Volume 57 - Issue 2 - February 2017

Consultant

Photoclinic
Photoclinic
03/05/2020
Osama Mukarram, MD; Ahmed Khan, MD; Mary Mok, MD; Adnan Haider, MD
A 33-year-old man presented with bilateral flank pain associated with nausea and vomiting 10 days after having undergone an uncomplicated laparoscopic cholecystectomy. He denied having had fever, chills,...
03/05/2020
Abdominal Pain
Abdominal Pain
02/13/2020
Alan Lucerna, DO; James Espinosa, MD; Nicholas Tomasello, DO; Victor Scali, DO
A previously healthy 34-year-old woman with no past surgical history presented to the emergency department reporting abdominal pain.
02/13/2020
DermClinic
DermClinic
12/04/2018
David L. Kaplan, MD
This 50-year-old woman presented for evaluation of asymptomatic but persistent discoloration on her arms of 2 months’ duration.
12/04/2018
02/25/2017
Joe R. Monroe, PA-C, MPAS, PA
A 45-year-old man presented to a dermatology clinic for evaluation of lesions around his eyes.
02/25/2017
02/10/2017
Shailendra K. Saxena, MD, PhD; Geetha Samuel, MD; Anand Desai, MD, MBA
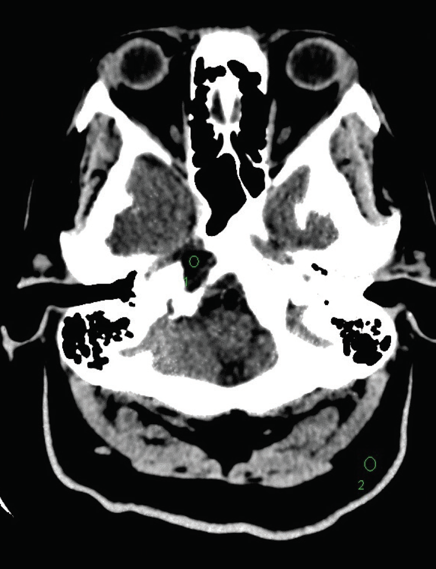
A 56-year-old woman presented with subjective right-sided numbness and paresthesias in the upper and lower extremities, along with fatigue and dizziness.
02/10/2017
Atopic Dermatitis
Atopic Dermatitis
02/09/2017
Benjamin Barankin, MD, FRCPC; Alexander K.C. Leung, MD, MBBS, FRCPC, FRCP
A gravida 4, para 3, 36-year-old woman presented with a 3-month history of a bilateral pruritic eruption on her nipples and areolae.
02/09/2017
Guest Commentary
Guest Commentary
02/07/2017
Dean G. Gianakos, MD, FACP
There are things physicians can do to reduce the stress in their lives such as breathe deeply, exercise, find a life coach, and smile and laugh more.
02/07/2017
Case In Point
Case In Point
02/07/2017
Vinh-Quang Do Nguyen, DO; Aftab Mahmood, MD; Michael Caberto, DO
Angiosarcomas are rare malignant vascular tumors that account for 1% to 2% of all sarcomas.
02/07/2017
02/07/2017
Ronald N. Rubin, MD
A 17-year-old Texas athlete died after collapsing due to heart complications during a football game.
02/07/2017
02/07/2017
This article collects 4 photo-based case reports about conditions with dermatologic manifestations, including keratosis follicularis, tinea pedis, rosacea, and tuberous sclerosis complex.
02/07/2017
Photo Quiz
Photo Quiz
02/07/2017
Schield Wikas, DO; Stephanie Juliet Campbell, DO; Monte Fox, DO
Apocrine hidrocystomas (Moll gland cysts, cystadenomas, or sudoriferous cysts) are rare benign cystic adenomas of the sweat gland.
