A thriving boy was brought to the office 3 weeks after his first birthday. His mother reported that there was "something wrong with his knee." On visual examination, the knee appeared perfectly normal. On palpation, however, a 4-cm linear induration was evident over the knee fat pad, just medial and distal to the patella. It appeared soft, crepitant, and associated with the skin. No tenderness was noted on palpation; the infant did not object to palpation of this density any more than to auscultation, otoscopy, or anthropometric measurements. No erythema, ecchymosis, or signs of trauma were evident near the lesion. The only possibly relevant history was that the child had spent his birthday at his grandmother's home in the Ukraine a month earlier. He was constantly with his mother during that time, and no trauma was ever reported.
Radiographs were initially considered, but it was felt that the soft lesion was unlikely to be radiopaque. The infant was referred to a pediatric surgeon who agreed with the findings but was unable to determine the cause of the lesion.
Four days after the initial visit, the child returned to the office with urticaria. This was thought to be a reaction to grape juice that was newly introduced to the child's diet. The grape juice was discontinued and the child was treated with an oral antihistamine. By day 7, however, the urticaria was severe enough to require epinephrine( and oral corticosteroids.
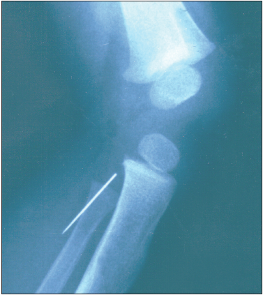
Radiographs were ordered by Anatoly Belilovsky, MD, of Brooklyn Hospital and Michael LaCorte, MD, of Schneider Children's Hospital in Brooklyn, NY. To everyone's surprise, the films revealed a sewing needle in the subcutaneous tissue. The child's mother did not sew at home; however, sewing needles had been present at the grandmother's home where the infant had crawled about on his hands and knees.
A repeated examination of the child's knee revealed no sign of an entry wound; there was no ecchymosis, no tenderness, and no local reaction, and the lesion still appeared soft and yielding on palpation with some crepitus.
Stainless steel always contains chromium and usually nickel as well. Either metal may produce systemic allergic phenomena with only localized exposure.
Based on this information, the needle was removed "urgently" 13 days after the initial presentation, while the infant was still being treated for urticaria. The tiny incision healed uneventfully and there was no evidence of rash during a 3-month follow-up.
Two aspects of this case are noteworthy:
•This child had generalized urticaria that developed roughly a month after a needle became embedded. There was no localized reaction.
•Every clinician who examined this child found the lesion to be soft and flexible. For this reason, radiographs were delayed by a week.
Although the most common presentation of metal allergy is chronic, lichenified, contact dermatitis from nickel-containing jewelry and accessories, systemic atopic and urticarial reactions to localized contact with alloys and salts have been described. Metallothionein induction and subsequent sensitization are thought to be a possible disease mechanism.
The take-home message: an intractable idiopathic allergic process in a child may be the result of ingested, inhaled, implanted, or imbedded metal.
