Volume 14 - Issue 3 - March 2015

Consultant for Pediatricians

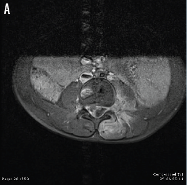
myositis
myositis
03/29/2015
Syed Tariq Khalil, MD; Alan M. Groves, MD
A healthy, full-term infant was born by normal, vertex-position vaginal delivery with no evidence of cord strangulation or fetal distress.
03/29/2015
polydactyly
polydactyly
03/26/2015
Yaxi Zeng, MD; Kristin Ernest, MD; Mark Jason Sanders, MD; Lynnette J. Mazur, MD, MPH
On physical examination, the newborn was noted to have 7 toes on the left foot (A). The rest of the examination findings were unremarkable. The patient was referred to orthopedics for further evaluation. ...
03/26/2015
myositis
myositis
03/26/2015
Sheena Tonkin, MD; Kyrie Shomaker, MD
A 5-year-old previously well boy was referred to the emergency department after a week of intermittent fever along with progressive left back and leg pain and refusal to bear weight.
03/26/2015
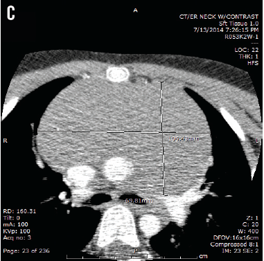
Lymphoma
Lymphoma
03/26/2015
Cynthia H. Ho, MD; Randall Y. Chan, MD; Adler M. Salazar, MD; Keith E. Lewis, MD; Jeffrey L. Johnson, MD
A 7-year-old boy presented with enlarging cervical lymph nodes and progressive dyspnea for 2 weeks.
03/26/2015
03/26/2015

Alexander K. C. Leung, MD—Series Editor, and Benjamin Barankin, MD

Alexander K. C. Leung, MD—Series Edit...
A 3-year-old boy developed thick scales that were binding tufts of hair on his scalp. The scales had appeared 1 year ago.
03/26/2015
Feature
Feature
03/26/2015
Anika M. Turkiewicz, BS; John W. Harrington, MD
Febrile urinary tract infections (UTIs) are common in children, and an initial UTI predisposes them to additional UTIs, especially in the presence of an anatomic urinary system problem.
03/26/2015
Vaccines
Vaccines
03/26/2015
Jessica Tomaszewski, MD
As pediatric health care providers, we work to find novel ways to improve influenza vaccination rates every year.
03/26/2015
Radiology Quiz
Radiology Quiz
03/26/2015
Leslie Hoover, CNP
An 11-year-old obese girl presented to the orthopedic clinic with a history of bilateral knee pain. The girl had visited an urgent care clinic 8 months prior for left knee pain.
03/26/2015
Consultations & Comments
Consultations & Comments
03/26/2015
Linda S. Nield, MD; Jennifer J. Zatezalo
A Parent Asks: My 3-year-old daughter has been vomiting all night. My friend says she received a medication from the emergency room doctor to stop the vomiting. Can you prescribe something that will stop my...
03/26/2015
Consultations & Comments
Consultations & Comments
03/26/2015
Linda S. Nield, MD; Jennifer J. Zatezalo
A Parent Asks: My 3-year-old daughter has been vomiting all night. My friend says she received a medication from the emergency room doctor to stop the vomiting. Can you prescribe something that will stop my...
03/26/2015
Consultations & Comments
Consultations & Comments
03/26/2015
Linda S. Nield, MD; Jennifer J. Zatezalo
A Parent Asks: My 3-year-old daughter has been vomiting all night. My friend says she received a medication from the emergency room doctor to stop the vomiting. Can you prescribe something that will stop my...
03/26/2015
osteomyelitis
osteomyelitis
03/26/2015
Benjamin C. Lee, MD; Clifford N. Chen, MD
A previously healthy 10-year-old boy presented with recurrent, painful swelling and redness of his left elbow without fever after having fallen backward onto an aloe vera plant 4 months ago.
03/26/2015
DermClinic
DermClinic
03/26/2015
Alexander K.C. Leung, MD, MBBS, FRCPC, FRCP; Benjamin Barankin, MD, FRCPC
A 17-year-old Asian adolescent girl presented with disfiguring lesions on her shoulders and upper back.
03/26/2015