mL) and carcinoembryonic antigen (6.4 ng/mL). The radiographic findings and the significant elevation of catecholamines and their metabolites support a diagnosis of pheochromocytoma.
The patient undergoes a left adrenalectomy, left nephrectomy, and splenectomy. The cut surface of the 12-cm left adrenal mass reveals pale tan-gray tissue with central edema and fibrosis (Figure 2). The periphery of the lesion demonstrates prominent vasculature and nodularity. Intraoperatively, metastases are found in the left renal hilum and a periaortic lymph node; these are resected.
Six weeks after the operation, laboratory results include the following: urine normetanephrines, 1388 µg/24 h; urine metanephrines, 1453 µg/24 h; urine norepinephrines, 371 µg/24 h; and total calculated urine catecholamines, 371 µg/24 h. The level of urine dopamine is within normal limits, and the level of urine epinephrine is below the reportable range of 2 µg/24 h. The plasma chromogranin A level is 36 ng/mL. The BP and serum glucose level are normal.
Two months after the surgery, the patient undergoes a 123I-MIBG SPECT fusion scan, which shows no significant uptake in any of the pulmonary nodules. Consequently, he is not a candidate for high-dose 131I-MIBG therapy.
Recently, the patient's levels of catecholamines and their metabolites have begun to rise. This prompts radiologic reevaluation, which demonstrates an increase in the size of numerous pulmonary nodules and the presence of new pulmonary nodules and a new paracaval adenopathy. These findings suggest a recurrence of malignant pheochromocytoma.
Epidemiology
Pheochromocytomas occur most commonly between the ages of 30 and 50 years. They are more prevalent in whites than in blacks and somewhat more frequent in women than in men.1,2 The incidence is 1 per 2 million population. Among persons with hypertension, 0.1% have an underlying chromaffin tumor as the primary cause.2
Pheochromocytomas are either sporadic or familial. Familial cases occur in persons with Sturge-Weber syndrome, von Hippel-Lindau syndrome, multiple endocrine neoplasia type II, familial carotid body tumors, tuberous sclerosis (Bourneville disease), and neurofibromatosis type 1.1,3 In persons with these syndromes, the incidence of pheochromocytomas is as high as 23%.1
Most pheochromocytomas are sporadic and unilateral; only 10% are bilateral. About 10% to 20% of pheochromocytomas are malignant.4-7 In children, pheochromocytomas are commonly bilateral; they are more frequently found outside the adrenals than are those in adults.8
Etiology and pathogenesis
Eighty-five percent of pheochromocytomas arise from the chromaffin cells of the adrenal medulla. The remaining 15%, termed "paragangliomas," arise from extra-adrenal chromaffin cells.9 Pheochromocytomas are typically associated with an excess of catecholamines. However, they may also produce atrial natriuretic peptide, vasoactive intestinal peptide, endothelin, erythropoietin, dopa, neuropeptide Y, and adrenomedullin.8 Pheochromocytomas are not innervated; therefore, catechol- amine release is not associated with neural stimulation.
Clinical manifestations
Pheochromocytoma is typically associated with a symptom triad of headache, palpitations, and diaphoresis. Hypertension, either sustained or paroxysmal, is the clinical hallmark of pheochromocytoma and is commonly attributed to catecholamine excess. The classic triad, combined with hypertension, suggests the diagnosis of pheochromocytoma with 93.8% specificity and 90.9% sensitivity. The absence of hypertension excludes the diagnosis with 99.9% certainty.1
Pheochromocytoma is also associated with certain metabolic abnormalities, such as lactic acidosis. Catecholamines that are produced by the chromaffin cells stimulate glycogenolysis and glycolysis. The by-product of these biochemical pathways is lactate, which may produce lactic acidosis when sufficient amounts accumulate in the serum.8,10 Pheochromocytoma may also be associated with hypercalcemia, diarrhea, hypokalemic alkalosis, and glucose intolerance.11-14 Glucose intolerance may result from a combination of the suppression of insulin release, inhibition of insulin-stimulated glucose uptake by skeletal muscles, and stimulation of hepatic glucose production by excessive catecholamines, particularly epinephrine.8,15-18
Differential Diagnosis
Because pheochromocytoma is a relatively rare condition, always consider a differential that is more likely to explain the patient's symptoms. Such a differential would include intracranial lesions (eg, subarachnoid hemorrhage or posterior fossa tumors), anxiety syndromes, panic attacks, thyrotoxicosis, hypoglycemia, myocardial infarction, essential hypertension, illicit drug use (eg, cocaine), factitious disorder, drug withdrawal (eg, clonidine), and menopause.
Diagnosis
Diagnosis relies on the demonstration of excessive catecholamine production. Biochemical testing establishes the diagnosis in 95% of patients.8 Once the diagnosis is confined biochemically, localization of the tumor is undertaken for further confirmation and to establish a surgical treatment plan. A recommended algorithm for tumor localization is abdominal CT or MRI, followed by MIBG scanning for confirmation.
