Peer Reviewed
Metronidazole-Induced Encephalopathy From Prophylactic Treatment of an Infected Abdominal Mesh
AUTHORS:
Tanwe C. Shende, MS
University of Arizona Health Sciences Center, Tucson, Arizona
Nadia Nunes Cavalcante, MD
University of Arizona Health Sciences Center, Tucson, Arizona
Ryan Wong, MD
University of Arizona Health Sciences Center, Tucson, Arizona
Patricia Ritz, PharmD
Southern Arizona VA Health Care System, Tucson, Arizona
Craig Brown, MD
Southern Arizona VA Health Care System, Tucson, Arizona
CITATION:
Shende TC, Cavalcante NN, Wong R, Ritz P, Brown C. Metronidazole-induced encephalopathy from prophylactic treatment of an infected abdominal mesh [published online December 17, 2019]. Consultant360.
Metronidazole is a commonly used antibiotic and antiprotozoal medication that is effective against trichomoniasis, amebiasis, and intra-abdominal and gynecologic infections caused by anaerobic bacteria.1 Common adverse effects include nausea, diarrhea, weight loss, abdominal pain, vomiting, dizziness, and headaches. In rare cases, its use can cause metronidazole-induced encephalopathy (MIE).2 Patients with MIE usually present with peripheral neuropathy, which occasionally can progress to cerebellar and brainstem deficits, encephalopathy, or seizures.3,4 The diagnosis of MIE is challenging. We present a case of MIE in a patient with a complex medical history who presented with mixed neurologic and psychiatric changes.
CASE PRESENTATION
A 69-year-old man presented with worsening lower-extremity numbness. He had a history of Crohn disease and ulcerative colitis, complicated by enterocutaneous fistula, total colectomy and end ileostomy with ventral and parastomal hernia mesh repairs, as well as uncontrolled type 2 diabetes mellitus. Over the course of a month, his stable lower-extremity neuropathy of 18 years had progressed up his lower legs, resulting in multiple falls. He had increased his dose of gabapentin from 300 mg 3 times a day to 1200 mg 3 times a day without relief. During the month prior to admission, he had become hyperverbose. He had been prescribed metronidazole, 500 mg 3 times a day, for the past 4 months for prophylactic treatment of his enterocutaneous fistula.
On physical examination, the patient was hemodynamically stable, with bilateral lower-extremity sensation deficits to light touch. He had tea-colored urine (Figure 1).

Figure 1. The patient’s tea-colored urine 4 days after metronidazole discontinuation.
Initial laboratory test results included the following values: white blood cell count, 11,200/µL (reference range, 4500-11,000/µL); hemoglobin, 9.6 g/dL (reference range, 14-16 g/dL); aspartate aminotransferase, 124 U/L (reference range, 15-45 U/L); alanine aminotransferase, 59 U/L (reference range, 5-40 U/L); total bilirubin, 4.0 mg/dL (reference range, 0.1-1.2 mg/dL); alkaline phosphatase, 171 U/L (reference range, 40-125 U/L); international normalized ratio, 1.3 (reference range, 1.0-1.1); and partial thromboplastin time, 46.5 seconds (reference range, 12.1-14.2 seconds).
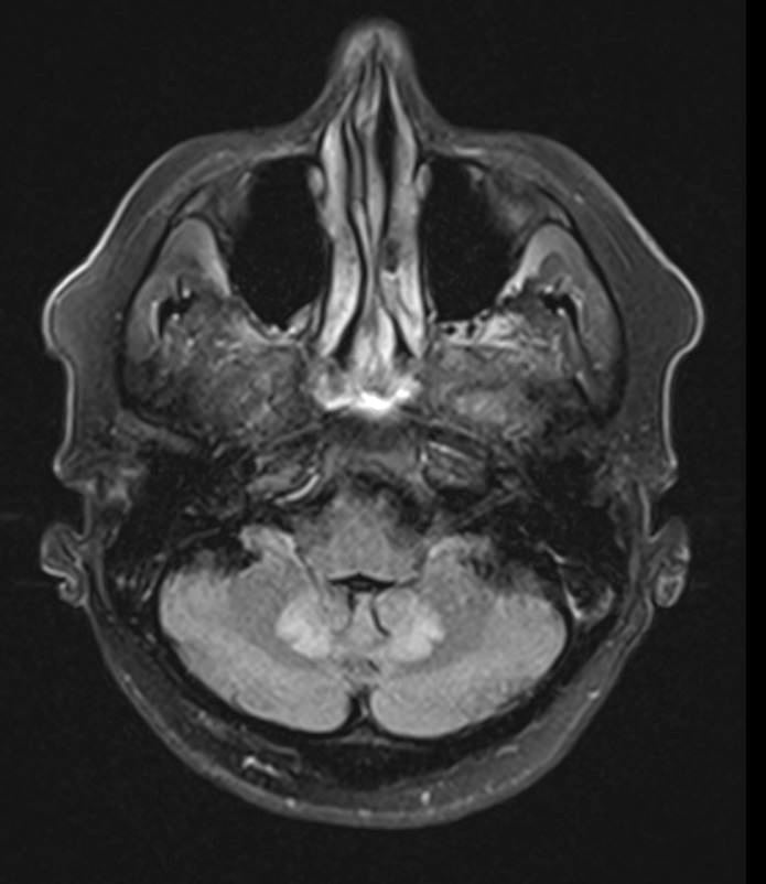
A computed tomography (CT) scan showed an age-indeterminant lacunar infarct in the pons. For diagnostic clarity, magnetic resonance imaging (MRI) of the brain was ordered, the results of which showed symmetric increased T2-weighted fluid-attenuated inversion recovery (FLAIR) signal within the dentate nucleus, periaqueductal gray, tectum, red nucleus, and splenium of the corpus collosum, consistent with toxic acquired metabolic encephalopathy (Figures 2 and 3).

