Peer Reviewed
Pilomatricoma
Authors:
Frederick Hernaez, MD
Graduate, American University of the Caribbean, Sint Maarten
Anne Margaret Hernaez, MS-IV
St. Matthew’s University, Grand Cayman, Cayman Islands
Nida Blankas-Hernaez, MD
Attending Physician, Advocate Lutheran General Hospital, Park Ridge, Illinois; Hospitalist/Consultant, Ann & Robert H. Lurie Children’s Hospital of Chicago, Illinois
Citation:
Hernaez F, Hernaez AM, Blankas-Hernaez N. Pilomatricoma [published online January 25, 2019]. Consultant360.
A 9-year-old boy presented with a neck lump that had been present for 2 months. It had started as a small lump on the left side of the neck and had grown to the size of a quarter over the 2 months. He described the lump as itchy, painless, and solid.
History. The patient denied any trauma, cat scratch, fever, night sweats, weight loss, or sore throat. His history was significant for asthma, chronic urticaria, perennial allergies, and food allergies. He recently had been exposed to a friend’s cat, after which he had developed a rash on his right cheek, watery eyes, and an irritated right eye. He denied any shortness of breath or mouth swelling. He had been given 5 mL of diphenhydramine every 8 hours, which had alleviated the allergy symptoms.
Physical examination. Physical examination findings were significant for conjunctival injection of the right eye with watery discharge, an erythematous patchy rash on the right cheek, and a 1.5 × 1.5-cm nontender nodule with an overlying area of violaceous pigmented skin at the left anterior cervical region.
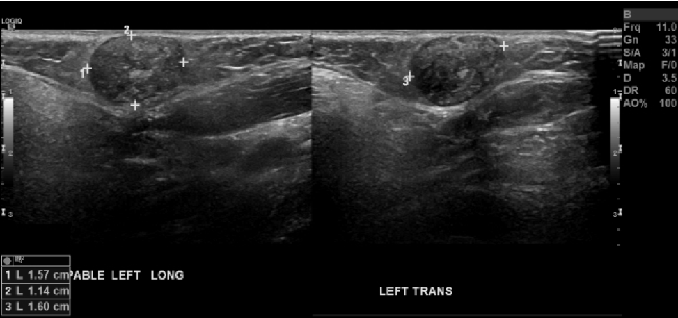
Diagnostic tests. Ultrasonography of the neck was ordered, the results of which showed a spherical, subcutaneous, solid, hypovascular mass measuring 1.6 × 1.1 × 1.6 cm (Figure 1).

