A 10-day-old boy was born vaginally at 37 weeks breech without complications. He has history of poor feeding with vomiting and has lost weight since birth, and one episode of vomiting described as projectile. Ultrasonography ruled out pyloric stenosis but revealed bilateral hydronephrosis. The patient was referred to the emergency department for further evaluation.
PHYSICAL EXAMINATION
Infant awake and alert. Appeared mildly dehydrated with dry lips, but a moist tongue. Fontanelles not sunken. Skin turgor normal, with good capillary refill. Weight, 3.1 kg (3.5 kg at birth); length, 52 cm; head circumference, 35 cm. Temperature, 37.1?251-186?C (98.9?251-186?F); heart rate, 140 beats per minute; respiratory rate, 40 breaths per minute; blood pressure, 116/77 mm Hg. Blood pressures measured in all 4 extremities, with minimal variation.

LABORATORY TESTS
Electrolyte levels from the referring hospital: sodium, 125 mEq/L; potassium, 6.3 mEq/L; chloride, 90 mEq/L; bicarbonate, 13 mEq/L. Blood urea( nitrogen, 68 mg/dL; creatinine, 4.5 mg/dL. White blood cell count, 24 3 103/µL;hemoglobin, 12 g/dL; and platelets, 290 3 103/µL. Urine pH, 7.0; specific gravity, 1.006; 1+ blood. Cultures of cerebral spinal fluid, blood, and urine negative.
Acute renal failure was diagnosed and a catheter placed while electrolytes were corrected in the ICU.
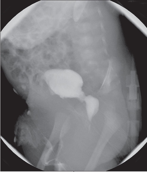
A voiding cystourethrogram (VCUG) was done: results are shown here.
WHAT’S YOUR DIAGNOSIS?
(Answer and discussion on next page)
ANSWER: POSTERIOR URETHRAL VALVES
The VCUG clearly shows posterior urethral valves (PUVs). The child had an impressive post-obstructive diuresis after a catheter was placed to bypass the obstruction. Several days later the urology team performed a cystoscopy and transurethral resection of the type I valves (at the 5, 7, and 12 o'clock positions). A catheter was left in place for 10 days, at which point the blood pressure, glomerular filtration rate, and levels of blood urea nitrogen and creatinine all normalized. The child is currently gaining weight and doing well.
BACKGROUND AND ETIOLOGYPUVs are the most common congenital cause of bilateral renal obstruction that can lead to renal failure in children. PUVs are mucosal membranes that can lead to various grades of bladder outlet obstruction and proximal urinary tract dilatation. Langenbeck in 1802 is credited with the first description of valves. However, it was not until Young and colleagues described 36 cases that PUVs were identified as a true entity.1 PUVs occur in approximately 1 in 5000 live male births.2
PUVs usually appear at the earliest stage of urinary tract development. Consequently, the entire urinary tract develops in an abnormal environment of high intraluminal pressure from mechanical obstruction.3 Although 3 types of valves have been described, type I valves are found 95% of the time. This bicuspid valve radiates distally from the posterior edge of the midline prominence in the mid-prostatic urethra to the anterior proximal membranous urethra; the aperture varies to allow urine flow during voiding.3 The fused portion fills with urine and bulges into the membranous urethra, which gives the characteristic "sail-in-the-wind" finding commonly seen on VCUG (see Figure).4

PRENATAL DIAGNOSIS AND TREATMENT
Currently, most significant PUVs are diagnosed via prenatal ultrasonography. However, when the ultrasound is done before 24 weeks' gestation, about half of cases are missed. (Our patient's last ultrasound was done at 18 weeks.) Early detection of PUVs by 24 weeks gestation identifies a high-risk group with a 50% chance of death or chronic renal failure.5
Other findings on prenatal ultrasonography that predict poor outcome are moderate to severe hydroureteronephrosis and increased renal echogenicity or cystic changes. However, infants with severe PUVs who have favorable urinary electrolytes, oligohydramnios, and fetal growth retardation before 24 weeks' gestation are candidates for urinary tract decompression by vesico-amniotic shunt placement. Long-term renal protection has been difficult to predict in these cases.6
MANAGEMENT AFTER DELIVERYAfter a postnatal renal sonogram, the valve obstruction should be relieved by placement of a small urethral catheter or a suprapubic catheter. A VCUG is done next to confirm the diagnosis and to check for vesicoureteral reflux (VUR). Once renal function is stabilized, endoscopic identification of the valves and primary valve ablation should be performed.3
VUR occurs in about half of all affected infants and is usually high-grade. Serial VCUG studies help assess improvement or resolution of VUR and relief of obstruction after catheterization and endoscopic valve incision.3,6
Outcome After Valve AblationThe major complication of valve ablation is urinary incontinence. The incidence is between 15% and 38%. If stress incontinence is included, however, the incidence can increase to 70%.3 These percentages are based on older data when valve ablation was paired with resection of the bladder neck, which is no longer done. Therefore, current incidences for incontinence are probably lower.3,6
Outcome After Postnatal Treatment of PUVThe goal of treating children with PUV is to prevent end-stage renal disease (ESRD). The Table highlights some general predictive outcomes for ESRD.
Prognosis and Transplantation
Mortality among infants with PUV fell from 50% in 1972 to 1% to 3% in 1990.2 By adolescence, approximately one third of boys with a neonatal diagnosis of PUV will have ESRD.7 However, children with PUV represent only 1% of children awaiting renal transplantation.8 When children with PUV do receive a renal transplant, their outcomes are comparable to those of age-matched controls without "valve bladders."9,10