Figure 2. Increased T2-FLAIR MRI signal involving the periaqueductal gray and dentate nucleus.

Figure 3. Symmetric Increased T2-FLAIR MRI signal along the splenium.
The metronidazole was discontinued, and his gabapentin dosage was reduced to his original home dose of 300 mg 3 times a day. He continued to experience neuropathy and temperature sensitivity while exhibiting pressured speech with flight of ideas.
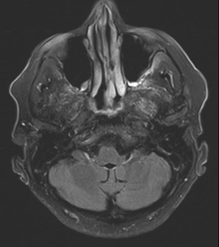
After 3 days, the patient’s condition began to improve, and on day 5, the color of his urine returned to normal. Upon discharge, the man’s psychiatric symptoms resolved, although the neuropathic symptoms persisted. At 4 months’ follow-up, brain MRI showed resolution of abnormal findings (Figures 4 and 5). The patient and his wife both reported that he had no more psychiatric symptoms; however, his baseline peripheral neuropathy, similar to that seen at discharge, had persisted.

Figure 4. Resolution of increased T2-FLAIR signal described in Figure 2, 4 months after discontinuation of metronidazole.

Figure 5. Resolution of increased T2-FLAIR signal described in Figure 3, 4 months after discontinuation of metronidazole.
DISCUSSION
This patient presented neurologic and psychiatric symptoms associated with MIE. Based on the Naranjo Adverse Drug Reaction Probability Scale,5 our patient had a “probable” metronidazole-related adverse drug reaction. This suggests that the clinical course followed a reasonable temporal sequence after the medication was introduced, followed a recognized response to the drug, was confirmed by withdrawal from but not by exposure to the drug, and could not be reasonably explained by the known characteristics of the patient’s clinical state. However, this patient had many risk factors predisposing him to complications, including the duration of therapy, cumulative dosing, and liver dysfunction.
One systematic review showed that symptoms develop at an approximate median time of 15 days (range, 1 to 90 days) after taking metronidazole or with an average cumulative dose of 93.4 g (range: 0.25 to 1095 g).6 Our patient had been taking metronidazole for 115 continuous days, with total exposure of 172.5 g—well above values reported to be associated with symptoms of neurotoxicity. This dosing likely was exacerbated by his liver dysfunction, given that 30% to 60% of metronidazole is metabolized by the liver.1 Coexisting liver dysfunction with large amounts of metronidazole explain the patient’s dark urine (Figure 1).7 The exact mechanism of urine discoloration is thought to be from an azometabolite but lacks other clinical significance.7,8
Generally, the initial presentation of MIE is vague. In a systematic review, Sørensen and colleagues reported that the most common symptoms of MIE in 135 cases were dysarthria (63%), gait instability, limb dyscoordination, encephalopathy, and polyneuropathy.9 Roy and colleagues found that MRI findings of symmetric T2-weighted or FLAIR hyperintensities with minimal T1-weighted hypointensity in areas of the cerebellar dentate nucleus, midbrain/periaqueductal region, splenium, dorsal pons, medulla, inferior colliculus, subcortical white matter, basal ganglia, thalamus, and middle cerebellar peduncles, in decreasing order of frequency, were highly specific for MIE.10 Abnormality of the cerebellar dentate nucleus was the most specific.10
