From the Journal

Feature
Feature
06/05/2018
Allergic rhinitis can vary in presentation, severity, and precipitants. Early effective treatment improves quality of life and can reduce the occurrence of sleep disorders, learning disabilities, and asthma...
06/05/2018
Feature
Feature
06/05/2018
Allergic rhinitis can vary in presentation, severity, and precipitants. Early effective treatment improves quality of life and can reduce the occurrence of sleep disorders, learning disabilities, and asthma...
06/05/2018
Feature
Feature
06/05/2018
Allergic rhinitis can vary in presentation, severity, and precipitants. Early effective treatment improves quality of life and can reduce the occurrence of sleep disorders, learning disabilities, and asthma...
06/05/2018
Photoclinic
Photoclinic
06/04/2018
A 14-year-old boy presented to the clinic with a sore throat, which was diagnosed as streptococcal pharyngitis and treated appropriately. However, he was also concerned about a bump on his left elbow that...
06/04/2018
Photoclinic
Photoclinic
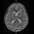
05/23/2018
Pediatric spinal glioblastoma is an extremely rare diagnosis with a poor prognosis. Spinal cord tumors comprise less than 1% of pediatric central nervous system tumors, most of which are ependymomas and...
05/23/2018
Photoclinic
Photoclinic
04/26/2018
Testicular torsion is a suddenly occurring rotation of a testis about its axis.
04/26/2018
Photoclinic
Photoclinic
04/20/2018
Ear malformations can be isolated defects or can be associated with other anomalies. Congenital atresia of the auricle, or microtia, impairs the functionality of the external auditory canal and the ossicles...
04/20/2018
Photoclinic
Photoclinic
01/19/2018
Neonatal mastitis is a rare complication of physiological breast hypertrophy in the newborn period.
01/19/2018
Photoclinic
Photoclinic
01/15/2018
A newborn boy, born to a 21-year-old gravida 2, para 2 mother with a history of tobacco use in our buprenorphine treatment program, was admitted to a level 2 nursery for continuous monitoring and drug...
01/15/2018
Case in Point
Case in Point
12/11/2017
A 4-year-old girl presented with vomiting for 2 days.
12/11/2017