Volume 55 - Issue 4 - April 2015

Consultant

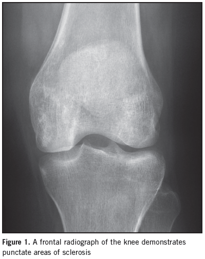
Radiology Quiz
Radiology Quiz
03/12/2021
William Yaakob, MD
A 26-year-old female comes to your office complaining of chronic left knee pain that has worsened over the last one to two weeks. She describes the pain as, “throbbing and aching.”
03/12/2021
Diabetes Q&A
Diabetes Q&A
06/01/2016
Leonid Skorin, Jr., DO, MS, OD; Kristen Krein, BS
This article reviews the risk factors and ocular signs of diabetic retinopathy. Current concepts in therapy of diabetic retinopathy are also presented.
06/01/2016
nodules
nodules
05/06/2015
Julia L. Accetta, BS; Dylan R. Conroy; Thomas N. Helm, MD
A 77-year-old white man presented for evaluation of an erythematous and erosive nodule of the umbilicus.
05/06/2015
Erysipelas
Erysipelas
05/04/2015
Michael Felz, MD
A 63-year-old physician (the author) noted 3 days of dark nasal discharge and obstructive crusting, followed by an abrupt illness with fever of 101ºF, chills, malaise, and asthenia.
05/04/2015
Actinic Keratosis
Actinic Keratosis
05/04/2015

Alexander K.C. Leung, MD, and Benjamin Barankin, MD

Alexander K.C. Leung, MD, and Benjami...
A 67-year-old Caucasian male presented with a red scaly plaque on his left cheek. The patient reported that the lesion was first noted about 2 years ago and slowly increased in size with time.
05/04/2015
Lymphoma
Lymphoma
04/27/2015
David L. Kaplan, MD
An 80-year-old female presented for evaluation of an asymptomatic nodule on her back of at least 3 months duration.
04/27/2015
Folliculitis
Folliculitis
04/27/2015
David L. Kaplan, MD
A 79-year-old male presented with a 2-week history of itchy bumps on his chest. He denies any recent exposure, new medications, or recent illnesses.
04/27/2015
04/27/2015
David L. Kaplan, MD
A 28-year-old female presented for evaluation of presumed pilonidal cyst of several years duration to discuss treatment options.
04/27/2015
Bone fractures
Bone fractures
04/27/2015
This article features a collection of photo-based cases demonstrating fracture-related issues, including Barton fractures, Psoas avulsion fractures, and orbital floor fractures.
04/27/2015
leprosy
leprosy
04/24/2015
One of the oldest-known infectious diseases in history, leprosy is caused by Mycobacterium leprae, the same family as the bacteria that cause tuberculosis.
04/24/2015
Diabetes Q&A
Diabetes Q&A
04/24/2015
Kim A. Carmichael, MD, FACP
This Q&A discusses glucagon, a hormone produced by the alpha cell of the pancreas, and its impact on glucose metabolism in type 2 diabetes..
04/24/2015
tarlov cyst
tarlov cyst
04/23/2015
Samia Holman, MSN, FNP-C; Michael J. Kim, MD; Farrukh Merchant, MD, MHSA
A 66-year-old man with history of chronic low back pain presents with worsening pain and right-sided sciatic symptoms. Symptoms were partially relieved by anti-inflammatories, muscle relaxers, and...
04/23/2015
vaccination
vaccination
04/23/2015
Amy L. Wrentmore, MD; Gregory F. Hayden, MD
The widespread availability and use of the measles vaccine in the United States has been immensely successful and has resulted in a greater than 99% reduction in reported measles cases compared with the...
04/23/2015
Urinary Tract Infections
Urinary Tract Infections
04/22/2015
Gregory W. Rutecki, MD
The medical community has repeatedly been cautioned about the negative impact of unrestrained script-writing, particularly when it comes to antibiotics. Yet over and over again, stories surface about too...
04/22/2015
Pitfalls in Prescribing
Pitfalls in Prescribing
04/22/2015
Kyle Davis, PharmD, BCPS; Eric A. Dietrich, PharmD, BCPS
This article presents a hypothetical case and supporting information on the impact of both aspirin and statins on patients in order to help primary care and other healthcare providers gain a better...
04/22/2015
Pressure Ulcers
Pressure Ulcers
04/22/2015
Barbara Zeiger
The primary care provider may be in the position to diagnose and subsequently direct management of skin failure/KTUs.
04/22/2015
Flu
Flu
04/22/2015
A 34-year-old female patient requests an office visit after experiencing flu-like symptons for the last few days.
04/22/2015
Chronic Heart Failure
Chronic Heart Failure
04/22/2015
Roberta O'Brien, APRN, FNP-C; Angela Paima, APRN, FNP-C; Naomi Abaga, MSN, BSN, RN
This feature examines the prevalence of, and obstacles in, CHF management, and introduces new strategies for improving continuity of care while also reducing associated costs.
04/22/2015
Pulmonary Fibrosis
Pulmonary Fibrosis
04/22/2015
Jonathan S. Ilowite, MD, FCCP; Girish B. Nair, MD, FACP, FCCP
This article summarizes the clinical approach to diagnosis and treatment in a patient with IPF.
04/22/2015
Primary Care
Primary Care
04/22/2015
Gregory W. Rutecki, MD
Summer 2014 was an anniversary I prefer to minimize. The year marked my 40-year rite of passage since medical school graduation.
04/22/2015
IBS
IBS
04/22/2015
By nature of its symptoms, Irritable Bowel Syndrome (IBS) isn’t a topic that gets a lot of play in conversations outside the medical setting.
04/22/2015