Volume 11 - Issue 7 - July 2012

Consultant for Pediatricians

Cough
Cough
04/16/2014
Linda S. Nield, MD; Deepak M. Kamat, MD, PhD
Typically, chronic cough is a lingering manifestation of a viral upper respiratory tract infection; other, more serious causes—such as asthma, upper airway disorders, or gastroesophageal reflux—must also be...
04/16/2014
torticollis
torticollis
07/10/2012
Nirav Shastri, MD; Milton A. Fowler, Jr., MD, MPH; Kirk Barber, MD, FRCPC
<p><strong><img src="/sites/default/files/transfer/1207CFP_DC_FgC.jpg" alt="congenital leukonychia totalis" title="congenital leukonychia totalis"...
07/10/2012
torticollis
torticollis
07/10/2012
Thaddeus W. Herliczek, MD, MS
<P><STRONG><IMG style="MARGIN: 5px; FLOAT: left" src="/sites/default/files/transfer/1207CFP_ePQHerli_QuesFg.jpg" width=90 height=90></STRONG>A 4-week-old girl is...
07/10/2012
avascular necrosis
avascular necrosis
07/10/2012
Anna Tsikouris, MD; Shelley Wells Collins, MD
A 2 1/2-year-old boy was brought to the emergency department because of fever, cough, lower abdominal pain, and dysuria.
07/10/2012
spondylolysis
spondylolysis
07/10/2012
Martha A. Hellems, MD; E. Michael Villareal, MD
<p class="p1"><img src="/sites/default/files/transfer/1207CFP_PCSpondylo_B.jpg" width="90" height="90" style="float: left; margin:...
07/10/2012
teething
teething
07/10/2012
Rini Sahewalla, MD
<p class="p1"><img src="/sites/default/files/transfer/1207CFP_PCNatalTeeth.jpg" width="90" height="90" style="float: left; margin:...
07/10/2012
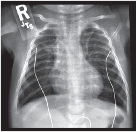
MRSA
MRSA
07/10/2012
Benjamin C. Lee, MD; Kelly R. Hildebrand, MD
On the third day of hospitalization for lethargy and respiratory distress after smoke inhalation during a house fire, a 2-month-old girl became febrile, with a temperature of 38.5ºC (101.3ºF).
07/10/2012
nevus sebaceous
nevus sebaceous
07/10/2012
Nathan Hoy
A 4-year-old boy with asymptomatic lesion on his scalp since birth.
07/10/2012
Rash
Rash
07/10/2012
Joe R. Monroe, PA-C, MPAS, PA; Deepak M. Kamat, MD, PhD
Two cases involving hand-foot-and-mouth disease are presented, featuring onychomadesis secondary to hand-foot-and-mouth disease, and an atypical rash.
07/10/2012
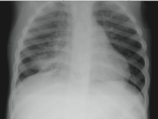
Meningococcus
Meningococcus
07/10/2012
Amanda D. Griffin, MD; Osvaldo Regueira, MD; Samer H.A. Zaid Kaylani, MD
A 3-month-old boy was transferred from a local emergency department with a diagnosis of acute gastroenteritis and mild dehydration after failing an oral fluid challenge.
07/10/2012
eye injury
eye injury
07/10/2012
<p><img src="/sites/default/files/transfer/1207CFP_ECDrTuli_BioPic.jpg" width="90" height="90" style="float: left; margin: 5px;"><br>We would like...
07/10/2012