From the Journal

What's the Take Home?
What's the Take Home?
11/23/2020
An 18-year-old boy has collapsed during a football practice. He is a high-school varsity player in a Southern city, and he has been attending the late summer (last 2 weeks in August) obligatory practices...
11/23/2020
Photoclinic
Photoclinic
05/13/2020
A 3-week-old girl was brought to the clinic with a 2-day history of a scalp swelling. There had been no noticeable change in the size of the swelling or its location since its discovery. The swelling did...
05/13/2020
Photoclinic
Photoclinic
05/06/2020
A 7-year-old previously healthy and active boy without comorbidities presented to the pulmonary clinic with a 6-month history of dry cough, recurrent left lower lobe pneumonia, and limited physical...
05/06/2020
Photoclinic
Photoclinic
04/01/2020
A 5 ½-month-old girl was referred to the pediatric emergency department by her primary care provider (PCP) for a temperature of 39.2°C. The infant’s mother had taken her to the PCP for evaluation of fever...
04/01/2020
Case In Point
Case In Point
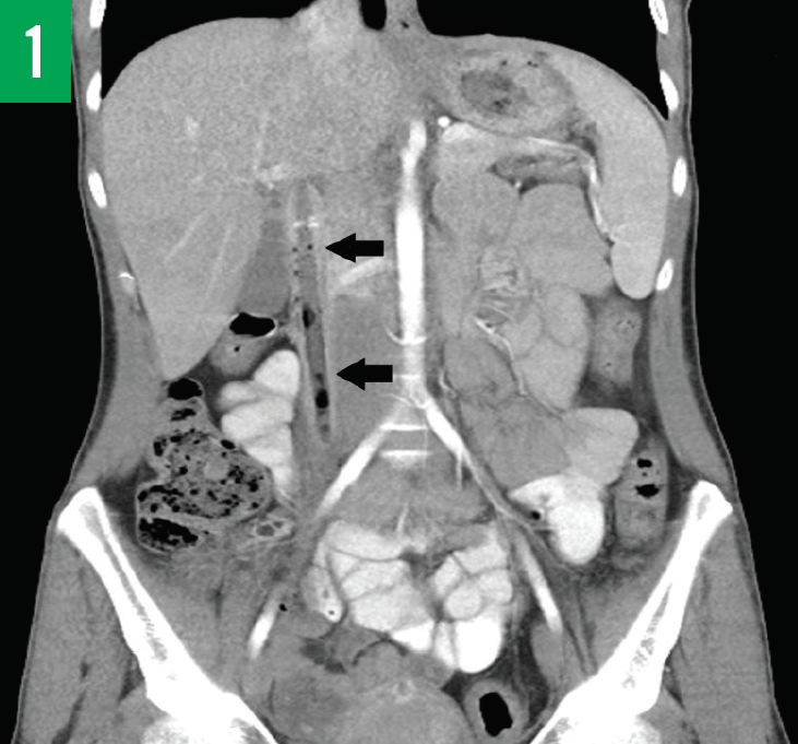
02/20/2020
Fadi G. Haddad, MD; Mayurathan Kesavan, MD; Vivek Gumaste, MD; Stephen Mulrooney, MD
Upper endoscopy revealed a cylindrical plastic object with one end embedded in a shallow linear 4-cm ulcer along the base of the duodenal bulb.
02/20/2020
Photoclinic
Photoclinic
01/24/2020
A 15-month-old thriving girl presented after having cried all night; in the morning, she did not want to stand on her right lower extremity or walk.
01/24/2020
Photoclinic
Photoclinic
12/20/2019
At a clinic in the East African country of Tanzania, a 4-year-old boy presented for evaluation of scrotal swelling. The boy appeared underweight and stunted. He had been of normal weight until 4 months of...
12/20/2019
Photoclinic
Photoclinic
11/25/2019
A 22-month-old girl presented to the pediatric clinic with a 2-month history of a pruritic rash that had started on her chest and had spread down her left arm. She had no known sick contacts and had no...
11/25/2019
Pediatrics
Pediatrics
11/01/2019
A 3-week-old neonate, born at 37 3/7 weeks’ gestational age, presented to our clinic after 5 days of projectile, nonbilious emesis and poor weight gain.
11/01/2019
Photoclinic
Photoclinic
09/30/2019
In case 1, an otherwise healthy 15-year-old girl presented to an outpatient clinic with concern for right upper eyelid swelling, irritation, and tenderness. In case 2, a 5-year-old boy presented to an...
09/30/2019