Peer Reviewed
Prolactinoma Mimicking Migraine
Authors:
Breonna E. Holland and Sanjeev K. Sharma, MBBS
Creighton University School of Medicine, Omaha, Nebraska
Citation:
Holland BE, Sharma SK. Prolactinoma mimicking migraine [published online September 4, 2018]. Neurology Consultant.
A 26-year-old man presented to a family medicine clinic for a routine annual physical examination. He had a self-diagnosed history of “migraines with vision changes.”
History. Six weeks before presentation, he reported having experienced a headache with blurry vision that had lasted approximately 1 week. He had considered it a typical migraine and did not seek treatment. Later, he had noticed that his vision was still blurry in the absence of a headache. He had decided to seek treatment when he realized that he could not see to read a restaurant menu.
Physical examination. Physical examination findings were unremarkable, except for complete blindness in the right eye. He was immediately sent for magnetic resonance imaging (MRI) of the brain, and an ophthalmologist was consulted. Upon detailed questioning, the patient reported having polydipsia, nocturia, and fatigue. He denied having decreased libido, erectile dysfunction, galactorrhea, and changes in hat size or shoe size.
Diagnostic tests. Results of the ophthalmology consult revealed 70% vision loss in the left eye, in addition to complete vision loss in the right eye.
MRI results revealed a 5.5-cm solid and cystic mass with multiple fluid levels in the sellar and suprasellar areas, displacing and compressing the optic nerves and optic chiasm (Figures 1-3).

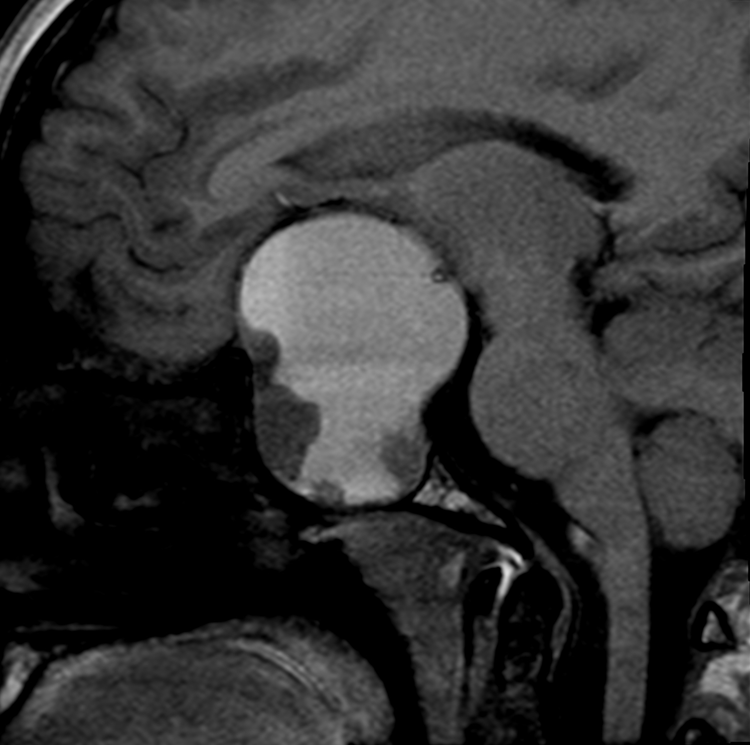
Figure 1. Sagittal precontrast T1-weighted image showing a 5.5-cm cystic and solid mass expanding into the sella. The fluid level in the hyperintense cystic component suggests internal hemorrhage.

