Volume 61 - Issue 5 - May 2021

Consultant

Featured
Original Research
Original Research
10/19/2022
Antibiotic resistance leads to an estimated 2.8 million infections and 35,000 deaths per year in the United States, making it one of the greatest public health threats today. Prescribing antibiotics...
10/19/2022
What's Your Diagnosis?
What's Your Diagnosis?
01/12/2023
An 8-year-old boy presented to the emergency department (ED) with a 2-day history of acute worsening of oral cavity pain. His father noted a bright pink swelling over the boy’s hard palate at the midline,...
01/12/2023
Photoclinic
Photoclinic
11/21/2022
Myxedema coma is a rare life-threatening endocrine emergency whose consequences include varying degrees of altered mental state, hypothermia, bradycardia, low cardiac output, hypoventilation, and...
11/21/2022
Case In Point
Case In Point
09/11/2022
A 79-year-old man presented to the emergency department for increasingly severe bilateral proximal upper- and lower-extremity muscle weakness, balance deficit, and loss of strength and mobility.
09/11/2022
Photo Quiz
Photo Quiz
10/15/2021
A 13-year-old girl presented to the clinic with hair loss and a rash in the axillae for 4 months. The lesions initially had appeared as erythematous and coin-shaped and then had evolved into hyperpigmented...
10/15/2021
What's the Take Home?
What's the Take Home?
10/07/2021
A 79-year-old man is being evaluated for aortic stenosis. He is known to have had aortic stenosis for the last several years, with serial clinical follow-up visits for symptoms and noninvasive tests for...
10/07/2021
Photoclinic
Photoclinic
10/01/2021
A 7-year-old boy with a history of eczema presented with painful peeling of his fingernails of several days’ duration. He denied any trauma or other inciting injury to his fingernails. His mother had a...
10/01/2021
Photoclinic
Photoclinic
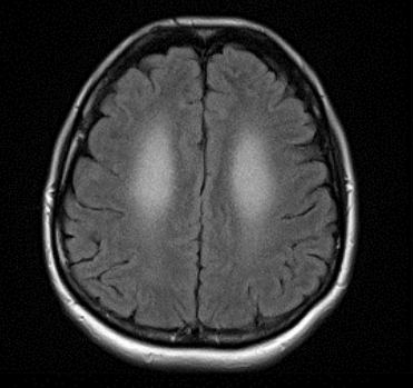
05/14/2021
A 43-year-old woman with recently diagnosed hypothyroidism presented with a 3-month history of declining cognition, confusion, disorientation, and an inability to communicate or ambulate. She had become...
05/14/2021
Photo Essay
Photo Essay
05/14/2021
This Photo Essay is part of a series describing and differentiating dermatologic lumps and bumps. This column highlights angiokeratoma of Fordyce and idiopathic scrotal calcinosis.
05/14/2021
Case In Point
Case In Point
05/12/2021
A 76-year-old man presented with cardiac arrest due to massive pulmonary embolism. The patient was stabilized after successful catheter-directed thrombectomy followed by catheter-based thrombolysis.
05/12/2021
Diabetes Q&A
Diabetes Q&A
05/11/2021
In this column, Kim Carmichael, MD, writes about the most common questions he receives about hypoglycemia among patients with diabetes.
05/11/2021
Photoclinic
Photoclinic
05/10/2021
A 10-month-old boy was noted to have an asymptomatic protrusion in the perianal area during a routine physical examination.
05/10/2021
Photoclinic
Photoclinic
05/07/2021
An otherwise healthy 4-year-old girl with no pertinent medical history presented to a pediatric primary care urgent care clinic due to persistent bilateral knee pain, with more pain in the left knee than in...
05/07/2021