Figure 1. Ultrasonogram of the neck showed a spherical, subcutaneous, solid, hypovascular mass measuring 1.6 × 1.1 × 1.6 cm.
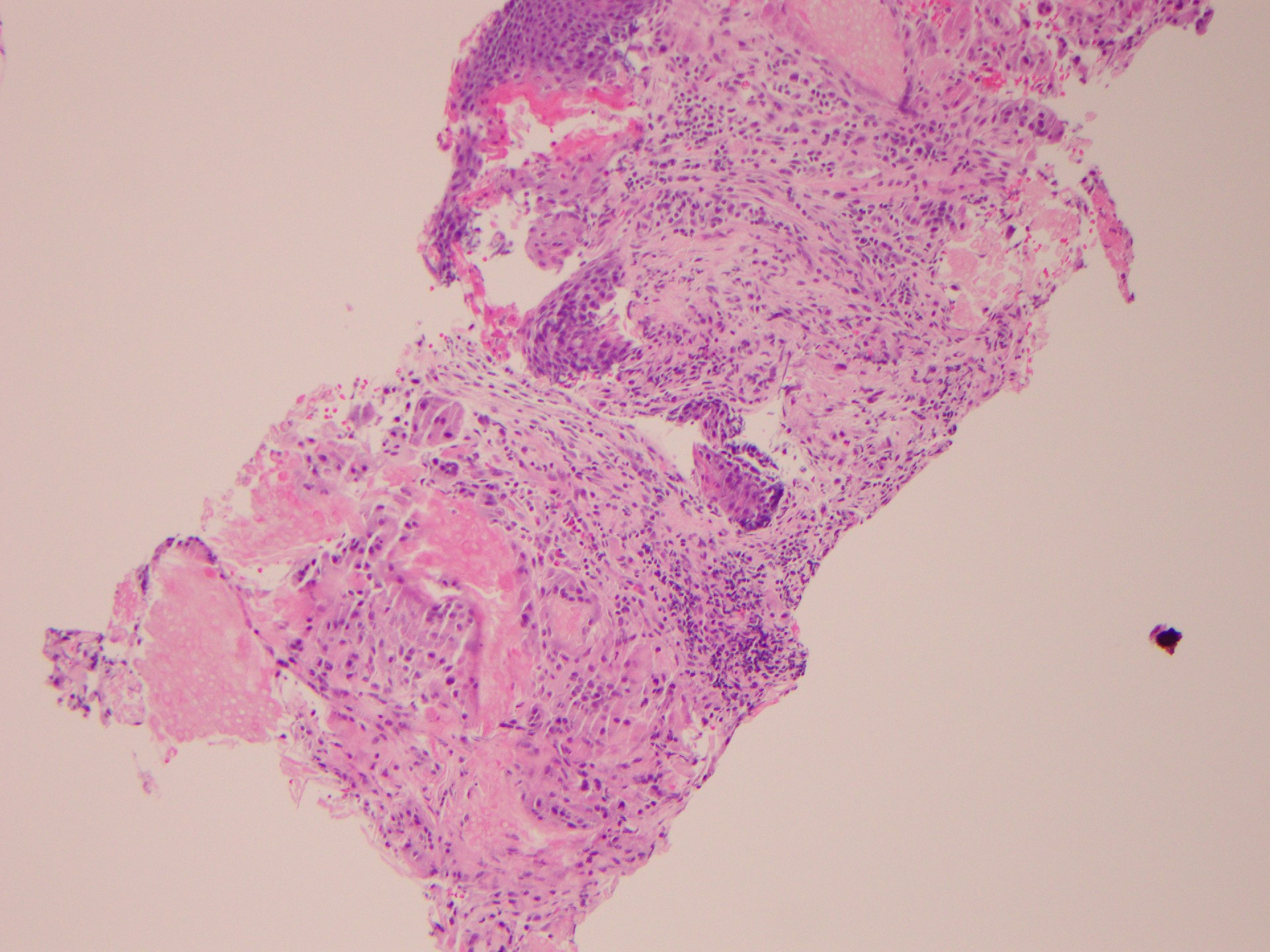
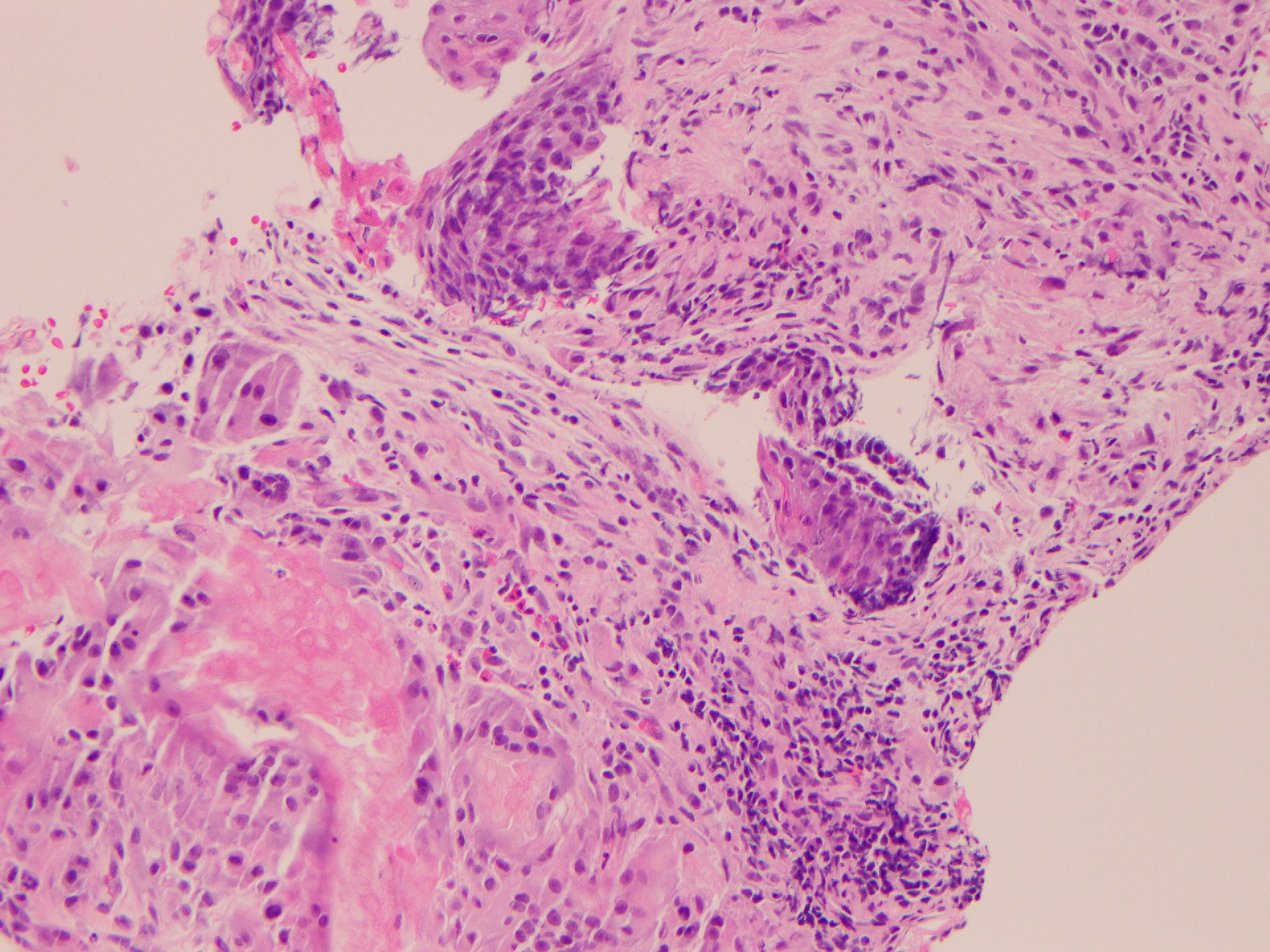
The ultrasound-guided biopsy was negative for malignancy, but the results revealed fragments of pilomatricoma (Figures 2 and 3).


Figures 2 and 3. Anucleated ghost (or shadow) cells with foreign-body reaction at the periphery (hematoxylin-eosin, original magnification ×40).
Outcome of the case. The condition was managed conservatively. At follow-up after 1 month, physical examination revealed that the mass had increased in size to 2 × 2 cm (Figure 4). Thus, surgical excision was recommended and scheduled.

Figure 4. The mass had grown from 1.5 × 1.5 cm to 2 × 2 cm at a 1-month follow-up visit.
