AUTHORS:
Caitlin Porter-Smith, BA, BS
Fourth-Year Medical Student, Rocky Vista University College of Osteopathic Medicine, Parker, Colorado
Saundra Kay, MD
Rocky Mountain Pediatric Surgery and Rocky Mountain Hospital for Children at Presbyterian/St. Luke’s, Denver, Colorado
Dehua Wang, MD
Pediatric Pathology, Rocky Mountain Hospital for Children at Presbyterian/St. Luke’s, Denver, Colorado
Pisespong Patamasucan, MD
Pediatric Infectious Disease, Rocky Mountain Hospital for Children at Presbyterian/St. Luke’s, Denver, Colorado
CITATION:
Porter-Smith C, Kay S, Wang D, Patamasucan P. Appendiceal Enterobius vermicularis mimicking acute appendicitis in an 8-year-old girl [published online January 22, 2020]. Infectious Diseases Consultant.
An 8-year-old previously healthy girl presented with a 36-hour history of waxing and waning abdominal pain with associated nausea. The pain had begun in the middle of the night, was localized just below the umbilicus, and worsened with movement. The child’s maximum temperature, recorded at home, had been 37.6°C. There had been no vomiting, diarrhea, or anorexia.
The patient had been evaluated at an urgent care center, where results of urinalysis and abdominal ultrasonography were normal, although the appendix had not been not visualized in its entirety. Findings of further review of systems were noncontributory. Constipation was suspected, given that the patient had not had a bowel movement in the past 2 days.
The girl had felt a little better the next morning, but the pain worsened during the day, and she presented to our center for further evaluation of severe abdominal pain by midday.
On physical examination, she appeared well. The abdomen was soft and nondistended, with tenderness on deep palpitation of the periumbilical region and right lower quadrant but no guarding. In-office ultrasonography revealed a mildly enlarged, hyperemic appendiceal tip with a small volume of surrounding free fluid and inflammation, concerning for early appendicitis.