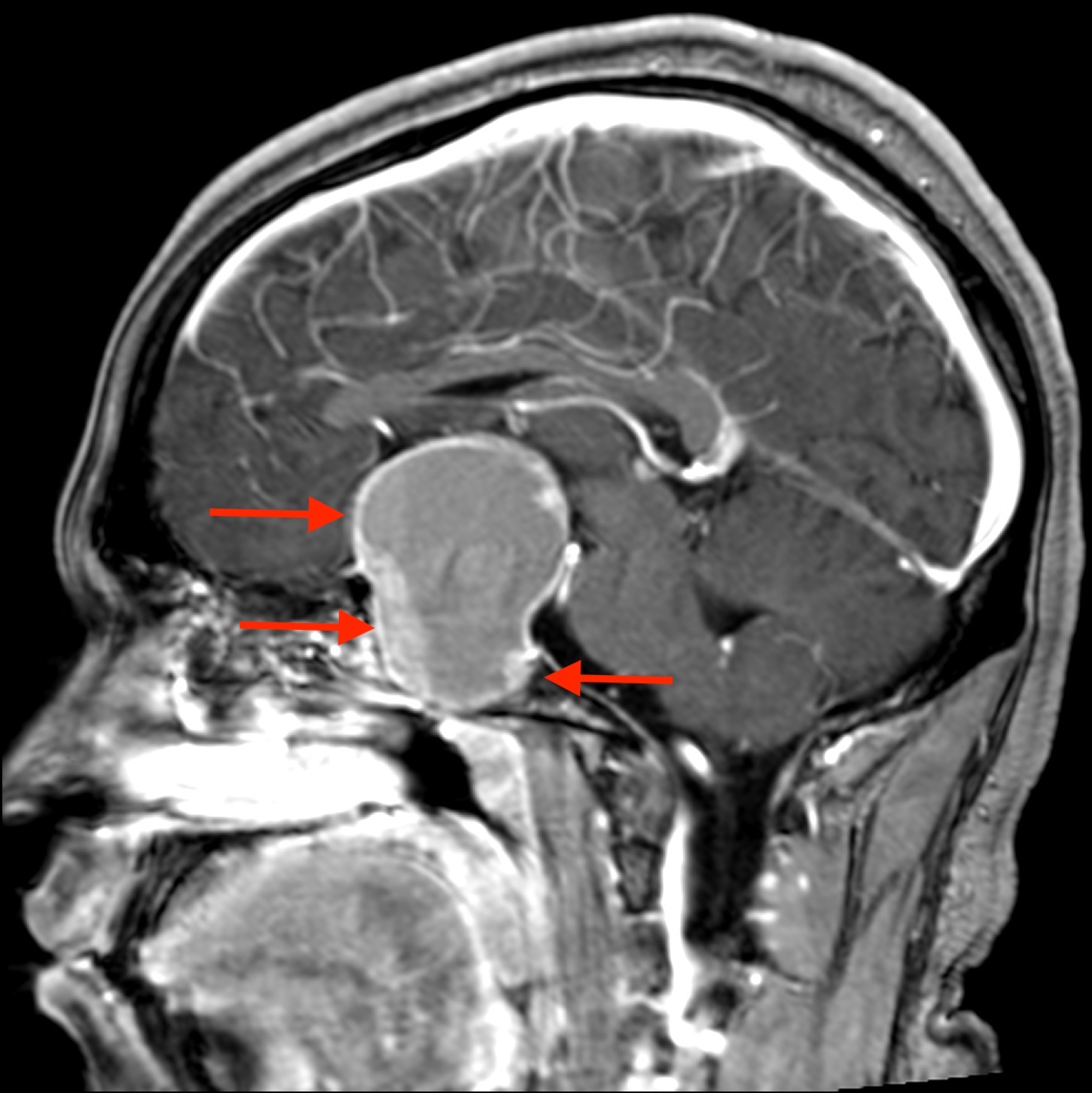
Figure 2. Sagittal postcontrast T1-weighted image showing enhancement of the nodular solid component anteriorly. Arrows indicate loculations of fluid.