It is difficult to distinguish between malignant and benign pheochromocytomas on the basis of tissue pathology. The diagnosis ofmalignant pheochromocytoma is established by the presence of metastases, extent of local invasion, and recurrence.19
Management
Surgical resection is the definitive treatment. However, surgery is associated with intraoperative and postoperative complications, which are generally the result of a massive release of catecholamines during the resection or a sudden decrease in plasma catecholamine levels.8 During the preoperative period, pharmacologic control of the potential physiologic effects of the excess of catecholamines--particularly tachycardia, myocardial infarction, stroke, arterial hypertension, glucose intolerance, and cardiac arrhythmias--is crucial. Phenoxybenzamine, an a-adrenoreceptor antagonist, has been recommended for blood pressure management.20
Patients should be monitored at 6 weeks and 6 months postoperatively by measurement of plasma free metanephrine levels.3 Regular follow-up is maintained for at least 5 years because about 10% of pheochromocytomas are malignant and may recur. Common sites of recurrence are the lungs, retroperitoneum, liver, and bone.
Prognosis
About 90% of patients with benign pheochromocytoma can expect a complete cure. The recurrence rate is less than 10%. After tumor resection, resolution of hypertension is achieved in 75% of patients. Malignant pheochromocytoma has a poor prognosis; the 5-year survival rate is less than 50%.1,4-8
1. Klingler HC, Klingler PJ, Martin JK Jr, et al.Pheochromocytoma. Urology. 2001;57:1025-1032. 2. Sutton MG, Sheps SG, Lie JT. Prevalence of clinicallyunsuspected pheochromocytoma. Review of a50-year autopsy series. Mayo Clin Proc. 1981;56:354-360.
3. Pacak K, Linehan WM, Eisenhofer G, et al.Recent advances in genetics, diagnosis, localization,and treatment of pheochromocytoma. Ann InternMed. 2001;134:315-329.
4. Drasin H. Treatment of malignant pheochromocytoma.West J Med. 1978;128:106-111.
5. van Heerden JA, Sheps SG, Hamberger B, et al.Pheochromocytoma: current status and changingtrends. Surgery. 1982;91:367-373.
6. Mahoney EM, Harrison JH. Malignant pheochromocytoma:clinical course and treatment. J Urol.1977;118:225-229.
7. Loh KC, Fitzgerald PA, Matthay KK, et al. Thetreatment of malignant pheochromocytoma withiodine-131 metaiodobenzylguanidine (131I-MIBG): acomprehensive review of 116 reported patients.J Endocrinol Invest. 1997;20:648-658.
8. Bravo EL. Evolving concepts in the pathophysiology,diagnosis, and treatment of pheochromocytoma.Endocr Rev. 1994;15:356-368.
9. Cotran RS, Kumar V, Collins T, Robbins SL, eds.Robbins Pathologic Basis of Disease. 6th ed. Philadelphia:WB Saunders Co; 1999.
10. Bornemann M, Hill SC, Kidd GS 2nd. Lacticacidosis in pheochromocytoma. Ann Intern Med.1986;105:880-882.
11. Forman BH. ACTH-secreting pheochromocytoma.N Engl J Med. 1979;301:1399.
12. Forman BH, Marban E, Kayne RD, et al. EctopicACTH syndrome due to pheochromocytoma:case report and review of the literature. Yale J BiolMed. 1979;52:181-189.
13. Heath H 3rd, Edis AJ. Pheochromocytoma associatedwith hypercalcemia and ectopic secretionof calcitonin. Ann Intern Med. 1979;91:208-210.
14. Fisher BM, MacPhee GJ, Davies DL, et al. Acase of watery diarrhoea syndrome due to an adrenalphaeochromocytoma secreting vasoactive intestinalpolypeptide with coincidental autoimmune thyroiddisease. Acta Endocrinol (Copenh). 1987;114:340-344.
15. Chiasson JL, Shikama H, Chu DT, Exton JH.Inhibitory effect of epinephrine on insulin-stimulatedglucose uptake by rat skeletal muscle. J Clin Invest.1981;68:706-713.
16. Rosen SG, Clutter WE, Shah SD, et al. Directalpha-adrenergic stimulation of hepatic glucose productionin human subjects. Am J Physiol. 1983;245:E616-E626.
17. Shikama H, Chiasson JL, Exton JH. Studies onthe interactions between insulin and epinephrine inthe control of skeletal muscle glycogen metabolism.J Biol Chem. 1981;256:4450-4454.
18. Hamaji M. Pancreatic alpha- and beta-cell functionin pheochromocytoma. J Clin Endocrinol Metab.1979;49:322-325.
19. Yu L, Fleckman AM, Chadha M, et al. Radiationtherapy of metastatic pheochromocytoma: case reportand review of the literature. Am J Clin Oncol.1996;19:389-393.
20. Prys-Roberts C. Pheochromocytoma—recentprogress in management. Br J Anaesth. 2000;85:44-57.
