Foreign-body aspiration is a relatively common occurrence in children. It may present as a life-threatening event that necessitates prompt removal of the aspirated material. However, the diagnosis may be delayed when the history is atypical, when parents fail to appreciate the significance of symptoms, or when clinical and radiologic findings are misleading or overlooked by the physician.
Aspiration of organic matter causes severe airway mucosal inflammation. If the organic matter is not promptly removed, chronic inflammation leads to the development of granulation tissue around the foreign body, which may ultimately present as a lung infection. In this setting, it is not uncommon to treat patients for secondary complications, such as persistent fever, “asthma,” or recurrent pneumonia for long periods.
Here we review the incidence of foreign-body aspiration, its various clinical guises, its management, and measures that can prevent future aspirations.
UPPER AIRWAY OBSTRUCTION
Upper airway obstruction is one of the leading causes of pediatric emergencies. According to the National Safety Council, mechanical suffocation accounted for 5% of all unintentional deaths among children younger than 4 years in 1995 in the United States.1 Most of these deaths involved children younger than 12 months (10% of all unintentional deaths occurred in this age group).2
Pathogenesis. A foreign body in the posterior pharynx causes irritation and discomfort that causes the child to cry or cough. Vigorous inspiration causes the foreign body to become impacted within the airway;there is increased resistance to inspiratory and expiratory flow as a result. The impacted foreign body in the intrathoracic airway creates a valvelike effect that causes more airflow obstruction during expiration than during inspiration; the result is generalized or asymmetric gas trapping. Surface sensory receptors of the respiratory tract adapt to the prolonged pressure caused by the foreign body. Consequently, the child will not experience further coughing until other sensory receptors are stimulated by dislodgment of the foreign body or by secretions. Thus the patient may be asymptomatic for some time (ie, hours to months or even longer).
Epidemiology. Foreign-body aspiration accounts for more than 300 deaths annually in this country.3 Approximately 80% of episodes of foreign-body aspiration occur in those younger than 3 years.4 Most children of this age are learning to explore their world via the oral route and tend to put everything in theirmouth. The absence of the molars makes them unable to chew adequately, however. These factors increase the risk of foreign-body aspiration. Other predisposing factors include older siblings who may place food or objects in the mouth of infants or toddlers; neurologic disorders, such as cerebral palsy; loss of consciousness; and wallowing dysfunction.
During infancy, the incidence of foreign-body aspiration episodes is equal in boys and girls. After infancy, however, boys are more likely to experience aspiration than girls: the male-to-female ratio varies from 1.5:1 to 2.4:1.4,5
Food items (nuts, seeds, food particles) have been implicated in 70% to 90% cases involving infants and toddlers.6 Various types of nuts top the list of aspirated foreign bodies: peanuts are the most common (36% to 55%).5,7 Melon and sunflower seeds are also commonly aspirated.8
Older children tend to aspirate non-food items, such as paper clips, coins, balls, marbles, and pins.6 Balloon aspiration is frequently fatal.9 Balloons can pass through the vocal cords and lodge in the carina; they prevent air passage through to the lungs. As a result, balloons have been banned in many day-care centers and schools.
CLINICAL PRESENTATION
A foreign body may become lodged in the larynx, trachea, or bronchus. The right bronchus is more commonly affected than the left because of the lesser angle of divergence relative to the left bronchus and because of its greater diameter.7,10 Larger foreign bodies may become lodged in the larynx. Laryngotracheal foreign bodies are associated with increased morbidity and mortality.11
Signs and symptoms associated with foreign body aspiration occur in 3 phases.
Stage 1. Choking, coughing, gasping, and respiratory distress develop because of airway obstruction. Choking lasts for a few seconds to several minutes after the episode and may be self-limited.
Stage 2. Acute symptoms may be followed by a temporary quiescent phase in which the patient may not have any symptoms.
Stage 3. During the last phase, symptoms of complications such as infection may develop.
The clinical presentation depends on the child’s age, the type of object that has been aspirated, the time elapsed since the event, and the location of the foreign body. Only 50% to 75% of children present to a health facility within 24 hours of the initial aspiration.5,7 A review of 400 cases of foreign-body aspiration showed that almost 71% children presented within 1 week of aspiration.10
The most common symptoms of foreign-body aspiration are coughing, choking, and wheezing.5,7,12 Fever, stridor, chest pain, and throat or sternal discomfort occur less frequently. Laryngotracheal foreign bodies present with cough, stridor, hoarseness, and increased respiratory effort. Foreign bodies in the larynx may also manifest with symptoms related to the esophagus, such as dysphagia, gagging, or throat discomfort. Lower airway foreign bodies present as cough, wheezing, and shortness of breath; examination reveals decreased breath sounds on one side.13
Affected patients may experience little acute distress after an initial phase of choking episode. A history of choking in a previously healthy child can be elicited in 80% to 90% of patients who have aspirated a foreign body.7,12 Physical examination results may be normal or nonspecific in up to 30% patients.10 Others may have generalized or localized wheezing and decreased air entry.
