Von Hippel-Lindau Syndrome
For 3 days, a 43-year-old man had had a progressively worsening headache. The pain had increased in severity to the point at which he considered it unbearable and sought medical attention.
The pain was not well localized; it was constantly dull, with occasional sharp exacerbations. Initially, aspirin provided relief, but its analgesic effect diminished after the first day. The patient denied nausea, light sensitivity, and sound sensitivity. He had never had a similar headache before, but he did have occasional severe headaches that were accompanied by blurred vision. He had no family history of migraines. He denied fever, chills, sweats, and neck pain and stiffness. He had no recent history of travel or trauma.
The patient’s past medical history was significant for coronary artery disease with stent placement 2 years earlier, hypertension, hyperlipidemia, and myocardial infarction that resulted in an ischemic cardiomyopathy (ejection fraction of 40%). He had no previous surgeries. His long-term medications included lisinopril, clopidogrel, simvastatin, extended-release metoprolol, and aspirin. He smoked 1 pack of cigarettes per day and drank alcohol occasionally, but did not use illicit drugs. He was married and had two children.
Blood pressure was 122/82 mm Hg; heart rate, 84 beats per minute; temperature, 36.8°C (98.2°F); and respiration rate, 12 breaths per minute. Head, ears, eyes, nose, and throat were normal. Neck was supple and had no bruits or adenopathy. Cardiac examination revealed a regular rhythm and normal Sl and S2 with no murmurs, rubs, or gallop. Lungs were clear. The abdomen was soft and nontender with normal bowel sounds. Neurological examination showed intact cranial nerve function, symmetrical and full strength, and 2/4 deep tendon reflexes bilaterally; toes were down-going. His left lateral calf had diminished sensation to sharp/dull discrimination. Romberg test results were equivocal. He could not perform rapid alternating movements with his left hand; he was right hand dominant.
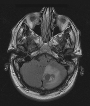
A complete blood cell count, comprehensive metabolic panel, prothrombin time/partial thromboplastin time, and erythrocyte sedimentation rate were normal. An MRl scan of the brain showed a 2 3 1.5 cm left cerebellar cyst with an enhancing mural nodule. There were several smaller, approximately 4 mm, adjacent enhancing nodules. The large cyst was exerting mass effect on the cerebellar hemisphere with partial effacement of the 4th ventricle. There was no reported obstructive hydrocephalus.
The MRI findings were consistent with a pattern associated with von Hippel-Lindau syndrome. Subsequently, an MRI scan of the cervical, thoracic, and lumbar spine was obtained, and a CT scan of the abdomen and pelvis was done. The spinal MRI scan showed multiple cystic lesions. There was a 9 to 10 mm cystic mass of the right dorsal columns at C6-C7, which caused flattening of the spinal cord from C2 to T1. There was a smaller cystic lesion at C1-C2. In addition, there were cystic lesions at T12-L1 and L1-L2, and a 4 to 5 mm lesion at the tip of the conus. The CT scan of the abdomen and pelvis showed no lesions in the kidneys, pancreas, or liver.
The patient was given dexamethasone to treat the mass effect of the large cerebellar cyst. A neurosurgeon recommended excision of the cyst. The remaining lesions had no corresponding symptoms or physical findings and were subsequently observed. It was also recommended that his children have genetic testing to determine whether they had von Hippel-Lindau syndrome.
Cerebelloretinal hemangioblastomatosis is usually an inherited autosomal dominant disorder encoded on chromosome 3p25-26. The gene acts as a tumor suppressor; in persons with the genetic mutation, tumors can grow unchecked. Approximately 1 in 32,000 infants born worldwide are affected with the autosomal dominant form. There can also be spontaneous variations that arise causing von Hippel-Lindau syndrome in 1 in 4,400,000 births. Furthermore, autosomal recessive transmission can occur when only one copy of an abnormal gene is located on an autosome. When 2 heterozygotes reproduce, there is a 25% risk of transmission, while each parent will remain clinically normal.
Von Hippel-Lindau syndrome can manifest with hemangiomas of the cerebellum, spinal cord, retina, liver, pancreas, kidney, or epididymis. In addition to cystic lesions of the kidney, the risk of renal cell cancer is increased. Rarely, pheochromocytomas may also be seen in conjunction with the other masses. Symptoms depend on the location and size of the individual masses.
The primary treatment is surgical excision of symptomatic or malignant lesions. The retinal lesions are usually the first to be detected because they can be directly visualized on routine eye examination. The average age of detection is late teens to twenties, but rarely initial diagnosis can be as late as the eighties. The most common cause of death attributable to von Hippel-Lindau syndrome is renal cell cancer.
Genetic testing and counseling should be offered to the children of all patients with von Hippel-Lindau syndrome. There is currently no modality for the prevention of hemangioblastomas in patients identified through genetic testing in whom tumors have not already developed. Since the hemangioblastomas are benign, routine screening for their presence is not recommended. Periodic CT scanning of the abdomen is advised because renal cell cancer is asymptomatic at early stages. n
