Peer Reviewed
A Patient With Anemia, Lymphadenopathy, and Hepatosplenomegaly
Answer: Sarcoidosis
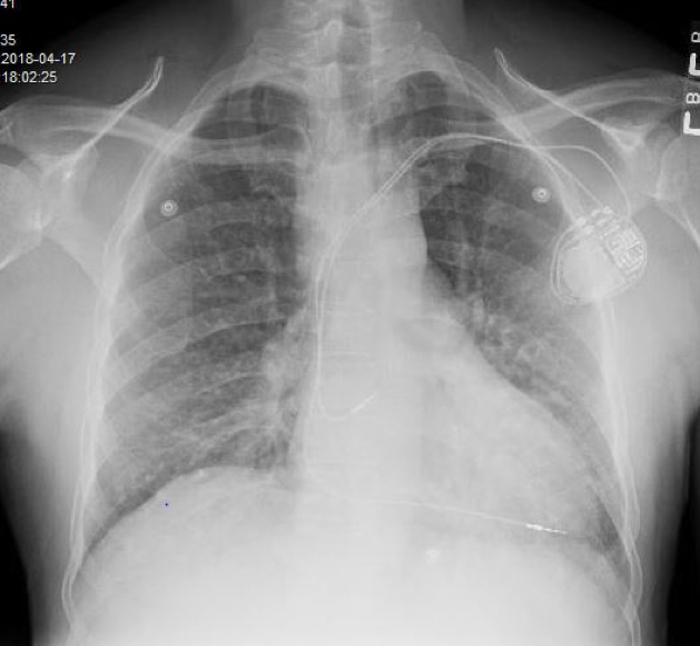
The chest radiographs showed extensive mediastinal and bilateral lymphadenopathy (Figure 1).

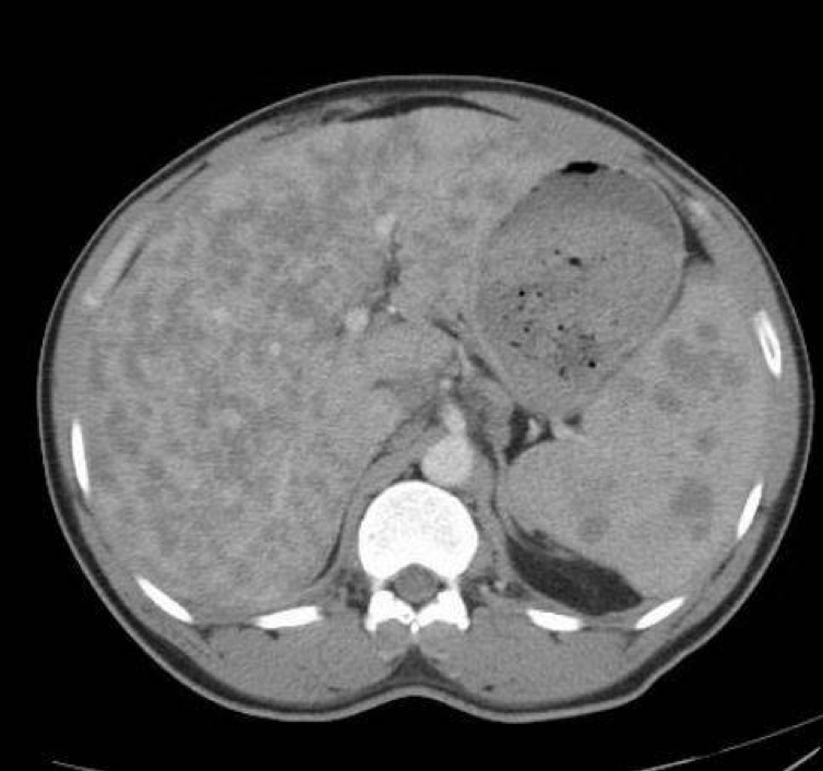
Figure 1.The CT scan of the abdomen and pelvis (Figures 2 and 3) showed an enlarged liver almost completely replaced by multiple low-attenuation lesions, none larger than 20 to 30 mm. The spleen was also enlarged, with multiple lesions measuring up to 20 mm. Extensive enlarged upper abdominal, periportal, and retroperitoneal lymph nodes were noted. These radiographic findings were suggestive of sarcoidosis or lymphoma.

Figure 2
Figure 3Further workup included tissue sampling, given the aggressive appearance of the lesions. The patient underwent a bronchoscopy with right paratracheal and subcarinal transbronchial needle aspiration, the results of which were negative for malignant cells. The acid-fast bacilli (AFB) smear was negative. The angiotensin-converting enzyme (ACE) levels were greater than 360 U/L (reference range, 9-67 U/L). In addition, records from a previous hospitalization in Italy showed a history of complete atrioventricular (AV) block. The imaging, tissue sample, and laboratory test results with clinical correlation were suggestive of sarcoidosis.