A laparoscopic appendectomy was performed. While dividing the appendix between endoloops, the surgeon noted tiny white worms (Figure 1). These were immediately suctioned up, and a few worms were sent for pathology testing along with the appendix. Enterobius vermicularis was later confirmed in the appendix (Figures 2 and 3).

Figure 1. Intraoperative image with white worms visible while dividing the appendix between endoloops.

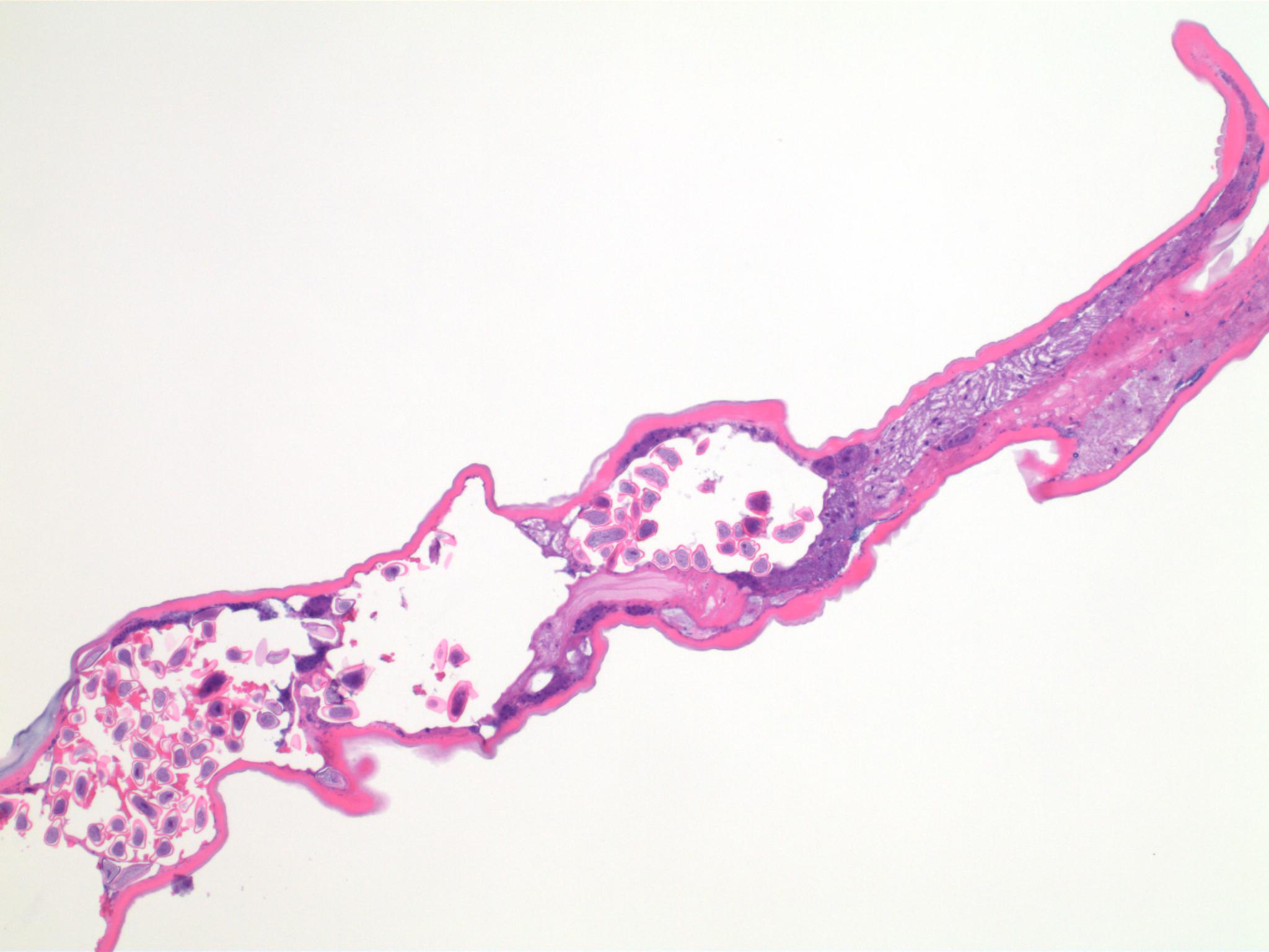
Figure 2. Histological cross-section of E vermicularis within the lumen of the appendix (hematoxylin-eosin, original magnification ×100).

Figure 3. Histological longitudinal section of E vermicularis isolated during laparoscopic appendectomy (hematoxylin-eosin, original magnification ×100).
DISCUSSION
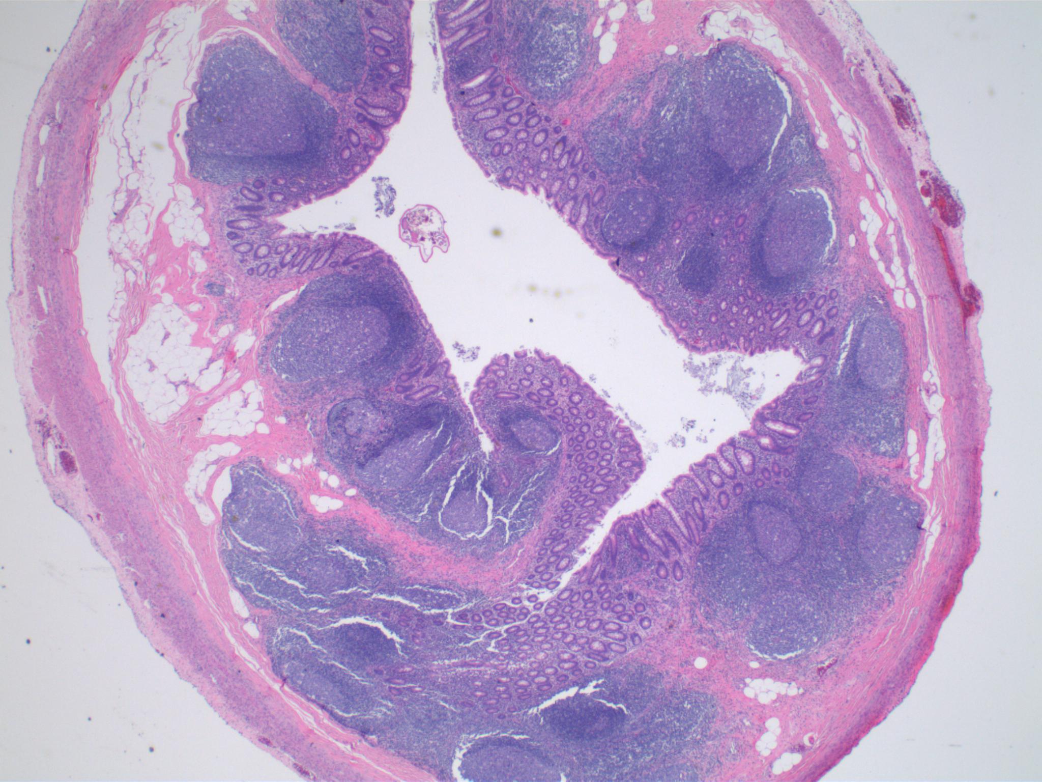
Infestation with E vermicularis, commonly referred to as pinworms, is a rare presentation of appendicitis, accounting for less than 1% of cases.1 Although several parasitic species have been documented to be involved in the development of appendicitis (including E vermicularis, Schistosoma species, Taenia species, and Ascaris lumbricoides), E vermicularis is the most common culprit.2 In this patient’s case, the organisms had acted as a fecalith obstructing the lumen of the appendix (Figure 2) and had caused significant lymphoid hyperplasia of the appendix as demonstrated by histopathology tests (Figure 4).

Figure 4. Lymphoid hyperplasia of the appendix with no evidence of acute appendicitis (hematoxylin-eosin, original magnification ×20).
It has been suggested that the presence of E vermicularis in the appendix most commonly causes lymphoid hyperplasia and rarely results in acute appendicitis.1 In this case, although appendicitis was suspected by the surgeon based primarily on findings of the patient’s second ultrasonogram, no intramural inflammation was seen on histopathology results.
