Consequences of 3 Vaccine-Preventable Diseases
Epiglottitis
JEFF ALLEN BECK, MD
Grand Rapids Medical Education and Research Center, Mich
JERI WEYHER KESSENICH, MD
Helen DeVos Children’s Hospital, Grand Rapids, Mich
___________________________________________________________________________________________________________________________________________________________
A 17-month-old girl awoke with drooling, cough, respiratory distress, and a muffled cry and was brought to the emergency department. She had no nausea, vomiting, or diarrhea and no history of choking, aspiration, or airway problems
On examination, the patient was in significant respiratory distress with audible stridor during inhalation and exhalation. While in an upright-seated position, the infant was noted to be leaning forward. Rectal temperature was 40.5°C (105°F); respiration rate, 40 breaths per minute; and pulse rate, 202 beats per minute. Oxygen saturation on room air was normal. Inhalation treatments were administered.
Anteroposterior and lateral neck radiographs demonstrated an enlarged epiglottis with effacement of the vallecula and thickening of the aryepiglottic folds and pharyngeal edema. Laryngoscopy demonstrated a severely edematous and erythematous epiglottis. The true vocal cords were normal. Aerobic and anaerobic culture specimens from the surface of the epiglottis were obtained.
The patient was transferred to the pediatric critical care unit in stable condition and placed on a mechanical ventilator. A review of systems at this point was normal.
The mother reported that the patient had no significant medical or surgical history and no sick contacts. The infant was born at term via spontaneous vaginal delivery without complications. She had not yet received her final Haemophilus influenzae type b (Hib) or pneumococcal conjugate vaccinations; all other immunizations were up-to-date. She lived at home with her mother and 2 siblings.
Laboratory data revealed an elevated peripheral blood white blood cell count of 16,700/μL, with 38 segmented neutrophils, 1 band, 51 lymphocytes, 8 monocytes, and 2 eosinophils on manual differentiation. The culture was positive for a few Streptococcus pyogenes colonies. A nasal swab was negative for viral antigens (adenovirus; influenza A and B; parainfluenza viruses types 1, 2, and 3; and respiratory syncytial virus). A peripheral blood culture was negative.
Since the routine administration of Hib conjugate vaccine, the incidence of epiglottitis, a presentation of invasive Hib disease in children younger than 5 years, declined from 100 cases in 100,000 children in 1988 to 0.3 cases per 100,000 children in 2000.1 In 2006, 93% of children aged 19 to 35 months had received at least 3 doses of the Hib vaccine.2
Bacteria other than Hib have been associated with epiglottitis in children. These include Haemophilus influenzae types A and F; Streptococcus pneumoniae; Staphylococcus aureus; and β-hemolytic streptococci groups A, B, C, and F.3 Viral causes of epiglottitis are rare and associated with infection by herpes simplex virus type 1, parainfluenza virus type 3, and influenza virus type B. Thermal injury also may cause epiglottitis.4
Most children with epiglottitis recover without residual airway effects when the appropriate antibiotics are administered and the airway is secured. Most deaths result from failure to secure the airway once the condition is suspected.5
This patient was extubated on hospital day 3 after receiving ceftriaxone (50 mg/kg/d) and a total of 6 doses of dexamethasone given every 6 hours. Intravenous ceftriaxone was continued for a total of 7 days. After 48 hours of normal oral intake, the child was discharged with a prescription for a 5-day course of extended-release amoxicillin/clavulanate (45 mg/kg bid). The child was completely well at the follow-up visit 5 days later.
Continued on next page
Congenital Rubella Syndrome
ALEXANDER K. C. LEUNG, MD and REGINALD S. SAUVE, MD
University of Calgary, Alberta, Canada and Alberta Children’s Hospital
This infant was born to a 19-year-old mother at 38 weeks’ gestation. The mother had received no antenatal care. Rubella-specific IgG and IgM antibodies were present in the cord blood. Rubella virus was cultured from a nasopharyngeal swab. A diagnosis of congenital rubella syndrome was made.
Clinical Manifestations. Congenital rubella infection may be followed by spontaneous abortion, stillbirth, live birth of an infant with single or multiple anomalies, or birth of a normal infant. As many as two-thirds of infants with congenital rubella infection may be asymptomatic at birth. However, nearly three-quarters of infected infants manifest sequelae years later.
Congenital rubella syndrome consists of the classic triad of cataracts, congenital heart disease (patent ductus arteriosus, pulmonary artery stenosis, and pulmonic valvular stenosis), and sensorineural hearing loss.
During the neonatal period, congenital rubella may produce a myriad of transient clinical features and conditions. These include jaundice, anemia, hepatitis, hepatosplenomegaly, dermal erythropoiesis (“blueberry muffin” spots), thrombocytopenic purpura, generalized adenopathy, hypotonia, bulging anterior fontanelle with or without pleocytosis in the cerebrospinal fluid, corneal opacity, striated radiolucencies in the long bones (“celery stalk” lesions), interstitial pneumonia, myocarditis, myositis, nephritis, and meningoencephalitis.
Other features seen in the neonatal period that may persist include, along with the classic triad, intrauterine growth retardation, microcephaly, microphthalmia, retinopathy (“salt and pepper retinitis”), and glaucoma. Delayed manifestations include sensorineural hearing loss, mental retardation, progressive encephalopathy, psychomotor retardation, autism, insulin-dependent diabetes mellitus, thyroid dysfunction, and immunological defects.
Universal immunization is the key to prevention.
Continued on next page
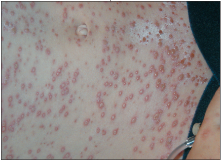
Streptococcal Infection Secondary to Varicella
KATHRYN S. MOFFETT, MD
West Virginia University

This 7-year-old boy was hospitalized because of vomiting, dysuria, fever (temperature, 40°C [104°F]), and generalized rash. Vesicles had appeared 2 days earlier, and new lesions were erupting on his abdomen, perineum, back, face, throat, and urinary meatus. The child had trouble drinking because of a sore throat, and he refused to void secondary to pain.
There were vesicular lesions on the patient’s eyelids, throat, anterior nares, external ear canals, and urinary meatus in addition to the more than 3000 ruptured vesicles on the rest of his body. Few of the vesicles had crusted. The skin around many of the lesions was red and inflamed; no pus was noted.
intravenous fluids were administered. On the basis of the clinical presentation, a diagnosis of varicella was made. Cultures were positive for secondary bacterial infection from group A β-hemolytic streptococci (Streptococcus pyogenes). No throat culture was performed.
The patient’s older brother had “brought home chickenpox” (according to the patient’s father) from school 18 days before his 2 younger brothers became infected. None of the 3 siblings had received immunization with the varicella vaccine.
The patient was given a 10-day course of ampicillin. He became afebrile on day 5, and the pox began to crust.

