Respiratory Woes: Smoking-Related or Not?
Case 1: Sudden-Onset Cough, Fatigue, and Confusion in an Elderly Woman
JOHN E. HEFFNER, MD
Portland, Oregon

An 85-year-old woman was brought to the emergency department by her son, who stated that his mother had complained of a cough and generalized fatigue for 2 days. The cough was nonproductive, and she had not appeared to have a fever.
On the morning of evaluation, the patient became confused, saying repeatedly that she needed to “catch a bus.” She had a history of cigarette smoking but had stopped smoking 20 years before. She also had congestive heart failure, for which she was taking digoxin. She had otherwise been in good health and lived independently.
The patient’s temperature was 37.3°C (99.1°F). Her pulse was 110 beats per minute and respiratory rate, 22 breaths per minute. She appeared confused but in no apparent acute distress. Lung auscultation revealed bronchial breath sounds at the left base; she had an occasional moist cough. A chest film (seen here) showed lower left lobe opacity.
What is your clinical impression of the woman’s condition, and how would you proceed?
(Answer and discussion on next page.)
ANSWER—Case1:
The patient had community-acquired pneumonia with age-related alterations of presenting symptoms.
The influence of age on pneumonia symptoms at initial presentation may complicate the care of older patients and affect clinical outcome. Clinicians have long observed that elderly patients who have pneumonia often present with nonrespiratory symptoms—such as altered mentation without fever—or attenuated respiratory symptoms, which may mimic other conditions.
For example, cough, fever, and dyspnea are less common in older patients; this classic constellation for the diagnosis of pneumonia may be absent in nearly 60% of this population. The occurrence of pleuritic chest pain is especially diminished, with a 50% reduced frequency in patients older than 75 years, compared with those younger than 45 years.

Conversely, some nonrespiratory symptoms occur more commonly in older patients. The elderly, for instance, are more likely to present with acute confusion as a primary manifestation of a pulmonary infection.
Atypical presentations may misguide clinicians in their diagnostic evaluation of elderly patients and delay the initiation of effective antibiotic therapy. Studies have shown that only 25% of elderly patients with pneumonia are given antibiotics within 8 hours of presentation. Also, when classic symptoms of pneumonia, such as fever and chills, do occur in the elderly, they exist for a shorter duration before hospitalization, compared with younger patients. Thus, there is a limited interval in which to intervene with outpatient therapy.
Although mortality from community-acquired pneumonia increases with age, age by itself is not considered a reason for withholding aggressive treatment. Mortality rates for pneumonia are said to be threefold higher in a 60-year-old man than in a 30-year-old man in an otherwise similar state of health.
In this case, the patient’s chest film demonstrated a lower left lobe opacity, which was considered to be pneumonia in light of the acute onset of delirium and cough. She was treated with intravenous ceftriaxone and azithromycin. Blood cultures obtained on admission were positive for Streptococcus pneumoniae sensitive to penicillin. She improved after 3 days of intravenous antibiotics, and she continued therapy with oral azithromycin as an outpatient. Her chest film was normal 3 months later.
Case 2: Persistent Cough in a Man With Glioblastoma Multiforme
SCOTT LACKEY, MD, GLENN J. LESSER, MD,
EDWARD F. HAPONIK, MD, and TIMOTHY E. OAKS, MD
Wake Forest Baptist Medical Center,
Winston-Salem, North Carolina

A 40-year-old man was evaluated for seizures and found to have glioblastoma multiforme in the left temporal lobe. He underwent surgical resection followed by radiation therapy and six cycles of carmustine chemotherapy. The patient responded well, and imaging results supported stable post-therapy changes in the brain.
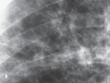
Fifteen months after his initial presentation, however, an MRI scan showed progression of tumor. The patient had no neurologic complaints, and seizures were well controlled. A review of systems revealed a persistent nonproductive cough of 2 months’ duration, and a chest roentgenogram, seen here (A and B), was obtained. The patient reported an ongoing history of smoking two packs of cigarettes a day.
The patient’s temperature was 37°C (98.6°F); blood pressure, 101/58 mm Hg; pulse, 86 beats per minute; respiratory rate, 16 breaths per minute.
Arterial blood gas measurements, taken while the patient was breathing room air, were: pH, 7.39; arterial carbon dioxide tension, 40.7 mm Hg; arterial oxygen tension, 87 mm Hg. Pulmonary function test results were as follows: forced vital capacity (FVC), 2.78 L (54% of predicted); forced expiratory volume in 1 second (FEV1), 2.14 L (51% of predicted); FEV1:FVC ratio, 77% (94% of predicted). Carbon monoxide–diffusing capacity was significantly reduced, to 28% of predicted.
How would you interpret the chest film, and what diagnoses might you consider?
(Answer and discussion on next page.)
ANSWER—Case 2:
The man had pulmonary Langerhans’ cell histiocytosis (LCH), or eosinophilic granuloma.

The chest film (A and B) demonstrates diffuse bilateral nodular opacities, some of which are cavitary. The bases are relatively spared. No pleural effusion or hilar or mediastinal adenopathy is evident. The primary diagnostic consideration is disseminated infection; other possibilities include sarcoidosis, Wegener’s granulomatosis, and metastatic disease.

A chest CT scan (C) demonstrated a diffuse distribution of small nodules with ill-defined margins. Some of the lesions contain central cavitation (D, arrow). Transbronchial lung biopsy was inconclusive. Thoracoscopic lung biopsy samples showed abundant Langerhans’ cells within areas of dense fibrosis, confirming the diagnosis.
LCH represents the infiltration of tissues by inappropriately proliferating Langerhans’ cells and other inflammatory cells. The process does not fit neatly into the usual categories of neoplastic, inflammatory, infectious, or metabolic etiologies. Pulmonary LCH occurs most commonly in 20- to 40-year-old persons; there is a slight predominance among men. Most patients are current or former smokers. Poor prognosis is associated with disseminated disease, prolonged symptoms, extensive radiographic findings, decreased diffusion capacity (as in the present case), and failure to stop smoking.
Pulmonary LCH nodules resemble nodules of other granulomatous diseases, including sarcoidosis, tuberculosis, and atypical mycobacterial diseases; all are similar in diameter and often have an upper lobe predominance. Nongranulomatous diseases characterized by diffuse nodules include metastatic disease and interstitial lung disease caused by inhaled agents.
The patient in this case had lesions that were predominantly nodules and cavitary nodules; these receded after 3 months of oral corticosteroid therapy (E).