Because foreign-body aspiration can mimic other respiratory conditions, a high index of suspicion is necessary in all patients with pneumonia, atelectasis, or wheezing with an atypical course—especially in patients who are unresponsive to medical therapy (see Box). This helps in the early diagnosis of foreign-body aspiration, especially in the absence of a history of choking.
Foreign-body aspiration can closely mimic an acute asthma exacerbation.14 However, the absence of atopy, the acute onset of symptoms, and unilateral physical findings may suggest foreign-body aspiration. Moreover, patients who have inhaled a foreign body fail to improve with conventional bronchodilators. Thus, clinical suspicion is crucial in the diagnostic process.
|
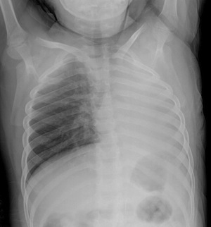
Boy With Worsening Respiratory Function: A Case History Figure 1 – The chest film shows opacification of the left lung.
Figure 2 – Complete opacification of the left lung is evident after 24 hours of therapy.
Figure 3 – Near complete aeration of the left lung is apparent after the foreign body was removed.
|
COMPLICATIONS
The most serious complication of foreign-body aspiration is complete airway obstruction and death. Hence, immediate diagnosis is imperative and prompt management is lifesaving. Delayed diagnosis is associated with complications related to prolonged impaction of the foreign body, which results in pulmonary infections distal to the site of impaction and further narrowing of an already narrowed airway.15 Other complications associated with prolonged impaction are croup, stricture, aphonia, subcutaneous emphysema, bronchiectasis, atelectasis, and pneumothorax.16-18
The patient may present with fever and other symptoms and signs that suggest an infectious pathology, such as pneumonia or lung abscess. In the absence of a history of choking, aspiration may not be suspected. Patients with recurrent one-sided infections or persistent unilateral wheezing without a history of choking should be evaluated for possible aspirated foreign body.
A delayed diagnosis may be physician- or parent-related; the diagnosis may also be delayed by the absence of a clinical history. A 10-year review of 135 children with an aspirated foreign body showed that physician-related factors were responsible for a delayed diagnosis in 17.7% of patients.7 A foreign body was ruled out based on a normal chest film, or symptoms associated with the aspirated foreign body were misdiagnosed as asthma or respiratory tract infection. Parental delay in seeking medical care (involved in 15.5% of patients) was mainly because episodes of aspiration were unwitnessed or because acute signs and symptoms were absent. Up to 12.5% of patients were brought to medical attention because of worsening cough or wheezing or asthma, because a foreign body was apparent on chest films, or during an elective direct laryngobronchoscopy done for stridor.
DIAGNOSIS
As noted, an accurate history and a high index of suspicion are crucial to an early diagnosis of foreignbody aspiration. Many children are asymptomatic at presentation. It is important to evaluate all children who present with a reliable history of aspiration, even in the absence of physical findings.
Imaging studies are often diagnostic for foreign-body aspiration but have limitations. Cervical and thoracic radiographs are the most important diagnostic interventions in patients with suspected foreign-body aspiration.13 Both posteroanterior and lateral radiographs of the chestshould be obtained. If the foreign body is radiopaque, it can be easily detected with a plain radiograph. However, most foreign bodies ingested by children are radiolucent; only 10% to 20% are radiopaque.10,15
Posteroanterior chest films taken during inspiration and expiration may demonstrate unilateral air trapping. In children, lateral decubitus films are more useful because they use the patient’s own weight to promote expiratory excursion. Silva and colleagues19 reported that sensitivity and specificity of plain chest films for foreign-body detection were only 74% and 45%, respectively. Svedstrom and associates20 reported the sensitivity and specificity to be 68% and 67%, respectively.
Chest films show abnormal findings in 40% to 80% of cases.7,10,20 The most common findings include unilateral hyperinflation, atelectasis, or pneumonia.1,7,8 Other findings include pneumothorax, pneumomediastinum, or subcutaneous emphysema.16
In one study of 343 children, 56% of the chest radiographs obtained within 24 hours of the aspiration appeared normal.10 In contrast, only 33% of the chest radiographs were normal if more than 24 hours had passed since the aspiration.21 Between 50% and 70% of those with a foreign body in the trachea had normal radiographic findings.5,10 Thus, chest films alone should not be relied on to diagnose a foreign body in the airway.
