Volume 55 - Issue 8 - August 2015

Consultant

Weight Loss
Weight Loss
03/20/2017
Dean G. Gianakos, MD, FACP; Michael Baek, MD; Shannon Bishop, PA-C
It is difficult to determine the cause of weight loss in older patients who have multiple medical and psychosocial challenges.
03/20/2017
08/29/2015
Cielo Gnecco, MS; Mary Hilal, MD; Daniel Sanchez, MD
A 42-year-old woman of Japanese descent presented with a 3-day history of a painful lump in her left neck.
08/29/2015
08/25/2015
Gregory W. Rutecki, MD
HS is a chronic and seriously debilitating disease that may lead to depression and significant work disability. Primary care physicians play the vital role of making an early diagnosis and determining an...
08/25/2015
bacterial infection
bacterial infection
08/20/2015
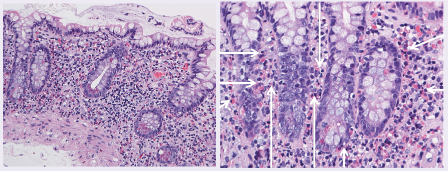
Sayed K. Ali, MD, FACP; Mubeen Cheema, MD; John Vizuete, MD
A 69-year-old white male with a past medical history significant for ulcerative colitis requiring a total colectomy presented with complaints of progressive postprandial abdominal pain over the past 6...
08/20/2015
Photoclinic
Photoclinic
08/20/2015
Leonid Skorin, Jr., DO, MS, OD; Ross F. English, OD
An 83-year-old female presented to the clinic for a routine ocular health examination.
08/20/2015
nodules
nodules
08/20/2015
Mark H. Joven, MD; Anges B. Colanta, MD; Robert J. Anderson, MD, MS
A 69-year-old female with a history of long-standing hypothyroidism was referred to our clinic for a thyroid nodule.
08/20/2015
Staphylococcus aureus
Staphylococcus aureus
08/20/2015
David L. Kaplan, MD
A 68-year-old male presented with a 4-day history of worsening painful rash on his lower abdomen.
08/20/2015
Subacute Cutaneous Lupus Erythematosus
Subacute Cutaneous Lupus Erythematosus
08/20/2015
David L. Kaplan, MD
A 40-year-old female presented with a several month history of rash on her chin, which was asymptomatic. She is otherwise healthy and has no other rashes.
08/20/2015
08/20/2015
David L. Kaplan, MD
A 68-year-old female presented with a 3-year history of an asymptomatic 6 cm macular patch on her right breast.
08/20/2015
Case in Point
Case in Point
08/20/2015
Bensson Samuel, MD, PG Dip, PhD, DBA; Berhanu Geme, MD; Jennifer Axelband, DO; Alden Smith, BA
A 77-year-old male with multiple medical problems presented to the emergency department complaining of right flank pain and decrease in bowel movements.
08/20/2015
Multiple Sclerosis
Multiple Sclerosis
08/20/2015
Gregory W. Rutecki, MD
There has been a veritable explosion in our understanding of the pathophysiology of multiple sclerosis (MS).
08/20/2015
08/20/2015
Richard Colgan, MD
Searching for the poetry of life is not just another checkbox—after documenting vital signs and recording the review of systems—to be completed after each patient visit.
08/20/2015
08/19/2015
Jenni L. Hoffman, DNP, FNP-C, CLNC
It was the morning of December 20, 2013 and as soon as I heard my mother’s voice on the phone, I knew something had happened to my father.
08/19/2015
asthma
asthma
08/10/2015
Ken Y. Yoneda, MD; Nicholas J. Kenyon, MD, MAS; Samuel Louie, MD
Severe adult asthmatics are defined partly by the need for high-dose inhaled corticosteroids (ICS) and inhaled bronchodilators and their higher incidence of nonadherence.
08/10/2015
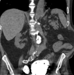
Photo Essay
Photo Essay
08/10/2015
A 77-year-old woman presented with shortness of breath and intermittent left flank pain of 2- to 3-day duration.
08/10/2015
sore throat
sore throat
08/10/2015
Ronald N. Rubin, MD
A 21-year-old male college senior presents for evaluation and treatment of a severe sore throat of 2-day duration.
08/10/2015
Atrial Fibrillation
Atrial Fibrillation
08/10/2015
Eric A. Dietrich, PharmD, BCPS; Kyle Davis, PharmD, BCPS
Atrial fibrillation (AF) is one of the most common cardiac dysrhythmias and responsible for significant morbidity and mortality worldwide.
08/10/2015
Orthopedics
Orthopedics
08/10/2015
Alexander K.C. Leung, MD, MBBS, FRCPC, FRCP; Benjamin Barankin, MD, FRCPC
A 32-year-old male construction worker presented with a painful lesion on his left sole.
08/10/2015
08/10/2015
Louis Kuritzky, MD; David M. Quillen, MD
This article presents a series of hypothetical case studies that represent some of the more common therapeutic dilemmas that primary care clinicians face in their daily management of patients with T2DM. ...
08/10/2015
sleep
sleep
08/10/2015
Melissa Carlucci, MS, ACNP; James Q. Simmons, MS, AGACNP-BC; Maureen Smith
This article provides an overview of the clinical manifestations, diagnosis, and treatment options for narcolepsy.
08/10/2015
sleep
sleep
08/10/2015
Melissa Carlucci, MS, ACNP; James Q. Simmons, MS, AGACNP-BC; Maureen Smith
This article provides an overview of the clinical manifestations, diagnosis, and treatment options for narcolepsy.
08/10/2015
sleep
sleep
08/10/2015
Melissa Carlucci, MS, ACNP; James Q. Simmons, MS, AGACNP-BC; Maureen Smith
This article provides an overview of the clinical manifestations, diagnosis, and treatment options for narcolepsy.
08/10/2015
Knee pain
Knee pain
08/10/2015
Jack Nickless, MD
This article discusses the appropriate recognition, evaluation, management, and rehabilitation of multiligamentous knee injuries based on available literature to improve overall patient outcomes when...
08/10/2015
08/10/2015
August is National Immunization Awareness Month and with the help of the National Public Health Information Coalition, the CDC is highlighting the value of immunization for all age groups.
08/10/2015