Pop Quiz
Pop Quiz
11/02/2021
In FIGARO-DKD, the primary outcome measure is a composite of death from cardiovascular causes, nonfatal myocardial infarction, nonfatal stroke, or hospitalization for heart failure. Of these outcomes, do...
11/02/2021
Diagnosis
Diagnosis
10/07/2021
How well do you know the GFR categories set forth by the KDIGO 2012 guidelines? Take our pop quiz to test your knowledge!
10/07/2021
cardiovascular disease
cardiovascular disease
10/04/2021
According to the FIDELIO-DKD trial, do you know finerenone’s impact on incidence of the composite cardiovascular outcome? Test your knowledge with our latest pop quiz!
10/04/2021
Pop Quiz
Pop Quiz
04/25/2021
Do you know how long abnormal kidney structure or function should be present before a patient is diagnosed with chronic kidney disease? Test your knowledge with our latest pop quiz!
04/25/2021
Radiology Quiz
Radiology Quiz
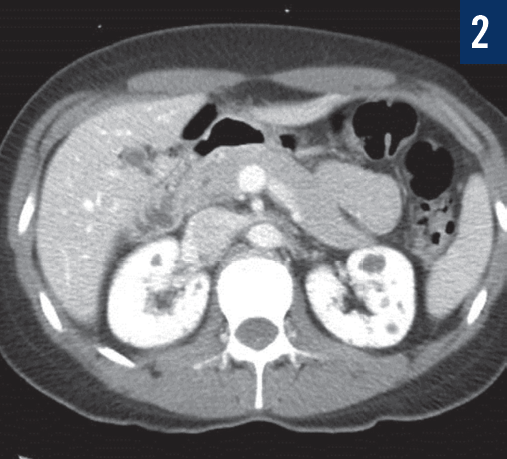
06/22/2020
Ricky Kortyna, MMS, PA-C; Emily Murphy, MPAS, PA-C
A 36-year-old woman was seen in the emergency department secondary to the acute onset of right lower-quadrant pain.
06/22/2020
Abdominal Pain
Abdominal Pain
03/02/2020
We present the case of a A 35-year-old man who presented with moderate to severe, constant right-sided abdominal pain. Can you make the diagnosis and treat the patient?
03/02/2020
Urology
Urology
07/10/2018
Listen to the podcast with Andrew Meltzer, MD, about current guidelines for ureteral stones. Then take this quiz to see what you've learned!
07/10/2018