How Do You Read These Images?
A 27-month-old girl is brought in for evaluation of hoarseness. She was born prematurely, at 27 weeks' gestation, and spent her first 4 months in the neonatal ICU. Earlier discharge summaries and other documents indicate that the stability of her home environment has been a matter of significant concern: her mother has frequently been unable to provide clear or consistent information about the child. Six months earlier, in the middle of winter, the patient was brought to the emergency department (ED) and was subsequently admitted and treated for a presumed asthma exacerbation and bronchiolitis.
____________________________________________________________________________________________________________________________________________
Related Content
Girl with Limitation of Neck Movement
Eight-Year-Old Girl With Mass in Midline of Neck
____________________________________________________________________________________________________________________________________________
You order frontal and lateral views of the patient's airway.
1. On reviewing these radiographs, do you conclude that they are adequate?
A. Yes.
B. No.
2. What do the radiographs show?
A. Early epiglottitis.
B. Esophageal foreign body.
C. Croup.
D. Mass.
E. Retropharyngeal abscess.
3. What is your next step?
A. Obtain an emergent anesthesia consult.
B. Order an enhanced CT scan of the neck.
C. Repeat the anteroposterior view.
D. Obtain an otolaryngology consult.
Answers and Discussion on next page
Answers & Discussion
1. On reviewing these radiographs, do you conclude that they are adequate?
A. Yes.
B. No.
(A is the correct choice.)
Yes, these films are adequate.
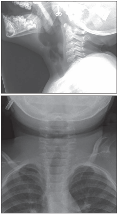
On the lateral view (Figure 1a), you can determine the degree of head tilt and rotation by checking how well the angles of the 2 mandibles line up with each other. The mildly misaligned mandibles in this film indicate that the patient's head is slightly tilted; however, the degree of tilt is within acceptable bounds. In addition, the vertebral bodies and corresponding posterior elements appear well aligned. The study was performed in the inspiratory phase; thus, the oropharynx, nasopharynx, hypopharynx, larynx, and trachea are all well visualized.

On the frontal view (Figure 1b), the positioning of the child is also satisfactory. The region in question is adequately visualized. The glottis is closed.
Neither view is marred by motion artifact. It is preferable to remove articles of jewelry before a radiographic study, but the small earring visible in the lateral view will not inhibit assessment or formulation of a treatment plan.
A. Early epiglottitis.
B. Esophageal foreign body.
C. Croup.
D. Mass.
E. Retropharyngeal abscess.
(D is the correct choice.)
We'll take the choices one at a time.

Epiglottitis. (Figure 2a) Recall that the child's home environment does not seem to be especially good. Thus, immunizations might not be up-to-date, and ingestion or inhalation of toxic chemicals in or around the home is a possibility (the latter could cause airway compromise or even inflammation of the epiglottis). Thus, even though epiglottitis would be unlikely, it is wise to make sure you can rule it out. Fortunately, the radiographs show the epiglottis (blue arrows) to have a normal, slender contour; they show the aryepiglottic folds (red arrow) to be normal as well-and thin. These findings rule out epiglottitis.
Esophageal foreign body. This could easily be inapparent on airway radiographs or even on a chest film. However, there is no mediastinal air or soft tissue prominence on these radiographs that would lead us to suspect a foreign body in the esophagus. Also, the child is not having difficulty in swallowing.
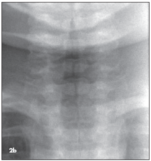
Croup. Because it is summer, croup is unlikely. In any event, the long, smooth, steeple-like narrowing of the subglottic airway that is characteristic of croup is not evident. (Figure 2b shows signs of croup in a different patient.)
Retropharyngeal abscess. This typically causes marked, diffuse thickening of the prevertebral soft tissues, and occasionally lucent dots of gas can be appreciated. The findings here do not correspond to this description.
Mass. This is the correct answer. On the lateral view, a lobulated soft tissue mass can be seen arising from the posterior wall of the upper hypopharynx (Figure 2c). The mass is approximately 2 cm cephalocaudal by 1 cm anteroposterior, and its edges form acute angles with the hypopharyngeal wall (oblique angles would be expected if this were extrinsic to the airway and deforming the hypopharynx from the outside [Figure 2d]). This mass is an unexpected and abnormal finding; its differential diagnosis includes hemangioma, polyp, granuloma, foreign body (although not in the esophagus because the mass forms acute angles with the pharyngeal wall), and papilloma.
There is 1 potential pitfall that is important to be aware of when examining neck radiographs: pediatric pharyngeal soft tissues can be floppy and redundant, and a fold of normal tissue may simulate a mass. If there is a suspicious finding on the initial films but neck extension and inspiration on these were inadequate, we often obtain additional lateral images of the airway.
A. Obtain an emergent anesthesia consult.
B. Order an enhanced CT scan of the neck.
C. Repeat the anteroposterior view.
D. Obtain an otolaryngology consult.
(D is the correct choice.)
Most likely, you would next consult with otolaryngology for further evaluation of the lesion. The otolaryngology service saw this child in the ED and determined that the mass was a large papilloma. She was admitted for microlaryngoscopy, esophagoscopy, bronchoscopy,
and microdebridement of papillomas on her larynx, oropharynx, hypopharynx, and esophagus. At that time, additional lesions were also identified on her uvula, tonsils, and epiglottis. Unfortunately, this child's disease was fairly severe and tenacious; at the time of writing, she has undergone 9 more debulking procedures for her recurrent papillomatosis. As time went on, the lesions progressed to involve the true and false cords fairly extensively, leaving the patient at times with a very small glottic lumen. Lesions were eventually seen below the cords as well. A follow-up airway radiograph obtained 6 months after her initial presentation (Figure 3) showed, in addition to the original lesion, a bulky soft tissue mass at the level of the vocal cords (white arrow).
Many sources state that recurrent respiratory papillomatosis (RRP) is the most common benign laryngeal lesion in the pediatric population.1,2 The cause, of course, is the human papillomavirus (HPV), which is very often acquired through vertical transmission. Specific subtypes (HPV 6 and 11) are commonly implicated1,2; in this child, however, in situ hybridization did not show evidence of HPV type 6, 11, 16, 18, 31, 33, or 35.
Patients with RRP commonly present with hoarseness (as this girl did) but may also present with alterations in the sound of the voice, wheezing, airway obstruction, or failure to thrive.1,2 This child's clinical course was typical: presentation before age 3 with hoarseness, an initial preliminary admission and treatment for asthma/ bronchitis (before the papillomatosis was recognized), aggressive and recurrent lesions, and the need for repeated surgical procedures. Although operative intervention may be unavoidable, there is concern that the procedures stir up microscopic particles and catapult these into the distal tracheobronchial tree.
Long-term complications of RRP include the potential need for a tracheotomy, development of pulmonary nodules that may cavitate and become secondarily infected, and malignant degeneration of the lesions.1,2 Current treatment options for children with RRP include surgery, various antiviral agents, photodynamic therapy, vaccines, indole-3-carbinol, celecoxib(Drug information on celecoxib), retinoids, and gene therapy.2 Unfortunately, at this time there is no cure.