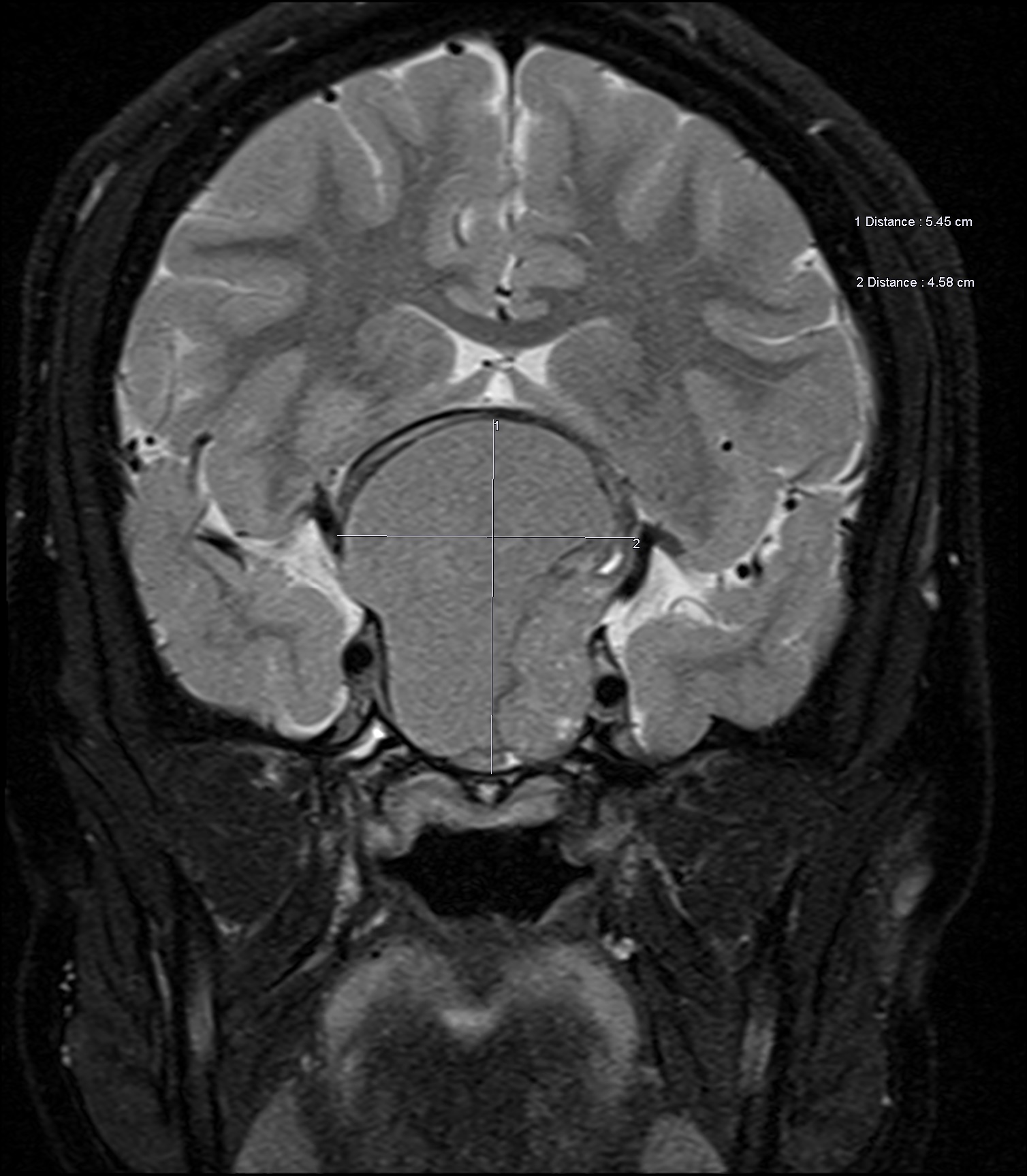
Figure 3. Coronal T2-weighted image showing expansion of the sella and displacement of optic nerves superiorly.
Craniopharyngioma was reported as the most likely neoplasm. Endocrinology laboratory test results were notable for a very high prolactin level (>1000 ng/mL) and low levels of free thyroxine, AM cortisol, luteinizing hormone, and testosterone (Table 1).

Table 1. Endocrine Laboratory Test Results
Diagnosis. The presence of hyperprolactinemia ruled out craniopharyngioma and confirmed a diagnosis of a prolactin-secreting pituitary adenoma, or prolactinoma, with secondary panhypopituitarism and adrenal insufficiency. Due to its size being greater than 4 cm, the patient’s prolactin level being greater than 1000 ng/mL, and the absence of secretion of adrenocorticotropic hormone or growth hormone, the tumor met the qualifications for a giant prolactinoma, a rare subset that accounts for only 2% to 3% of prolactinomas.1
Discussion. The differential diagnosis for sellar mass is extensive (Table 2), and the workup should include imaging and laboratory studies.
