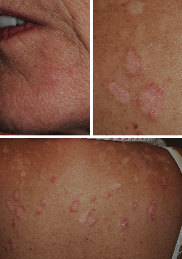
What explains this patient’s lesions?

This 60-year-old woman presented for evaluation of a rash on her chin of several months’ duration. When questioned, she reported also a history of rashes on her back that were itchy. She was otherwise healthy.
Which of the following explain this patient’s lesions?
- Nummular eczema
- Contact dermatitis
- Dermatophyte infection
- Cutaneous lupus erythematosus
- Asteatotic eczema
Answer on next page.

Answer: Cutaneous lupus erythematosus
This patient had biopsy-proven cutaneous lupus erythematosus. She was placed on hydroxychloroquine, which resulted in marked improvement of all lesions. The laboratory workup did not reveal any internal or systemic involvement.
Nummular eczema and asteatotic eczema are not uncommon on the trunk, but involvement of the face should suggest expanding the differential diagnosis. A dermatophyte infection this extensive would be highly unusual in a patient in this age group. The appearance and the anatomic location of the lesions in this case argue against contact dermatitis.
David L. Kaplan, MD, is a clinical assistant professor of dermatology at the University of Missouri–Kansas City School of Medicine in Kansas City, Missouri, and at the University of Kansas School of Medicine in Kansas City, Kansas. He practices adult and pediatric dermatology in Overland Park, Kansas.
