Henoch-Schönlein purpura with gastric wall thickening
For 3 days, a 7-year-old girl had severe, generalized abdominal pain. The patient described the pain as sharp and achy without radiation; she denied any relieving or aggravating factors. She also reported decreased appetite and energy for the past week.
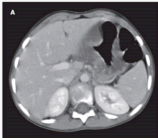
Vital signs were normal. An initial complete blood cell (CBC) count showed a white blood cell count of 18,000/μL, with 20% bands. Results of a chemistry panel were normal. Stool was positive for occult blood. A CT scan showed marked gastric wall thickening measuring 18 mm (A and B). The patient was admitted to the hospital. Results of another CBC count with differential and a second chemistry panel as well as a hepatic panel were normal. Stool was still positive. Her IgA level was 542 mg/dL (normal range, 100 to 200 mg/dL). Results of an upper endoscopy with biopsy were normal, without pathology. Five days after admission, the patient's ankles and knees became swollen. The next day, purpuric lesions developed on her feet and legs (C). A dermatologist who examined the patient diagnosed Henoch-Schönlein purpura (HSP). Although the parents refused a skin biopsy, the child's clinical presentation, elevated IgA level, and rash all pointed to this diagnosis.
The presentation of HSP varies with each patient. Clinical manifestations of this IgA-mediated vasculitis primarily include palpable purpura, arthralgia, arthritis, abdominal pain, GI bleeding, and nephritis. Abdominal pain with concomitant hematochezia affects more than half of patients with HSP and may be the presenting complaint. The abdominal pain is often sharp and colicky and results from submucosal and subserosal hemorrhage and edema, with thrombosis of the microvasculature in the gut. Gastric wall thickening has not been reported as a manifestation of HSP. This finding may be an early clue to the diagnosis of HSP in children with abdominal pain who present without the characteristic purpuric lesions.
The child completed a 10-day course of oral prednisone. After 1 month, a follow-up CT scan showed significantly reduced gastric wall thickening. The patient is currently asymptomatic.
