Peer Reviewed
Right Atrial Myxoma: A Long Journey from Diagnosis to Surgery
AUTHORS:
Nicole Lopez, MD
Associate Professor and Clinical Medical Director, Department of Family and Community Medicine, Texas Tech University Health Sciences Center, Amarillo, Texas
Lauren Knight, MD
Postgraduate Year-2 Resident, Department of Family and Community Medicine, Texas Tech University Health Sciences Center, Amarillo, Texas
John Slaton, DO
Associate Professor and Residency Program Director, Department of Family and Community Medicine, Texas Tech University Health Sciences Center, Amarillo, Texas
CITATION:
Lopez N, Knight L, Slaton J. Right atrial myxoma: a long journey from diagnosis to surgery [published online January 22, 2020]. Consultant360.
A 73-year-old man initially presented to the local emergency department with chest pain with radiation to the left shoulder and arm after a 2-day hunting trip in November 2017. The patient reported having dyspnea on exertion in the preceding months but had no other pertinent symptoms.
Initial laboratory test results were normal; however, computed tomography angiography (CTA) of the chest was ordered due to an elevated D-dimer level. CTA of the chest revealed a 2.4-cm filling defect within the right atrium appendage, concerning for thrombus. He was subsequently admitted to the hospital for further workup, and a transesophageal echocardiography (TEE) was done. TEE showed a 2.5 × 1.5-cm mass within the right atrium, most likely representing a cardiac tumor, and an ejection fraction of 35%. Thrombus could not be entirely excluded, and outpatient magnetic resonance imaging (MRI) of the heart was recommended by his cardiologist.
The patient was readmitted 3 weeks later with shortness of breath and fever. He received a diagnosis of congestive heart failure (CHF) exacerbation and Moraxella catarrhalis pneumonia. During this hospitalization, the patient developed acute kidney failure secondary to furosemide, intravenous contrast agent, and dehydration, which further delayed surgical intervention until kidney function could improve.
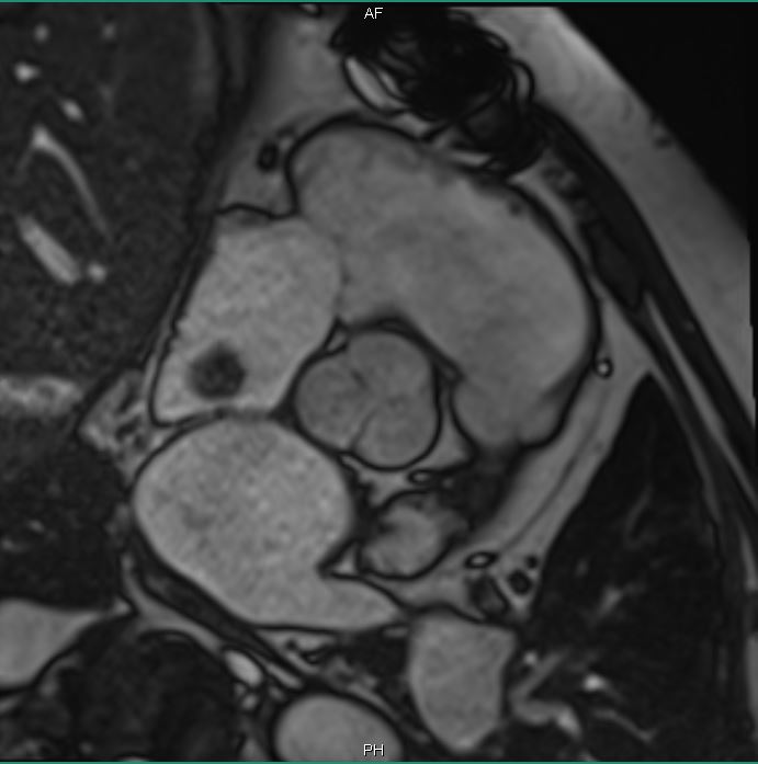
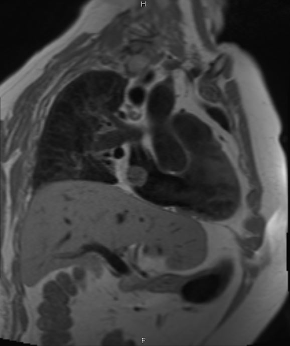
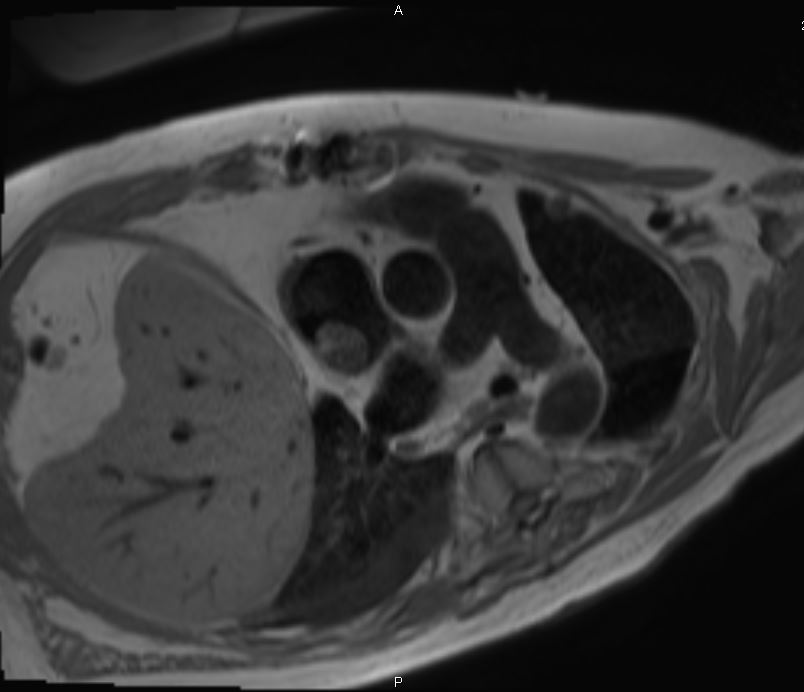
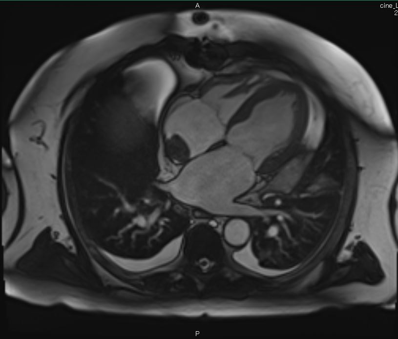
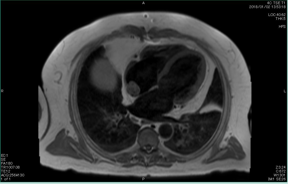
Cardiac MRI was performed on January 3, 2018, which revealed a large 2.5 × 2.9-cm lobular, fairly sessile mass in the right atrium. Without evidence of tissue destruction to suggest a malignant process, the lesion was suggestive of either myxoma or hematoma due to marked contrast uptake (which is seen less often with myxomas) (Figure 1).







Figures 1A-G. Cardiac MRI findings of a large, lobular, fairly sessile mass in the right atrium, measuring 2.5 x 2.9 cm, suggestive of either myxoma or hemangioma.