Discussion. Pilomatricoma is a benign follicular tumor that typically presents as a well-demarcated, firm, mobile, slow-growing nodule, affecting patients in the first and sixth decades of life.1 Two large retrospective studies of pediatric and adult populations in Spain revealed no significant gender predominance.2,3 However, in a study in the United Kingdom focusing on the pediatric population, the female predominance was 3 to 2, with a maximum peak between 8 and 10 years and an incidence of 1 in 500 to 1 in 2200, making pilomatricoma the second most common benign skin tumor excised in childhood.1
Pilomatricoma was initially called calcifying epithelioma, because it was thought to derive from sebaceous glands. Microscopic studies by Forbis and Helwig in 1961 determined hair-follicle matrix cells to be the origin, and they coined the name pilomatrixoma to describe the condition.4 In the late 1990s, genetic studies found a correlation between nuclear β-catenin staining and β-catenin mutations.5 Immunohistochemical studies, piggybacking off of these findings, found strong nuclear β-catenin staining in matrix cells of normal hair follicles, pilomatricomas, and pilomatrix carcinomas.6 These results support Moreno-Bueno and colleagues6 and Chan and colleagues,5 who attributed pilomatricoma to a mutation in the β-catenin gene of hair-follicle matrix cells together with lymphoid enhancer factor-1 causing unsuppressed β-catenin expression and thus tumor formation.
Most pilomatricomas present as a solitary, slow-growing lesion of the head or neck.2,3,7,8 Atypical presentations in 2% to 3% of recorded cases have included abnormal skin pigmentation, painful inflammation or ulceration of overlying skin, or multiple lesions. A pilomatricoma generally progresses over months or years, but in some cases these lesions have grown rapidly. With no specific clinical presentation, diagnosis was dependent on the classic histology of centrally located ghost (or shadow) cells enclosed by peripheral basaloid cells.9
The poor clinical diagnostic accuracy attributed to the nonspecific presentation and unrecognized imaging features of pilomatricomas has improved. A 2003 retrospective review found that of 179 pilomatricoma cases, only 2 had a correct preoperative diagnosis.10 However, as knowledge of this condition has spread, the diagnosis rate has improved. In a 2006 study of 76 pediatric cases, physicians had a 46.2% diagnostic accuracy.11 In a retrospective study done between 2011 and 2014 in children (age range, 1-14 years), preoperative clinical diagnostic accuracy was 69%, with the top differential diagnoses being cystic lesion and dermoid cyst.12 Although pilomatricomas are clinically similar to these conditions, they are distinguished by ultrasonography findings of a hypoechoic rim (83% correlation), internal reticulations, and calcifications.7 Therefore, consideration and recognition of this differential diagnosis may prevent unnecessary invasive interventions.9
Recommended treatment for pilomatricomas is a total wide excision, which has a good prognosis, but there is still a recurrence rate of as high as 3%.13 It is important to note that most recurrent lesions occur at a different site. Of 126 cases in a 2017 study, there were no recurrences at the same site, but 11 patients had a new lesion at a different site.12 The 2 excision methods, open and endoscopic, have similar complication rates, but an endoscopic approach reduces the risk of the formation of a facial scar.14
In addition to recurrent lesions, cases of malignant transformation into a pilomatrix carcinoma have been reported. A 2017 study found that of 125 cases of pilomatrix carcinoma, 10 cases had a history of confirmed pilomatricoma.15 Incidence of malignancy is more common among persons from 50 to 79 years old, followed by patients younger than 29 years old, and is 3 to 5 times more common in men. This locally aggressive tumor tends to recur in approximately 31% of cases months after excision. Often, it metastasizes to the lung or lymph nodes, but other sites of metastasis have been reported. Pilomatrix carcinomas are difficult to distinguish from a pilomatricoma based on clinical and histologic features.15 The authors of that 2017 study, which assessed preoperative diagnostic accuracy of physicians, found that none of the 20 lesions that were clinically examined were correctly diagnosed.15 Regardless of whether the low prevalence resulted from unfamiliarity with its clinical and histologic features, greater awareness since the 1970s has led to treatment recommendations but no gold standard therapy.15 Treatment is complete excision with margins of 1 to 2 cm and adjuvant radiotherapy followed by chemotherapy.9,15
Summary. Pilomatricomas are benign lesions and are important to include in the differential diagnosis to avoid unnecessary interventions. Clinical diagnosis is difficult given that patients often have no significant medical history. In the case of a pediatric patient with an asymptomatic nodule on the head or neck, pilomatricoma should be in the differential, and distinguishing sonographic features such as a hypoechoic rim should be recognized. Unlike malignant lesions, pilomatricomas have a very good prognosis with total excision, and no additional therapy is needed. However, cases have been reported of recurrence and malignant transformation into a pilomatrix carcinoma, which can clinically mimic a pilomatricoma. If a patient has a history of pilomatricoma with a distal or local recurrence, pilomatrix carcinoma should be considered in the differential diagnosis.
