Volume 11 - Issue 8 - August 2012

Consultant for Pediatricians

Pneumonia
Pneumonia
08/10/2012
Nelson L. Turcios, MD
<p class="p1"><img src="/sites/default/files/transfer/1208CFP_PCPneumo_AB.jpg" width="90" height="90" style="float: left; margin:...
08/10/2012
corneal abrasion
corneal abrasion
08/10/2012
Aditya V. Badheka, MD; Thant Zin, MD
<p class="p1">An 18-year-old boy presented to the emergency department with pain and swelling of the left hand and inability to move the fingers. The symptoms had developed after he had...
08/10/2012
corneal abrasion
corneal abrasion
08/10/2012
Ameer Hassoun, MD; Nirupama Kannikeswaran, MD
<p class="p1"><img src="/sites/default/files/transfer/1208CFP_PCCornea.jpg" width="90" height="90" style="float: left; margin:...
08/10/2012
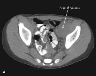
osteomyelitis
osteomyelitis
08/10/2012
Brian T. Kloss, DO, JD, PA-C; Katherine Dougher, MD; Deepak M. Kamat, MD, PhD
<p class="p1"><img src="/sites/default/files/transfer/1208CFP_PCAbscess_A.jpg" width="90" height="90" style="float: left; margin:...
08/10/2012
Scabies
Scabies
08/10/2012
Kam Lun Ellis Hon, MD; Alexander K.C. Leung, MD, MBBS, FRCPC, FRCP
<p class="p1"><img src="/sites/default/files/transfer/1208CFP_CPScabies_Fg1.jpg" width="90" height="90" style="margin: 5px; float:...
08/10/2012
Speech Impairment
Speech Impairment
08/10/2012
Linda S. Nield, MD; Loren R. Mueller
<P class=p1>A Mother Asks: My 18-month-old son can say only 5 words. According to my baby book, he should be saying about 20. He seems developmentally appropriate in other ways. Is there something...
08/10/2012
ureteropelvic junction obstruction
ureteropelvic junction obstruction
08/10/2012
Meaghann Weaver, MD; Alexander K.C. Leung, MD, MBBS, FRCPC, FRCP
<p class="p2"><img src="/sites/default/files/transfer/1208CFP_WDWeaver_IndxFg.jpg" width="90" height="90" style="float: left; margin:...
08/10/2012
Vasculopathy
Vasculopathy
08/10/2012
Elizabeth Feldman, MD; Francisco M. Sánchez, DVM, PhD; Mariela Cano, MD
<P><IMG style="MARGIN: 5px; FLOAT: left" src="/sites/default/files/transfer/1208CFP_CPSanchez_Fg2.jpg" width=90 height=90><BR>A 16-year-old girl presented with...
08/10/2012
Hormone Disorders
Hormone Disorders
08/10/2012

ALEXANDER K. C. LEUNG, MD

Dr Leung is clinical professor of pediatrics at the University of Calgary and a pediatric consultant at the Alberta Children’s Hospital in Calgary.

ALEXANDER K. C. LEUNG, MDDr Leung is ...
Two cases of hormone-related disorders resulting in premature breast enlargement.
08/10/2012
chest wall anomalies
chest wall anomalies
08/10/2012
Golder N. Wilson, MD, PhD; Sutapa Khatua, MD, MBBS; Laurens R. Pickard, MD; Lynnette J. Mazur, MD, MPH
<p><img alt="" src="/sites/default/files/transfer/1208CFP_GDPectus_FgAB.jpg" style="height:90px; margin:5px; width:90px; float:left" /></p> <p><br...
08/10/2012
eye disorders
eye disorders
08/10/2012
Greg L. Ledgerwood, MD; Peter A. D'Arienzo, MD
Signs and symptoms of a full-blown ocular allergic reaction include deep red vessels in the conjunctiva, itching, and swelling of the conjunctiva and eyelids.
08/10/2012
prickly heat
prickly heat
08/10/2012
Kirk Barber, MD, FRCPC
Multiple superficial noninflammatory vesicles developed on the upper back of this 13-year-old girl following a sunburn.
08/10/2012
Keratosis Pilaris
Keratosis Pilaris
08/10/2012
<p class="p1"><em><em><img src="/sites/default/files/transfer/1208CFP_CCKeratosis_FgAB.jpg" width="90" height="90" style="float: left;...
08/10/2012