Table 2. Differential Diagnosis of Pituitary Neoplasms
MRI of the brain without and with contrast is the imaging technique of choice if a sellar mass is suspected.2 Pituitary adenoma is the most common sellar mass; with an incidence of approximately 1 in 10,000 people per year, it accounts for up to 90% of sellar masses.2,3 Rathke cleft cysts and craniopharyngiomas are the next most common findings, accounting for approximately 4% and 3% of sellar masses, respectively.2 Adenomas are usually homogeneous in signal intensity and isointense or hypointense compared with the surrounding pituitary tissue.2
When adenomas get very large, they may develop heterogeneity that mimics craniopharyngioma on MRI. Characteristics of craniopharyngioma include cystic and solid components, calcifications, and extension into parasellar areas.4 Pituitary adenomas are classified based on size as microadenomas (<1 cm), macroadenomas (>1 cm), or giant adenoma (>4 cm) and based on hormone secretion.3
Laboratory studies should include measurement of hormones secreted by the pituitary gland and those secreted by target organs. Elevation of prolactin, insulinlike growth factor 1, or AM cortisol or 24-hour urine cortisol indicates a functioning adenoma. Decreased levels of adrenal or sex steroids indicate hypopituitarism caused by compression of normal tissue.
Prolactinoma is the most common functioning pituitary tumor.3 Prolactinomas occur most often in 20- to 50-year-old women; however, giant prolactinomas occur 9 times more often in men than in women.1 The classic clinical presentation of pituitary adenoma is with signs and symptoms of hormone excess and vision loss in a pattern of bitemporal hemianopsia. However, nonfunctioning tumors account for up to 50% of adenomas, and many different patterns of vision loss have been reported.5,6 Patients with nonfunctioning tumors present with symptoms of mass effect—-headache, vision abnormality, nausea, papilledema, or hypopituitarism.3 These symptoms may remain clinically silent for years.1,6
Management of pituitary neoplasm is directed by whether or not it is functioning. Medical management is the first line for functioning adenomas, while surgical resection is indicated for nonfunctioning masses.3 For prolactinomas, cabergoline (a dopamine-receptor agonist) therapy should be initiated to decrease prolactin levels and shrink the tumor. Even in giant prolactinomas, cabergoline is more effective than resection and has fewer adverse effects.7 Low levels of adrenal or sex hormones should be treated as part of proper therapy, whether medical or surgical management is planned.6
The Takeaway. Headache is a common reason for patients to seek medical care. This case suggests that any recurrent headache should prompt questions about hormone excess and a detailed eye examination. Symptoms related to excess prolactin, the most common, may be too subtle to draw patients’ attention without questioning by a clinician. Similarly, vision loss due to mass effect may not be noticeable to patients, warranting detailed testing. If these symptoms are present on physical examination, a pituitary workup including MRI and endocrine panel is warranted.
Breonna E. Holland is a medical student and Sanjeev K. Sharma, MBBS, is a professor of family medicine, both at Creighton University School of Medicine in Omaha, Nebraska.
- Maiter D, Delgrange E. Therapy of endocrine disease: the challenges in managing giant prolactinomas. Eur J Endocrinol. 2014;170(6):R213-R227.
- Famini P, Maya MM, Melmed S. Pituitary magnetic resonance imaging for sellar and parasellar masses: ten-year experience in 2598 patients. J Clin Endocrinol Metab. 2011;96(6):1633-1641.
- Jagannathan J, Kanter AS, Sheehan JP, Jane JA Jr, Laws ER Jr. Benign brain tumors: sellar/parasellar tumors. Neurol Clin. 2007;25(4):1231-1249.
- Müller HL. Craniopharyngioma. Endocr Rev. 2014;35(3):513-543.
- Batra R, Toogood A, Jacks AS. Bilateral inferior hemifield visual loss secondary to a pituitary prolactinoma. Can J Ophthalmol. 2017;52(6):220-22
- Penn DL, Burke WT, Laws ER. Management of non-functioning pituitary adenomas: surgery. Pituitary. 2018;21(2):145-153.
- Shimon I, Benbassat C, Hadani M. Effectiveness of long-term cabergoline treatment for giant prolactinoma: study of 12 men. Eur J Endocrinol. 2007;156(2):225-231.
