What's the Take Home?
What's the Take Home?
03/12/2020
Ronald N. Rubin, MD
A 33-year-old woman presented with palpitations of several months’ duration. She reported having the sensation of a racing heartbeat very frequently on most days. The sensations occurred at rest and during...
03/12/2020
Photoclinic
Photoclinic
03/05/2020
Osama Mukarram, MD; Ahmed Khan, MD; Mary Mok, MD; Adnan Haider, MD
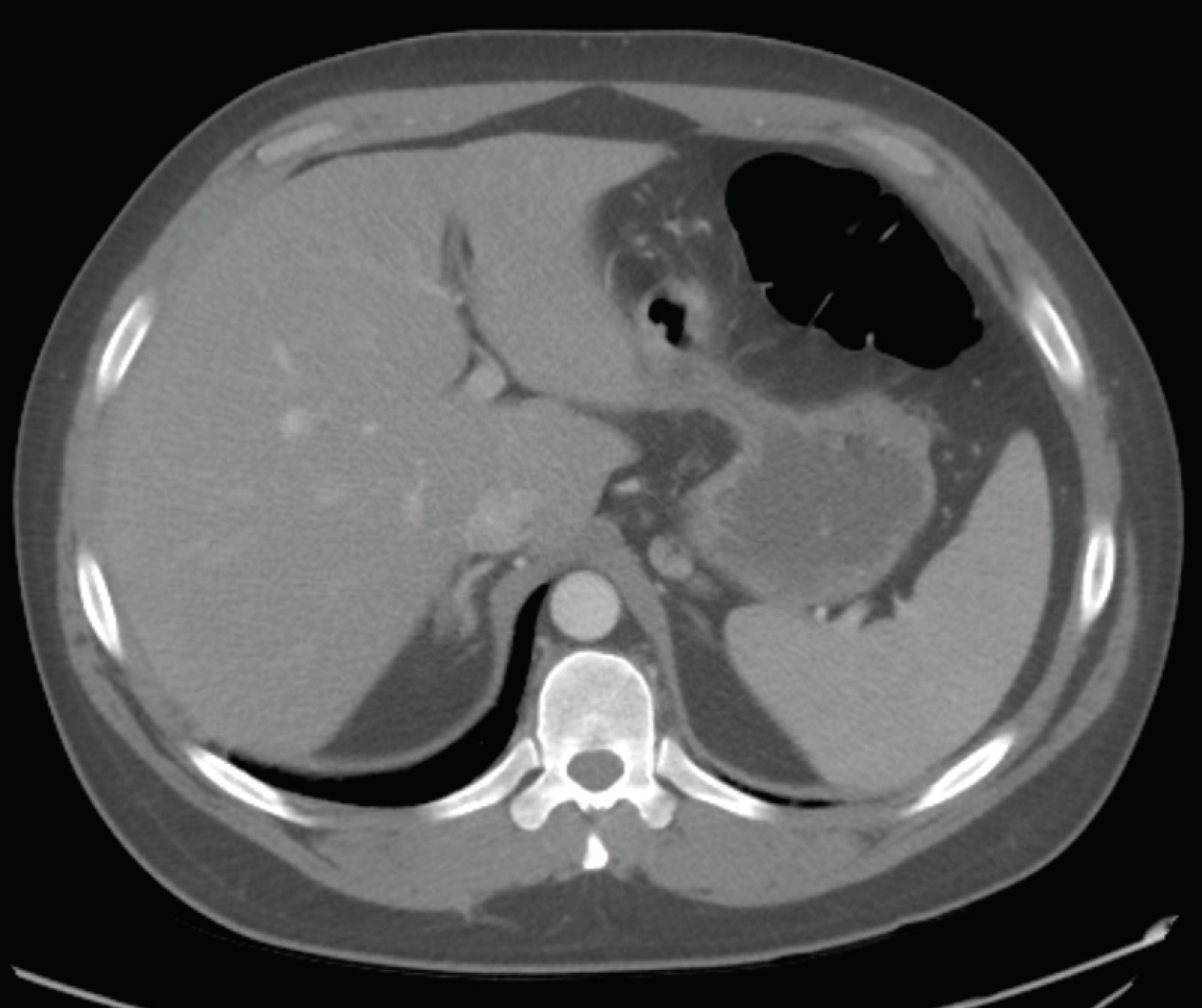
A 33-year-old man presented with bilateral flank pain associated with nausea and vomiting 10 days after having undergone an uncomplicated laparoscopic cholecystectomy. He denied having had fever, chills,...
03/05/2020
Photoclinic
Photoclinic
02/20/2020
A 72-year-old woman presented with increased somnolence and worsening jaw pain. She had noted associated decreased appetite, weight loss, fatigue, abdominal pain, and severe constipation over the past 2...
02/20/2020
Photoclinic
Photoclinic
02/20/2020
A 72-year-old woman presented with increased somnolence and worsening jaw pain. She had noted associated decreased appetite, weight loss, fatigue, abdominal pain, and severe constipation over the past 2...
02/20/2020
Diabetes Q&A
Diabetes Q&A
01/20/2019
In this Diabetes Q&A, Laura Hollar, MD, and Kim A. Carmichael, MD, discuss the advantages and use of ultralong-acting and ultrafast-acting insulins for patients with diabetes.
01/20/2019
Diabetes Q&A
Diabetes Q&A
10/12/2018
In this Diabetes Q&A, Kim A Carmichael, MD, discusses diabetic gastroparesis, its common clinical manifestations and complications, as well as management of the condition.
10/12/2018
Photoclinic
Photoclinic
08/13/2018
A 34-year-old woman presented with a history of bilateral galactorrhea for the past 4 years. She also reported having amenorrhea and chronic low-grade persistent headache.
08/13/2018
Diabetes
Diabetes
08/01/2018
Kevin Davidson, MD; Rebecca Bialas, MD, MPH
A woman with history of pustular psoriasis, type 2 diabetes mellitus, and hypertension presented to the hospital with sternal swelling and pain.
08/01/2018
Endocrinology
Endocrinology
07/30/2018
07/30/2018
Diabetes
Diabetes
10/23/2017
Sumeet Sekhon, MD; Mohsen Saadat, DO
A 47-year-old man visited an outpatient clinic for a routine follow-up visit for his chronic health conditions, including a recent ischemic cardiovascular accident, systolic congestive heart failure,...
10/23/2017