Peer Reviewed
Neck and Shoulder Pain After a Mountain-Biking Fall
Author:
Jason Le, DO
Naval Flight Surgeon for Command Training Air Wing 1 at Naval Air Station Meridian, MississippiCitation:
Le J. Neck and shoulder pain after a mountain-biking fall. Consultant. 2019;59(3):69-70.Disclosure:
The views expressed in this article are those of the authors and do not necessarily reflect the official policy or position of the Department of the Navy, the Department of Defense, or the US Government.
A 26-year-old right-handed man and student naval aviator presented with dull, achy, nonradiating pain at the sternoclavicular (SC) joint and inferior right sternocleidomastoid (SCM). He rated the pain as 2 of 10. He denied numbness, tingling, or weakness of his right upper extremity. He reported a mild decrease in right shoulder range of motion (ROM) due to the pain. The mechanism of injury had been a fall onto his posterior right shoulder after having been flown forward from his mountain bike 2 days ago.
Physical examination showed abrasions on his posterior right shoulder, significant edema of the inferior right SCM and surrounding tissues of the right SC joint, and yellow skin discoloration on the right sternal chest wall. Musculoskeletal and neurovascular examination findings of the neck and shoulders were otherwise normal except for difficulty getting the right shoulder abduction to 180°, as well as decreased neck ROM in left rotation and right side-bending due to pain.
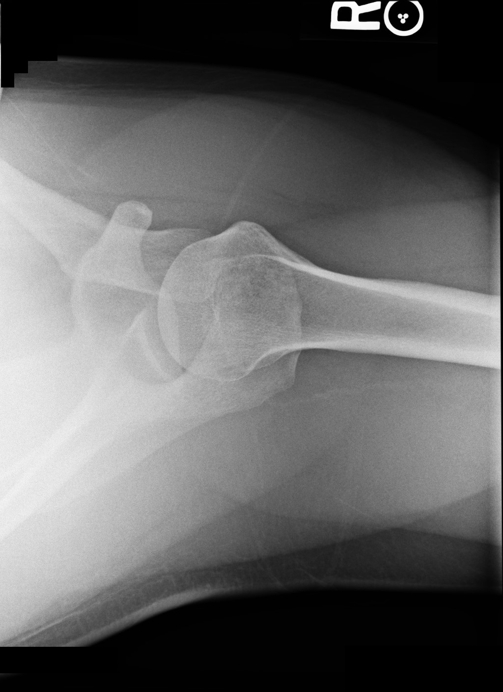
Radiographs of the right shoulder were taken (Figures 1-3).

Figure 1. Anteroposterior view of right shoulder, internal rotation.
Figure 2. Anteroposterior view of right shoulder, external rotation.
Figure 3. Scapular Y view of right shoulder.Based on the history, physical examination findings, and radiographs, which one of the following is the most likely diagnosis?
A. SC joint dislocation
B. Cervical strain
C. Clavicle fracture
D. SC joint strain
ANSWER ON NEXT PAGE
