Catheter-Associated Infection: Infection in a 90-Year-Old Man
Eiyu Matsumoto, MB
Clinical Assistant Professor in the Department of Internal Medicine, Division of Infectious Diseases, at the University of Iowa Carver College of Medicine in Iowa City, Iowa
Jennifer R. Carlson, PA-C
Physician Assistant at the Iowa City Veterans Affairs Health Care System in Iowa City, Iowa
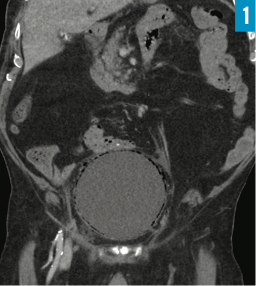
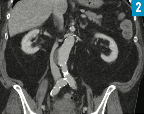
A 90-year-old man presented to the emergency department with 1-day history of tachypnea, dyspnea, and lower abdominal pain. His multiple comorbidities included coronary artery disease, obstructive sleep apnea, hypertension, hyperlipidemia, gout, transient ischemic attack, and benign prostatic hyperplasia with placement of a long-term indwelling urinary catheter for years.
His vital signs included a blood pressure of 156/79 mm Hg, a heart rate of 92 beats/min, a respiratory rate of 36 breaths/min, a temperature of 36.0°C, and oxygen saturation of 96% on room air. Abdominal examination revealed suprapubic tenderness without rebound tenderness or guarding. Urinalysis results were suggestive of urinary tract infection. Computed tomography scans of the abdomen/pelvis were obtained (Figures 1 and 2).


