Volume 11 - Issue 4 - April 2012

Consultant for Pediatricians

peritonsillar abscess
peritonsillar abscess
04/09/2012
Shelley Wells Collins, MD; Kelly Tepedino
<p><img alt="" src="/sites/default/files/transfer/Screen_shot_2012-04-10_at_8.59.28_AM_thumb.png" style="height:88px; margin:5px; width:90px; float:left" />For the...
04/09/2012
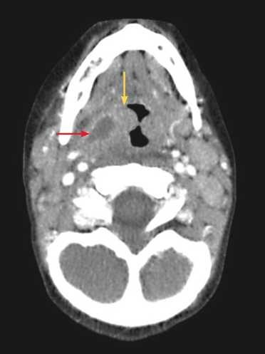
cyst
cyst
04/09/2012
Maria N. Kelly, MD; Sanjeev Y. Tuli, MD; Elizabeth Meinert, MD; Sonal S. Tuli, MD
<p><img src="/sites/default/files/transfer/Screen_shot_2012-04-10_at_8.59.19_AM_thumb.png" width="90" height="80" style="float: left; margin: 5px;">The...
04/09/2012
cephalic molding
cephalic molding
04/09/2012
Robert P. Blereau, MD; Deepak M. Kamat, MD, PhD
<p><span><img src="/sites/default/files/transfer/Screen_shot_2012-04-10_at_8.56.07_AM.png" width="91" height="94" style="float: left; margin:...
04/09/2012
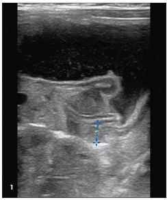
Ultrasonographic imaging
Ultrasonographic imaging
04/09/2012
Alexander C. Arroyo, MD; Alexander K.C. Leung, MD, MBBS, FRCPC, FRCP; Kael Duprey, MD, JD; Marisa Vermeulen, DO
A 23-day-old boy born at 39 weeks’ gestation via normal spontaneous vaginal delivery was brought to the emergency department with vomiting of 1 week’s duration.
04/09/2012
Sexual abuse
Sexual abuse
04/09/2012
<P>This baby was born via spontaneous vaginal delivery at 38 weeks’ gestation to a 24-year-old gravida 2, para 2 mother. Apgar scores were 8 and 9 at 1 and 5 minutes, respectively. She had an...
04/09/2012
Case In Point
Case In Point
04/09/2012
Robert J. Deutsch, MD, MPH; Colleen O. Davis, MD, MPH
A 12-year-old girl with mild hypertension, bilateral lower extremity edema, and serpiginous lesions on her lower extremities, buttocks, and elbows was referred to the emergency department by her...
04/09/2012
Cutaneous disorders
Cutaneous disorders
04/09/2012
Alexander K.C. Leung, MD, MBBS, FRCPC, FRCP; Alex H.C. Wong, MD
Most benign cutaneous tumors and growths in adolescents are asymptomatic and treatment is for cosmetic reasons. Further evaluation for an underlying disorder is required in some instances, such as in...
04/09/2012
epidermal nevi
epidermal nevi
04/09/2012
Kirk Barber, MD, FRCPC
<p class="p1"><span class="s1"><strong><img src="/sites/default/files/transfer/Screen_shot_2012-04-10_at_8.50.00_AM.png" style="float: left; margin:...
04/09/2012
Pediatrics
Pediatrics
04/09/2012
John W. Harrington, MD
I started my first year as the division director for general academic pediatrics at Children’s Hospital of The King’s Daughters (CHKD) in Norfolk, Virginia in January 2007.
04/09/2012