Discussion. Sarcoidosis is a multisystemic granulomatous disorder of unknown etiology that is characterized by noncaseating granulomas on pathology results of involved organs. This disease process typically affects young adults. It often presents with bilateral adenopathy, pulmonary reticular opacities, and skin, joint, or eye lesions. Bilateral hilar adenopathy on chest radiographs is a classic finding in sarcoidosis, with hila symmetrically enlarged in approximately 50% of cases, or the right hila slightly more prominent. True unilateral adenopathy is seen in fewer than 5% of cases.1
There is no definitive test for sarcoidosis; the diagnosis is based on clinical and radiographic manifestations, exclusions of other diseases with similar presentation, and histopathology of noncaseating granulomas. A biopsy should be performed on a lesion that is accessible and appears affected, such as cutaneous lesions, palpable nodules, conjunctival lesions, enlarged parotid or lacrimal glands, or ocular lesions. If these sites are not involved, an alternative is a biopsy or fine-needle aspiration of a radiographically enlarged intrathoracic lymph node or lung parenchyma. Note that erythema nodosum lesions should not be biopsied, because histology tests will reveal panniculitis rather than granulomas.2
Of note, hepatic involvement occurs in most patients with sarcoidosis. Hepatic sarcoidosis is approximately twice as common in the African American population than in the white population.3-5 Approximately 50% to 65% of patients with sarcoidosis will have granulomas on liver biopsy, but only 5% to 15% of patients have symptomatic hepatic sarcoidosis.4,6,7 Most are asymptomatic and only have biochemical abnormalities such as elevated alkaline phosphatase and γ-glutamyltransferase levels. Hepatomegaly is noted in 5% to 15% of patients.3,4 Typical CT findings are hepatosplenomegaly and numerous hypodense nodular lesions ranging in size from 1 mm to 3 cm.8,9 Gastroenterological involvement is found in 1% of cases and mostly manifests as gastric ulceration or mural infiltration.10 Liver biopsy is recommended when laboratory test results show moderate or severe liver abnormalities of more than 3 times the upper limit of normal.11
In addition, sarcoidosis can have cardiac involvement that can range from benign to life-threatening and can involve heart block, heart failure, valvular dysfunction, simulated infarction, or pericardial disease. Furthermore, sarcoidosis may have hematologic involvement. One study found that 11 of 30 patients with sarcoidosis had hematologic abnormalities, including anemia.12 The pathogenesis of the anemia is not clear.
Differential diagnosis. Berylliosis is also a granulomatous disease that like sarcoidosis shows hilar adenopathy on chest radiographs. There is a remote possibility of berylliosis, given the patient’s occupational history of stone and tile grinding and the potential for exposure to beryllium. An outpatient beryllium lymphocyte proliferation test is recommended to rule this out. Patients would typically present with dyspnea and cough, not anemia.
Lymphoma commonly presents with lymphadenopathy, hepatosplenomegaly, fever, weight loss, and night sweats. Although the patient had lymphadenopathy and hepatosplenomegaly, and his wife had noted weight loss, lymphoma is unlikely given that fine-needle aspiration of the paratracheal and subcarinal transbronchial lymph nodes did not show malignancy. It also would not explain the AV heart block requiring pacemaker insertion.
HIV involves nonspecific constitutional symptoms such as fever, fatigue, and myalgia. Frequently lymphadenopathy and sometimes mild hepatosplenomegaly are present. Our patient’s chief concern was fatigue and weakness. However, HIV test results were negative.
The take-home message. Sarcoidosis is a granulomatous disorder of unknown etiology that can involve many organs. Although bilateral hilar adenopathy is the classic radiographic finding, it may manifest with heart block or hepatosplenomegaly and multiple lesions in the liver and spleen on CT imaging. Anemia is a rare manifestation of unknown pathogenesis. Sarcoidosis should be considered in the differential diagnosis among HIV, lymphoma, and berylliosis when presented with a similar CT image.
References:
- Spagnolo P, Cullinan P, du Bois RM. Sarcoidosis. In: Schwarz MI, King TE Jr, eds. Interstitial Lung Disease. 5th ed. Shelton, CT: People’s Medical Publishing House; 2011:chap 19.
- Statement on sarcoidosis. Am J Respir Crit Care Med. 1999;160(2):736-755.
- Devaney K, Goodman ZD, Epstein MS, Zimmerman HJ, Ishak KG. Hepatic sarcoidosis: clinicopathologic features in 100 patients. Am J Surg Pathol. 1993;17(12):1272-1280.
- Judson MA. Extrapulmonary sarcoidosis. Semin Respir Crit Care Med. 2007;28(1):83-101.
- Vatti R, Sharma OP. Course of asymptomatic liver involvement in sarcoidosis: role of therapy in selected cases. Sarcoidosis Vasc Diffuse Lung Dis. 1997;14(1):73-76.
- Baughman RP, Teirstein AS, Judson MA, et al; A Case Control Etiologic Study of Sarcoidosis (ACCESS) Research Group. Clinical characteristics of patients in a case control study of sarcoidosis. Am J Respir Crit Care Med. 2001;164(10 pt 1):1885-1889.
- Cozier YC, Berman JS, Palmer JR, Boggs DA, Serlin DM, Rosenberg L. Sarcoidosis in black women in the United States: data from the Black Women’s Health Study. Chest. 2011;139(1):144-150.
- Scott GC, Berman JM, Higgins JL Jr. CT patterns of nodular hepatic and splenic sarcoidosis: a review of the literature. J Comput Assist Tomogr. 1997;21(3):369-372.
- Warshauer DM, Molina PL, Hamman SM, et al. Nodular sarcoidosis of the liver and spleen: analysis of 32 cases. Radiology. 1995;195(3):757-762.
- Federle MP. Sarcoidosis. In: Federle MP, Raman SP, eds. Diagnostic Imaging: Gastrointestinal. 3rd ed. Philadelphia, PA: Elsevier; 2015:chap 28.
- Cremers JP, Drent M, Baughman RP, Wijnen PA, Koek GH. Therapeutic approach of hepatic sarcoidosis. Curr Opin Pulm Med. 2012;18(5):472-482.
- Gupta D, Rao VM, Aggarwal AN, Garewal G, Jindal SK. Haematological abnormalities in patients of sarcoidosis. Indian J Chest Dis Allied Sci. 2002;44(4):233-236.