The patient was subsequently discharged and returned home to follow-up as an outpatient with his cardiologist.
He was readmitted on January 31, 2018, for cough-related syncope and shortness of breath. CT of the chest on admission demonstrated bilateral pleural effusions and interstitial infiltrates in the left upper lung. The admitting diagnosis included diastolic CHF exacerbation. A thoracentesis was done, the results of which showed transudative fluid. Over the course of the hospitalization, the patient had worsening of leukocytosis and contracted H1N1 influenza A.
CT of the chest obtained on February 13, 2018, showed ground-glass infiltrates, which the radiologist read as reactive pneumonitis vs an atypical infectious process. The patient began having hemoptysis secondary to the above conditions, and bronchoscopy revealed an oozing lesion in the mainstem bronchus that was unable to be controlled with epinephrine injection. His hematocrit dropped from 34.8% to 27.3% secondary to the significant hemoptysis, his white blood cell count was 16,700/µL, and his platelet count fell to 85 × 103/µL. Consequently, the patient was transferred via air ambulance to a higher level of care facility for plasma coagulation via bronchoscopy.
CTA of the chest done at this facility on February 27, 2018, showed interval development of ground-glass opacities of the lungs and 2 small pulmonary emboli (PE) within the right atrial tree. A consulting pulmonologist noted that this most likely was secondary to small emboli from the myxoma itself; therefore, a cardiothoracic surgeon was consulted. The patient underwent argon laser bronchoscopy, which subsequently led to resolution of hemoptysis, and the patient was discharged home on oxygen therapy for rehabilitation and follow-up with his regular cardiologist.
In September 2018, approximately 9 months after initial presentation, the patient underwent surgical removal of the atrial myxoma near the interatrial septum proximate to the venous septum and right atrial junction via minimally invasive thoracic robotic surgery (Figure 2). A large egg- to peach-sized mass was sent for pathology testing, the results of which confirmed the diagnosis of benign atrial myxoma with fibrosis, calcification, and ossification (Figure 3).

Figure 2. Right atrial myxoma located intraoperatively near the venous septum and right atrial junction.

Figure 3. Right atrial myxoma, described as the size of a small peach by the cardiothoracic surgeon.
The patient developed atrial fibrillation with rapid ventricular rate postoperatively, which did not convert with intravenous medication. TEE showed normal systolic function with an ejection fraction of 55% and a mildly dilated right atrium. The patient was successfully electrically cardioverted on September 18, 2018.