CT scans can be used in patients with persistent symptoms to identify early sequelae or to detect radiolucent foreign bodies.22 Fluoroscopy may also reveal a partial obstruction of the airway.
MANAGEMENT
Clinical management of an aspirated foreign body includes early recognition, acute emergency interventions, supportive care, and preventive anticipatory guidance.
The current guidelines for pediatric basic life support recommend that when airway obstruction from a foreign body is mild, no intervention is required.23 The patient should be allowed to clear his or her airway by coughing while the clinician watches for signs of impending severe airway obstruction.
In infants with severe obstruction, 5 back blows followed by 5 chest thrusts should be administered repeatedly until the object is expelled or the victim becomes unresponsive. Abdominal thrusts should not be delivered to infants because they may damage the relatively large and unprotected liver.23
For children older than 1 year, subdiaphragmatic abdominal thrusts (the Heimlich maneuver) should be administered. These maneuvers force the diaphragm upward, thereby increasing the intrathoracic and intratracheal pressure that expels the foreign body. These maneuvers should be performed only if the child is responsive.
Cardiopulmonary resuscitation should be performed if a child becomes unresponsive. Rescuers should always look into the mouth before giving breaths. Keep in mind that a blind oropharyngeal finger sweep in a choking infant or child can dislodge the foreign body to the more distal and smaller airways. A finger sweep should be done only if the object can be seen in the posterior pharynx. Ventilation followed by chest compressions should follow. Parents and caregivers should learn these techniques to prevent accidental deaths from foreign-body aspiration.23
Bronchoscopy is used to remove the foreign body. Since the advent of bronchoscopy, mortality associated with foreign-body aspiration has decreased from 50% to 1%.1 Bronchoscopy should be done at an intensive care facility because some children need postoperative ventilation. Rigid bronchoscopy is considered the standard of care in many centers for evaluating a child with possible aspiration. This procedure allows for better visualization of the airways, for manipulation of the foreign body with a variety of forceps, and for better control of mucosal hemorrhage should this occur. Rigid bronchoscopy also helps maintain good airway control.24 A Fogarty catheter, an alligator catheter, and 4-pronged flexible grasping hooks are used to remove the foreign body through the bronchoscope.
Flexible bronchoscopy is used to evaluate a child who presents with recurrent pneumonia or chronic cough when foreign-body aspiration is not suspected. The flexible bronchoscope avoids the need for general anesthesia and is thus considered by some experts to be safer and more costeffective than rigid bronchoscopy.25 Foreign-body dislodgement is the main complication encountered with the flexible scope.
After the foreign body is removed, the airway should be visualized again for another foreign body or residual fragments. Postoperative complications may include atelectasis, worsening of the pneumonia, laryngeal edema, and pneumothorax. Cardiac arrest from hypoxia and massive bleeding is a rare occurrence.26
Ancillary treatment (ie, antibiotics) can be administered to treat infection that may have developed secondary to prolonged impaction. A course of systemic corticosteroids may help reduce inflammation27 and thus facilitate the removal of the foreign body.
Chest physical therapy and postural drainage may dislodge the foreign body to an area where it may cause more harm.
Prolonged foreign-body impaction in the airways triggers production of granulation tissue. This increases morbidity and repeated bronchoscopies may be needed to remove the foreign body.7
PREVENTION
The American Academy of Pediatrics recommends that anticipatory guidance be provided to parents and caregivers when their child is 6 months old.28 Children at this age begin to develop the fine motor skills needed to pick up and ingest small objects. Because food items (such as peanuts) are commonly aspirated, advise parents and caregivers not to offer such foods until their child is old enough to chew them properly. Also advise parents to feed their child only when he is sitting upright and to discourage the child from running, playing, or laughing while eating. Remind parents to place all small objects (such as pins and coins) safely out of the hild’s reach.
The Consumer Product Safety Act was enacted in an effort to prevent foreign-body aspiration. The act recommends a ban on any toys that could pose choking or aspiration hazards for children younger than 3 years.9 Since 1995, any toy with small parts, marbles, or balls less than 4.44 cm in size must carry a label that the item contains small parts and that it is not recommended for young children.29
REFERENCES:
1. Rovin JD, Rodgers BM. Pediatric foreign body aspiration. Pediatr Rev. 2000;21:86-90.
2. Schmidt H, Manegold BC. Foreign body aspiration in children. Surg Endosc. 2000;14:644-648.
3. Black RE, Johnson DG, Matiak ME. Bronchoscopic removal of foreign bodies in children. J Pediatr Surg. 1994;29:682-684.
