Peer Reviewed
An Infant With Scoliosis: Is It Idiopathic?
A 15-month-old girl presented to our clinic for a well-child visit. She had been born at term and had been discharged home after 3 days. At 1 week of age, she had been seen for noisy breathing and had received a diagnosis of laryngotracheomalacia. At her 2-month visit, a heart murmur had been detected; an echocardiogram had revealed the presence of a ventricular septal defect. When the girl had begun to sit up, her mother had noted that she leaned to the right, and that her back seemed curved. The family history was positive for adolescent idiopathic scoliosis (AIS) in an aunt.
Physical examination. On physical examination, the girl’s length was 76 cm (28th percentile according to CDC growth chart), her weight was 9.2 kg (11th percentile), and her head circumference was 46 cm (50th percentile). She had plagiocephaly of the right occiput, a grade 3/6 holosystolic murmur, asymmetric thigh creases, and a left-sided thoracic spinal curve. Results of an Adams forward bend test were positive for scoliosis (Figure 1). No pectus carinatum, pectus excavatum, café au lait macules, anal abnormalities, limb abnormalities, or hip clicks were noted.

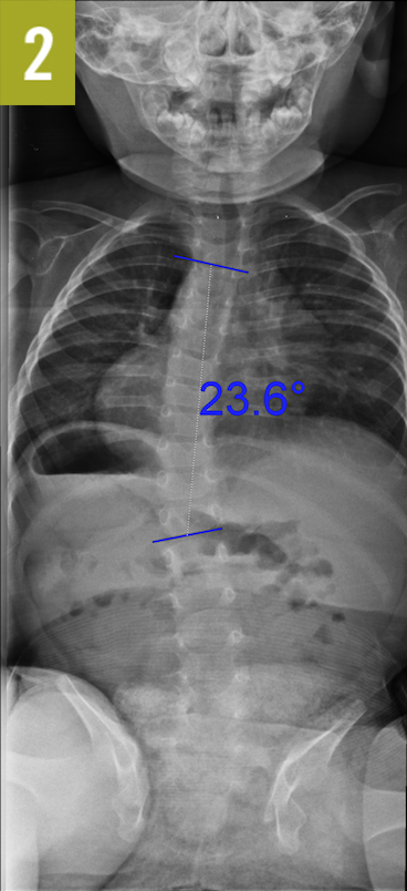
Diagnostic tests. With 2 of 3 criteria needed for VACTERL association (Table), renal ultrasonography was ordered, the results of which were normal. The initial radiograph of the spine showed a left-sided thoracic curve with a Cobb angle of 20°. Repeated imaging 4 months later showed progression of the curve to 24° and a rib vertebra angle difference (RVAD) of less than 20° (Figure 2). Therefore, the patient received a diagnosis of infantile idiopathic scoliosis (IIS).

Discussion. Idiopathic scoliosis affects up to 3% of children, with 1% of those cases being IIS diagnosed before age 3 years.1,2 Because IIS is often associated with plagiocephaly and hip dysplasia, it is thought to be a positional deformity. While AIS (adolescent idiopathic scoliosis) is more common in girls than in boys, IIS has a male to female ratio of 3 to 2.1 IIS is a diagnosis of exclusion and is made when other causes, such as neuromuscular disorders, vertebral malformations, and syndromic disorders such as VACTERL association, have been ruled out. Curves can be progressive or nonprogressive, and a Cobb angle of 20° or more or an RVAD of 20° or more predicts progression.3 If the RVAD exceeds 20°, magnetic resonance imaging scans show that approximately 20% of patients have neuroanatomical abnormalities such as Chiari malformation.4
|
Table. Criteria for VACTERL Association9,10 |
|
|
Vertebral anomalies |
Hemivertebrae, fused vertebrae, scoliosis, transitional vertebrae |
|
Anal atresia |
Imperforate anus, ectopic anus, persistent cloaca |
|
Cardiac malformation |
Ventricular septal defect, atrial septal defect, atrioventricular septal defect, patent ductus arteriosus, malformed aortic valve, tetralogy of Fallot, transposition of the great arteries |
|
Tracheoesophageal fistula |
Proximal atresia with distal fistula |
|
Renal anomalies |
Renal agenesis, vesicoureteral reflux, dysplastic kidney, duplex kidney, horseshoe kidney, cystic dysplastic kidney |
|
Limb abnormalities |
Radial dysplasia, humeral hypoplasia, hypoplastic thumbs, polydactyly, syndactyly |
Curves of less than 20° resolve spontaneously and only require observation. Serial imaging for larger curves is needed to document progression. Intervention is recommended for progressive curves, because chest wall restriction and lung compromise may occur.5 Curves between 25° and 35° usually require bracing, and serial casting may decrease the curve to 25° before bracing. Bracing has variable success in infants, because their body habitus is difficult to fit, and they are at risk for new deformities if the brace does not fit properly. Although adherence to bracing is problematic, it remains the most common treatment.3,6,7
Curves between 35° and 40° may require surgery. Rib distractors and instrumentation without fusion (ie, subcutaneous growing rods) allow continued growth in young patients. If anterior and posterior fusion is performed, truncal shortening occurs, and pulmonary function is adversely affected.8 Other treatments such as exercise, electrical stimulation, and manipulation are ineffective and should be avoided.
Patient outcome and management. Because our patient’s curve had progressed, serial imaging every 4 to 6 months is planned.
References:
- Mundis GM, Akbarnia BA. Idiopathic scoliosis: infantile and juvenile. In: Akbarnia BA, Yazici M, Thompson GH, eds. The Growing Spine: Management of Spinal Disorders in Young Children. New York, NY: Springer; 2010:199-212.
- Miller NH. Cause and natural history of adolescent idiopathic scoliosis. Orthop Clin North Am. 1999;30(3):343-352.
- Thorsness RJ, Faust JR, Behrend CJ, Sanders JO. Nonsurgical management of early-onset scoliosis. J Am Acad Orthop Surg. 2015;23(9):519-528.
- Dobbs MB, Lenke LG, Szymanski DA, et al. Prevalence of neural axis abnormalities in patients with infantile idiopathic scoliosis. J Bone Joint Surg Am. 2002;84-A(12):2230-2234.
- Redding G, Song K, Inscore S, Effmann E, Campbell R. Lung function asymmetry in children with congenital and infantile scoliosis. Spine J. 2008;8(4):639-644.
- Emans JB. Orthotic management for infantile and juvenile scoliosis. In: Akbarnia BA, Yazici M, Thompson GH, eds. The Growing Spine: Management of Spinal Disorders in Young Children. New York, NY: Springer; 2010:365-381.
- Mehta MH. Growth as a corrective force in the early treatment of progressive infantile scoliosis. J Bone Joint Surg Br. 2005;87(9):1237-1247.
- Karol LA. Early definitive spinal fusion in young children: what we have learned. Clin Orthop Relat Res. 2011;469(5):1323-1329.
- Chen Y, Liu Z, Chen J, et al. The genetic landscape and clinical implications of vertebral anomalies in VACTERL association. J Med Genet. 2016;53(7):431-437.
- Oral A, Caner I, Yigiter M, et al. Clinical characteristics of neonates with VACTERL association. Pediatr Int. 2012;54(3):361-364.