He recovered slowly over the following months and has subsequently been released from cardiac rehabilitation. Since surgery, he has maintained an 18-kg weight loss and no longer requires oxygen therapy. In May 2019, the patient had a syncopal event at home and was admitted for observation; in-hospital telemetry showed ventricular tachycardia. He was referred to an electrophysiologist, and a pacemaker and internal defibrillator were placed. He continues to live at home with close follow-up with his primary care provider and cardiologist.
DISCUSSION
Cardiac tumors are rare, representing less than 0.2% of all tumors.1 Myxomas, which are connective tissue tumors of mesenchymal origin, make up the majority of benign cardiac tumors. Approximately 20% of these are located within the right atrium. Right atrial myxomas arise from the interatrial septum, usually close to the border of the fossa ovale.2 There is a female sex predominance and peak incidence in the third decade of life.
Cardiac myxomas cause a wide variety of symptoms through various mechanisms, including embolization, obstruction of circulation through the heart, interference with heart valves, direct invasion of the pericardium or adjacent lung, and constitutional symptoms such as fatigue, peripheral edema, hepatomegaly, ascites, and prominent A waves on echocardiogram. Syncope is a rare presentation.3 Left heart tumors tend to present with shortness of breath 6 years earlier than right heart tumors.2 A serious complication of right atrial myxomas is pulmonary emboli caused by tumor fragments leading to pulmonary hypertension secondary to obstruction of the pulmonary arteries.4 Because of these complications, symptomatic myxomas are surgically excised as soon as possible after diagnosis.1
Although chest radiography may reveal cardiomegaly, TEE, cardiac MRI, or CT are best for providing information regarding the location of the lesion, size, attachment, and mobility. MRI is preferred over CT, since detail of the anatomy helps to differentiate myxomas, other benign tumors, and sarcomas.5,6
Macroscopically, typical myxomas are pedunculated, gelatinous, and vary widely in size from 1 to 15 cm in diameter. They produce vascular endothelial growth factor, which contributes to angiogenesis and tumor growth.7
Once a presumptive diagnosis has been made, prompt resection is required due to risk of complications, including sudden death. Surgical management provides immediate relief and has a low perioperative mortality of less than 5%.1 A right mini-thoracotomy approach has shown promising results in terms of postoperative complication rates and lengths of stay.8,9 To prevent complications or recurrence, myxomas need to be resected together with the surrounding healthy cardiac tissue. Approximately 2% to 5% of cases are at risk for recurrence or the development of additional lesions.7 Postoperative recovery is rapid; however, atrial arrhythmias have been reported.10
CONCLUSION
Atrial myxomas are the most common benign cardiac tumor, and risk of recurrence is rare. Surgical resection shortly after diagnosis is recommended due to risk of pulmonary embolization, right heart failure symptoms, and even death. The progression of this patient’s symptoms demonstrates why this approach is ideal, since he developed more symptoms throughout the course of the year from initial presentation to eventual excision.
REFERENCES:
- Choi J, de Costa A, Sabetai MM. Surgical management of a giant right atrial myxoma. J Surg Case Rep. 2018;2018(10):rjy288. doi:10.1093/jscr/rjy288
- Khan H, Chaubey S, Uzzaman MM, et al. Clinical presentation of atrial myxomas does it differ in left or right sided tumor? Int J Health Sci (Qassim). 2018;12(1):59-63.
- Babs Animashaun I, Akinseye OA, Akinseye LI, Akinboboye OO. Right atrial myxoma and syncope. Am J Case Rep. 2015;16:645-647. doi:10.12659/AJCR.894513
- Sanjeev OP, Nath SS, Malviya D, Rajput SS. Right atrial myxoma: unusual location; uncommon association. Ann Card Anaesth. 2018;21(4):437-439. doi:10.4103/aca.ACA_130_17
- Gulati G, Sharma S, Kothari SS, Juneja R, Saxena A, Talwar KK. Comparison of echo and MRI in the imaging evaluation of intracardiac masses. Cardiovasc Intervent Radiol. 2004;27(5):459-469. doi:10.1007/s00270-004-0123-4
- Kaminaga T, Takeshita T, Kimura I. Role of magnetic resonance imaging for evaluation of tumors in the cardiac region. Eur Radiol. 2003;13(suppl 4):L1-L10.
- Gaasch WM, Vander Salm TJ. Cardiac tumors. UpToDate. https://www.uptodate.com/contents/cardiac-tumors. Updated August 28, 2019. Accessed January 17, 2020.
- Bianchi G, Margaryan R, Kallushi E, et al. Outcomes of video-assisted minimally invasive cardiac myxoma resection. Heart Lung Circ. 2019;28(2):327-333. doi:10.1016/j.hlc.2017.11.010
- Spadaccio C, Elkasrawy K, Sutherland FWH. New minimally invasive surgical approach for excision of left atrial myxoma. Gen Thorac Cardiovasc Surg. 2017;65(10):605-608. doi:10.1007/s11748-017-0779-8
- Pinede L, Duhaut P, Loire R. Clinical presentation of left atrial cardiac myxoma: a series of 112 consecutive cases. Medicine (Baltimore). 2001;80(3):159-172. doi:1097/00005792-200105000-00002
