Volume 51 - Issue 7 - July 2011

Consultant

07/08/2011
David L. Kaplan, MD
<p>Asymmetric hair growth is noted on the back of a 25-year-old man when he seeks treatment of severe sunburn. The patient first noticed this pattern 7 or 8 years earlier.<br> <br> What do...
07/08/2011
07/08/2011
<p>A 28-year-old man presents with pruritic lesions on his forearms of 4 to 6 weeks’ duration. Over-the-counter hydrocortisone 1% cream has provided some relief.</p>
07/08/2011
Type 1 Diabetes
Type 1 Diabetes
07/08/2011
Kim A. Carmichael, MD, FACP
<p>Many persons with diabetes mellitus, particularly those with type 1, are completely dependent on exogenous insulin to sustain vital functions, even life itself, and without it may rapidly...
07/08/2011
07/08/2011
Jocelyn Y. Ang, MD; Christian Rosas-Salazar, MD; Prem Arora, MD; Hazar Kobayaa, MD
<p>A 3-year-old girl was hospitalized because of purulent drainage from a right middle finger wound  and a tender right axillary mass of 2 days’ duration. She was febrile,...
07/08/2011
Pain
Pain
07/08/2011
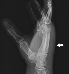
David Effron, MD; Jimmy Y. Saade, MD, FACEP; Ergent M. Zhiva, MD; Anthony M. Salibi, MSc
<p>A 50-year-old man, who is right hand dominant, presents to the emergency department (ED) with swelling of the left hand and intense pain. He is an intravenous drug user with multiple prior...
07/08/2011
07/08/2011
Ronald N. Rubin, MD
<p>An 82-year-old woman reports vision changes in her right eye that have developed gradually over the past several months. She needs significantly brighter light when sewing, reading, and doing other...
07/08/2011
07/08/2011
Gregory W. Rutecki, MD
Tuberculosis (TB) is uncommon in the United States, especially when rates here are compared with those in endemic locations, such as Cambodia, Thailand, Kenya, Malawi, and Cameroon.1 In fact, in the United...
07/08/2011
07/07/2011
Noah S. Scheinfeld, MD, JD
<p>The skin is transformed as we age; its hue and texture evolve with time and with disease. These changes are important to understand so that we can distinguish the pathologic from the normal in the...
07/07/2011
07/07/2011
Nathan Hitzeman, MD
<p><span>When a prescription medication is not needed, patients often appreciate </span><span>advice on nonprescription treatments.</span><span> A field...
07/07/2011
07/07/2011
Ruth Trecker, APRN
<p><span>I find it helpful to set a gestation </span><span>wheel to a pregnant patient’s due date</span><span> and then make a copy of the wheel for...
07/07/2011
07/07/2011
Richard A. Honaker, MD
<p>Younger patients are sometimes reluctant to have you use a liquid nitrogen spray gun to freeze their warts, because it can be painful. Try applying the liquid nitrogen <span>with a...
07/07/2011
07/07/2011
William J. Sciales, MD
<p>With patients who say that they usually faint when blood is drawn or when given an injection, have them lie down and tell them that they “cannot faint when lying...
07/07/2011
hypertensive urgency
hypertensive urgency
07/07/2011
Jason Nesmith, MD; Gregory W. Rutecki, MD; Bradley M. Wright, PharmD, BCPS; Molly Adams, PharmD, BCPS; Rakhi Karwa, PharmD, BCPS; Gloria Varela, MD
<p>Acute elevations in blood pressure (also known as hypertensive crises or severe hypertension) can cause significant morbidity and mortality. The key to management of these episodes is to keep in...
07/07/2011
Severe Hypertension
Severe Hypertension
07/07/2011
Gregory W. Rutecki, MD
<p>Events in Germany and other European countries during the past several weeks have made me queasy every time I see vegetables. The fallout of the recent Shiga...
07/07/2011
Antihypertensives
Antihypertensives
07/07/2011
Bradley M. Wright, PharmD, BCPS; Molly Adams, PharmD, BCPS; Rakhi Karwa, PharmD, BCPS; Gloria Varela, MD; Jason Nesmith, MD; Gregory W. Rutecki, MD
<p>Here, we will review the contemporary armamentarium for severe hypertension. The pros and cons of the drugs used to manage hypertensive crises will be highlighted.</p>
07/07/2011
07/07/2011
David L. Kaplan, MD
<p>A 53-year-old man reports that the painful growth on his upper chest wall had been rubbed by a seat belt 1 week earlier. The lesion had been asymptomatic for months before becoming...
07/07/2011
Schamberg disease
Schamberg disease
07/07/2011
David L. Kaplan, MD
<p>A 61-year-old woman presents with asymptomatic red spots that appeared on her legs 3 days earlier. The patient is taking warfarin, which was prescribed following artificial mitral valve...
07/07/2011
Nummular Eczema
Nummular Eczema
07/07/2011
David L. Kaplan, MD
<p><span>A 69-year-old woman has had a red patch on the dorsum of one hand for 5 weeks. She states that the lesion began as a pimple and has grown larger; it is occasionally pruritic but not...
07/07/2011
07/07/2011
Ahmed Tarig Ahmed, MD
<p>This painless, hard mass was noted on the palate of a 73-year-old woman with hypertension during a routine follow-up visit. The mass had been present for more than 30 years.</p>
07/07/2011
07/07/2011
Barbara B. Wilson, MD; Bridget M. Bryer Groff, MD; Christian R. Halvorson, MD
<p>For 4 years, a 10-year-old boy had a recurrent rash on his left leg. He had been treated for presumed ringworm with multiple topical antifungal medications, including terbinafine, ciclopirox, and...
07/07/2011
07/07/2011
Germaine L. Defendi, MD, MS
<p>For 2 weeks, this 13-year-old girl felt tired and achy. She had persistent fevers (temperature up to 38.8°C [102°F]) and an erythematous facial rash above her eyebrows that extended to her cheeks...
07/07/2011
07/06/2011
Michael L. Sternberg, MD; Nate Lisenbee, MS
<p style="text-align: left;"><strong><span style="text-decoration: underline; font-size: large;"></span></strong><span style="font-size:...
07/06/2011
07/06/2011
Leonid Skorin, Jr., DO, MS, OD
<p>An 83-year-old woman presented for her annual eye examination. She had a history of previous cataract surgery with pseudo­phakia and mild dry age-related macular degeneration. She also had a...
07/06/2011