02/07/2017
Vascular Disease
Vascular Disease
02/07/2017
Michelle Kurian Solik, MS, MD; Laurel Fick, MD
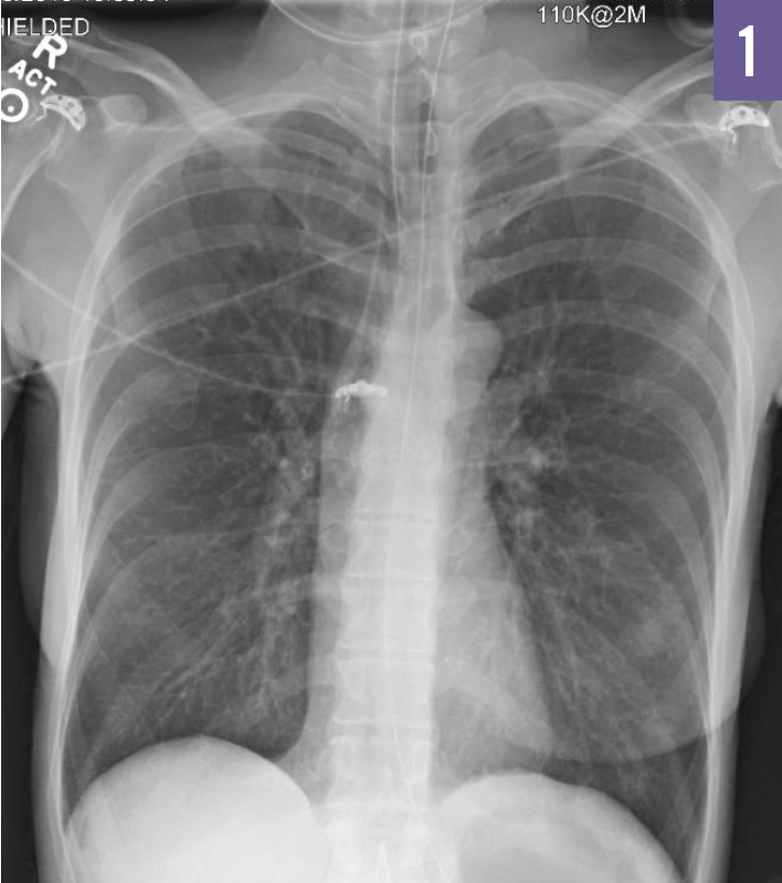
In August 2015, a 51-year-old woman presented to the emergency department after having been evaluated by her primary care physician.
02/07/2017
02/07/2017
Alexander K.C. Leung, MD, MBBS, FRCPC, FRCP; Benjamin Barankin, MD, FRCPC
Palisaded encapsulated neuroma, also known as solitary circumscribed neuroma, is a distinctive variant of cutaneous neuroma.
02/07/2017
02/07/2017
David L. Kaplan, MD
This 37-year-old woman presented for a second opinion about a 1-year history of intractable pruritus that had failed to respond to any treatment.
02/07/2017
Peer Reviewed
Peer Reviewed
02/07/2017
David L. Kaplan, MD
This 28-year-old man presented for evaluation of an enlarging pruritic patch on his arm that had developed over a 4-month period.
02/07/2017
Osteoarthritis
Osteoarthritis
02/07/2017
Eric A. Dietrich, PharmD, BCPS; Kyle Davis, PharmD, BCPS
Nonsteroidal anti-inflammatory drugs (NSAIDs) are used for the treatment of mild to moderate pain.
02/07/2017
02/07/2017
Jimmy Nguyen, RRT; Jason Y. Adams, MD, MS; Nicholas J. Kenyon, MD, MAS; Brooks Thomas Kuhn, MD, MAS
Invasive mechanical ventilation is a lifesaving intervention for critically ill patients who are in respiratory failure due to a wide variety of etiologies.
02/07/2017
Gastroenterology
Gastroenterology
02/07/2017
Patricia G. Kruszewski, DO; Elizabeth A. Erwin, MD
Eosinophilic esophagitis (EoE) is a chronic condition related to food antigen exposure in the esophagus.
02/07/2017
Primary Care
Primary Care
02/07/2017
Daniel R. Mead, MSN, APRN, NP-C; Rachel C. Dana, MSN, RN; Catherine A. Carson, MSN, APRN, NP-C
Individuals in the LGBTQ population have complex factors that affect their access to health care.
02/07/2017
Review Article
Review Article
02/07/2017
Syed A.A. Rizvi, PhD, MBA; Pwint Phyu, MD; Rhaisa Dumenigo, MD; Juan D. Oms, MD; Luxhman Gunaseelan, MS; Golbon Foroughi, MS-IV
A woman with a history of bipolar disorder, posttraumatic stress disorder, and borderline personality disorder presented with suicidal ideation.
02/07/2017
02/07/2017
Content planning for 2017 is well under way at Consultant and Consultant360.com, our new app is now available, and our Cardiometabolic Risk Summit is October 20-22 this year.
02/07/2017