Infestation with E vermicularis is extremely common worldwide, including in the United States and Europe.3 The eggs most commonly are ingested after finger contact with contaminated surfaces. Ova of the organism can survive on toys, tables, and many other surfaces for up to 2 weeks. Once ingested, the eggs hatch and mature in the duodenum before migrating to the cecum and appendix to mate. Female worms migrate to the anal surface to lay eggs, typically at night while the host sleeps. Patients classically present with nocturnal perianal pruritus; however, most infested individuals are asymptomatic.4 The host may autoinfect repeatedly via an anus-to-finger-to-mouth sequence.
Other presentations of ectopic parasitism involving pinworms have been documented, including eosinophilic colitis and gastritis,5 as well as cystitis.6
Diagnosis can be attempted through stool ova and parasite, although this method has a poor detection rate of less than 15%.7 The discovery of a single parasitic infestation makes the presence of others more likely; hence, stool ova and parasite may still be performed to rule out possible coinfection. In patients in whom pinworm infestation is suspected, the most reliable detection is via use of clear tape applied to the perianal region and then transferred to a glass slide for microscopic examination. When this procedure is performed in the morning upon the patient rising and prior to bathing, the success rate of detection of E vermicularis is 50% at 1 day, 90% for 3 consecutive mornings, and 99% for 5 consecutive mornings.3
OUTCOME OF THE CASE
Following laparoscopic appendectomy, the patient and members of her household were treated successfully with oral mebendazole, 100 mg, once that day and again 2 weeks later. Albendazole (100 mg in patients ≤20 kg, and 200 mg in those >20 kg) or pyrantel pamoate (11 mg/kg with a maximum dose of 1 g) also administered twice over 2 weeks are also appropriate treatment options. Treatment is often extended to all household members and close contacts, including school or daycare contacts, to curtail reinfestation.
Clinicians should be aware that a parasitic infection occasionally may be revealed intraoperatively during a gastrointestinal procedure.8