References:
- Julian CG, Bowers PW. A clinical review of 209 pilomatricomas. J Am Acad Dermatol. 1998;39(2 pt 1):191-195.
- Guinot-Moya R, Valmaseda-Castellon E, Berini-Aytes L, Gay-Escoda C. Pilomatrixoma. Review of 205 cases. Med Oral Patol Oral Cir Bucal. 2011;16(4):e552-e555.
- Hernández-Núñez A, Nájera Botello L, Romero Maté A, et al. Retrospective study of pilomatricoma: 261 tumors in 239 patients. Actas Dermosifiliogr. 2014;105(7):699-705.
- Forbis R Jr, Helwig EB. Pilomatrixoma (calcifying epithelioma). Arch Dermatol. 1961;83(4):606-618.
- Chan E, Gat U, McNiff JM, Fuchs E. A common human skin tumour is caused by activating mutations in β-catenin. Nat Gen. 1999;21(4):410-413.
- Moreno-Bueno G, Gamallo C, Pérez-Gallego L, Contreras F, Palacios J. β‐catenin expression in pilomatrixomas. Relationship with β‐catenin gene mutations and comparison with β‐catenin expression in normal hair follicles. Br J Dermatol. 2001;145(4):576-581.
- Bulman JC, Ulualp SO, Rajaram V, Koral K. Pilomatricoma of childhood: a common pathologic diagnosis yet a rare radiologic one. Am J Roentgenol. 2016;206(1):182-188.
- O’Grady RB, Spoerl G. Pilomatrixoma (benign calcifying epithelioma of Malherbe). Ophthalmology. 1981;88(12):1196-1197.
- Kose D, Ciftci I, Harmankaya I, Ugras S, Caliskan U, Koksal Y. Pilomatrixoma in childhood. J Cancer Res Ther. 2014;10(3):549-551.
- Lan M-Y, Lan M-C, Ho C-Y, Li W-Y, Lin C-Z. Pilomatricoma of the head and neck: a retrospective review of 179 cases. Arch Otolaryngol Head Neck Surg. 2003;129(12):1327-1330.
- Kumaran N, Azmy A, Carachi R, Raine PAM, Macfarlane JH, Howatson AG. Pilomatrixoma—accuracy of clinical diagnosis. J Pediatr Surg. 2006;41(10):1755-1758.
- Fernández Atuan R, Álvarez García N, González Ruiz Y, Siles Hinojosa A, Rihuete Heras MA, Elías Pollina J. The diagnosis of pilomatrixoma in children is not as easy as it may seem. A review of 126 cases [in Spanish]. Cir Pediatr. 2017;30(1):46-49.
- Goufman DB, Murrell GL, Watkins DV. Quiz case 2. Arch Otolaryngol Head Neck Surg. 2001;127(2):218.
- Foster D, Sinclair TJ, Taylor JS, Dutta S, Lorenz HP, Bruzoni M. Endoscopic excision of benign facial masses in children: a review of outcomes. J Laparoendosc Adv Surg Tech A. 2018;28(5):617-621.
- Jones C, Twoon M, Ho W, Portelli M, Robertson BF, Anderson W. Pilomatrix carcinoma: 12-year experience and review of the literature. J Cutan Pathol. 2017;45(1):33-38.
