Was the Cure Worse Than the Disease? Case 4: Right Bundle-Branch Block After Pacemaker Implantation
The morning after an 88-year-old woman with symptomatic second-degree type I (Wenckebach) atrioventricular block underwent placement of a dual chamber pacemaker without complication, she awoke with uncomfortable pulsations in her abdomen. The pacing thresholds and impedance had remained unchanged since implantation.
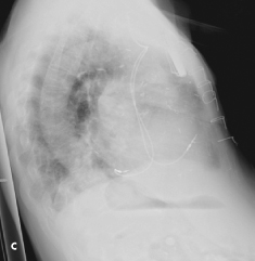
An ECG revealed a ventricular paced rhythm with right bundle-branch block (BBB) morphology and ex- treme axis deviation (A). The anteroposterior (AP) chest radiograph showed normal placement of the electrodes (B); however, the lateral film revealed a posterior deflec- tion with the ventricular electrode entering the coronary sinus and resting in a contributory branch (C).
Ventricular pacing usually involves placement of an electrode in the right ventricular (RV) apex and manifests as left BBB morphology and left axis deviation on the surface ECG. This represents a right-to-left pattern of depolarization, from the site of the electrode placement— RV apex—toward the left ventricle (LV), and suggests a delay in the depolarization of the left side on the surface ECG. Right BBB morphology implies a left-to-right depolarization pattern and suggests an incorrect location of the electrode that initiates the depolarization wave.
The differential diagnosis of paced right BBB morphology includes inadvertent LV lead placement, migration of the electrode into the LV (through a patent foramen ovale, atrial septal defect, or septal perforation), inadvertent coronary venous system placement, or right bundle-branch disease with anterograde block.
Right BBB morphology during pacing requires further studies to determine the cause. As demonstrated in this case, the lateral chest radiograph is an essential part of the routine postoperative follow-up of patients with pacemakers. However, both AP and lateral films may be normal in patients with inadvertent coronary sinus lead placement.1Echocardiography, which may be impractical, and intracardiac ECG, which is ideally performed in the electrophysiology laboratory immediately after implantation, also can be used to confirm correct electrode placement.
Abdominal pulsations can result from inappropriate electrode placement near the diaphragm or from left phrenic nerve stimulation caused by epicardial pacing. Diaphragmatic stimulation is common with middle cardiac vein pacing because of the higher threshold required2; however, this may not become apparent until after the procedure. The higher threshold may be the earliest clue to incorrect electrode placement. Symptoms can be eliminated by lowering the pacemaker output current or by reposi- tioning the electrode.
Pacing electrodes inadvertently placed in the coronary sinus system can be left alone in asymptomatic patients, because the depolarization pattern may resemble physiologic patterns.3 However, the pres- ence of pacing electrodes in the LV is associated with a 37% cerebral embolic rate, and full-dose anticoagulation is recommended.4 Consider surgery for patients in whom the lead reached the LV as a result of ventricular septal perforation.
This patient remained symptomatic despite lower- ing the output and required repositioning of the pacing electrode in the RV apex. A subsequent ECG showed ventricular paced rhythm with a left BBB morphology and left axis deviation (D).




1. Gulotta SJ. Transvenous cardiac pacing. Technics for optimal electrode posi- tioning and prevention of coronary sinus placement. Circulation. 1970;42:701-718.
2. Kemp A, Kjersgaard Johansen J, Kjaergaard E. Malplacement of endocardial pacemaker electrodes in the middle cardiac vein. Acta Med Scand. 1976;199:7-11.
3. Bai Y, Strathmore N, Mond H, et al. Permanent ventricular pacing via the great cardiac vein. Pacing Clin Electrophysiol. 1994;17:678-683.
4. Van Gelder BM, Bracke FA, Oto A, et al. Diagnosis and management of inadver- tently placed pacing and ICD leads in the left ventricle: a multicenter experience and review of the literature. Pacing Clin Electrophysiol. 2000;23:877-883.