Toxicity is thought to result from high extracellular drug concentrations causing oxidation of catecholamine derivatives and resulting in superoxide radicals and increased water content and axonal swelling.11,12 Results of investigations in rat models suggest that changes in brain monoamines that bind to neuronal RNA contribute to neurologic abnormalities; however, the exact mechanism remains unclear.13,14 These changes in neurochemistry help to explain the neurologic and psychologic disturbances in our patient’s case. Metronidazole withdrawal improves symptoms with varying degrees and corresponds to normalization of subsequent MRIs as demonstrated in our patient.15
CONCLUSION
Metronidazole is a commonly used medication. Clinicians need to maintain a high index of suspicion for MIE and peripheral neuropathy, especially if patients have been taking the medication for an extended period, have amassed a high cumulative dose, or have hepatic dysfunction. Our patient’s case illustrates the importance of monitoring for drug toxicities to avoid harmful adverse effects.
- Flagyl [package insert]. New York, NY: Pfizer; July 2018. http://labeling.pfizer.com/ShowLabeling.aspx?id=570. Accessed December 17, 2019.
- Kusumi RK, Plouffe JF, Wyatt RH, Fass RJ. Central nervous system toxicity associated with metronidazole therapy. Ann Intern Med. 1980;93(1):59-60. doi:10.7326/0003-4819-93-1-59
- Clements A. Case report of metronidazole-induced encephalopathy. WMJ. 2017;116(5):221-22
- Sørensen CG, Karlsson WK, Amin FM, Lindelof M. Convulsive seizures as presenting symptom of metronidazole-induced encephalopathy: a case report. Case Rep Neurol. 2018;10:34-37. doi:10.1159/000485915
- Naranjo CA, Busto U, Sellers EM, et al. A method for estimating the probability of adverse drug reactions. Clin Pharmacol Ther. 1981;30(2):239-24 doi:10.1038/clpt.1981.154
- Kuriyama A, Jackson JL, Doi A, Kamiya T. Metronidazole-induced central nervous system toxicity: a systematic review. Clin Neuropharmacol. 2011;34(6):241-247. doi:10.1097/WNF.0b013e3182334b35
- Geeting GK, Roberts JR. Urine discoloration secondary to metronidazole. Am J Emerg Med. 2001;19(4):322. doi:10.1053/ajem.2001.24509
- Bruce TA. Dark urine related to metronidazole therapy. JAMA. 1971;218(12):1832. doi:10.1001/jama.1971.03190250058033
- Sørensen CG, Karlsson WK, Amin FM, Lindelof M. Metronidazole-induced encephalopathy: a systematic review [published online December 7, 2018]. J Neurol. doi:10.1007/s00415-018-9147-6
- Roy U, Panwar A, Pandit A, Das SK, Joshi B. Clinical and neuroradiological spectrum of metronidazole induced encephalopathy: our experience and the review of literature. J Clin Diagn Res. 2016;10(6):OE01-OE9. doi:7860/JCDR/2016/19032.8054
- Frasca D, Dahyot-Fizelier C, Adier C, et al. Metronidazole and hydroxymetronidazole central nervous system distribution: 1. microdialysis assessment of brain extracellular fluid concentrations in patients with acute brain injury. Antimicrob Agents Chemother. 2014;58(2):1019-1023. doi:10.1128/AAC.01760-13
- Rao DN, Mason RP. Generation of nitro radical anions of some 5-nitrofurans, 2- and 5-nitroimidazoles by norepinephrine, dopamine, and serotonin. A possible mechanism for neurotoxicity caused by nitroheterocyclic drugs. J Biol Chem. 1987;262(24):11731-11736.
- Karamanakos PN, Pappas P, Boumba VA, et al. Pharmaceutical agents known to produce disulfiram-like reaction: effects on hepatic ethanol metabolism and brain monoamines. Int J Toxicol. 2007;26(5):423-432. doi:10.1080/10915810701583010
- Bradley WG, Karlsson IJ, Rassol CG. Metronidazole neuropathy. Br Med J. 1977;2(6087):610-611. doi:10.1136/bmj.2.6087.610
- Kim E, Na DG, Kim EY, Kim JH, Son KR, Chang KH. MR imaging of metronidazole-induced encephalopathy: lesion distribution and diffusion-weighted imaging findings. AJNR Am J Neuroradiol. 2007;28(9):1652-1658. doi:10.3174/ajnr.A0655