4. Rothmann BF, Boeckman CR. Foreign bodies in the larynx and tracheobronchial tree in children. A review of 225 cases. Ann Otol Rhinol Laryngol. 1980;89:434-436.
5. Burton EM, Brick WG, Hall JD, et al. Tracheobronchial foreign body aspiration in children. South Med J. 1996;89:195-198.
6. Darrow DH, Holinger LD. Aerodigestive tract foreign bodies in the older child and adolescent. Ann Otol Rhinol Laryngol. 1996;105:267-271.
7. Tan HK, Brown K, McGill T, et al. Airway foreign bodies (FB): a 10-year review. Int J Pediatr Otolarygol. 2000;56:91-99.
8. Pasaoglu I, Dogan R, Demircin M, et al. Bronchoscopic removal of foreign bodies in children: retrospective analysis of 822 cases. Thorac Cardiovasc Surg. 1991;39:95-98.
9. Rimell FL, Thome A Jr, Stool S, et al. Characteristics of objects that cause choking in children. JAMA. 1995;274:1763-1766.
10. Mu L, He P, Sun D. Inhalation of foreign bodies in Chinese children: a review of 400 cases. Laryngoscope. 1991;101:657-660.
11. Lima JA. Laryngeal foreign bodies in children: a persistent, life-threatening problem. Laryngoscope. 1989;99:415-420.
12. Even L, Heno N, Talmon Y, et al. Diagnostic evaluation of foreign body aspiration in children: a prospective study. J Pediatr Surg. 2005;40:1122-1127.
13. Lima AB, Fischer GB. Foreign body aspiration in children. Paed Resp Rev. 2002;3:303-307.
14. De Bilderling G, Mathot M, Bodart E. Asthma in the young child: when should inhaled foreign body be suspected? Rev Med Liege. 2001;56:759-763.
15. Tokar B, Ozkan R, Ilhan H. Tracheobronchial foreign bodies in children: importance of accurate history and plain chest radiography in delayed presentation. Clin Radiol. 2004;59:609-615.
16. Narasimhan KL, Chowdhary SK, Suri S, et al. Foreign body airway obstructions in children: lessons learnt from a prospective audit. J Indian Assoc Pediatr Surg. 2002;7:184-189.
17. Reilly J, Thompson J, MacArthur C, et al. Pediatric aerodigestive foreign body injuries are complications related to timeliness of diagnosis. Laryngoscope. 1997;107:17-20.
18. Cataneo AJ, Reibscheid SM, Ruiz Junior RL, Ferrari GF. Foreign body in the tracheobronchial tree. Clin Pediatr. 1997;36:701-706.
19. Silva AB, Muntz HR, Clary R. Utility of conventional radiography in the diagnosis and management of pediatric airway foreign bodies. Ann Otol Rhinol Laryngol. 1998;107:834-838.
20. Svedstrom E, Puhakka H, Kero P. How accurate is chest radiography in the diagnosis of tracheobronchial foreign bodies in children? Pediatr Radiol. 1989;19:520-522.
21. Mu LC, Sun DQ, He P. Radiological diagnosis of aspirated foreign bodies in children: review of 343 cases. J Laryngol Otol. 1990;104:778-782.
22. Appelgate KE, Dardinger JT, Leiber ML, et al. Spiral CT scanning technique in the detection of aspiration of LEGO foreign bodies. Pediatr Radiol. 2001;31:836-840.
23. American Heart Association Guidelines for Cardiopulmonary Resuscitation and Emergency Cardiovascular Care: Pediatric Basic Life Support. Circulation. 2005;112:156-166.
24. Banerjee A, Rao KS, Khanna SK, et al. Laryngo-tracheo-bronchial foreign bodies in children. J Laryngol Otol. 1988;102:1029-1032.
25. Martinot A, Closset M, Marquette CH, et al. Indications for flexible versus rigid bronchoscopy in children with suspected foreign-body aspiration. Am J Respir Crit Care Med. 1997;155:1676-1679.
26. Ciftci AO, Bingol-Kologlu M, Senocak ME, et al. Bronchoscopy for evaluation of foreign body aspiration in children. J Pediatr Surg. 2003;38:1170-1176.
27. Steen KH, Zimmermann T. Tracheobronchial aspiration of foreign bodies in children: a study of 94 cases. Laryngoscope. 1990;100:525-530.
28. American Academy of Pediatrics. Guidelines for Health Supervision III. 3rd ed. Elk Grove Village, Ill: American Academy of Pediatrics; 1997:91.
29. Mechanical airway obstruction: choking, strangulation, and suffocation. In: Widome MD, ed. Injury Prevention and Control for Children and Youth. Elk Grove Village, Ill: American Academy of Pediatrics. 1997:285.



