Volume 11 - Issue 2 - February 2012

Consultant for Pediatricians

Chest pain
Chest pain
10/31/2012
Lisa M. Clewner, MD
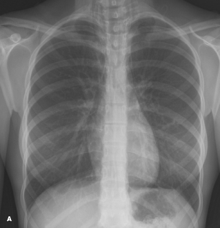
<p><img src="/sites/default/files/transfer/1202CFP_PCPneumo_A_thumb.jpg" alt="Spontaneous Pneumomediastinum" style="float: left; margin: 5px;" height="90"...
10/31/2012
Skin Disorders
Skin Disorders
02/16/2012
Kirk Barber, MD, FRCPC
<p>This tumor has developed at the site of incidental trauma on this adolescent's forearm. The lesion is growing rapidly and bleeds profusely after minimal trauma.</p><p>What is...
02/16/2012
Penile Pearls
Penile Pearls
02/06/2012
Chyi-Sen Wu, MD; Chia-Wai Chang, MD; Kong-Sang Wan, MD, PhD
<P><IMG style="MARGIN: 5px; FLOAT: left" src="/sites/default/files/transfer/1202CFP_ePQWan_FgAB_1.jpg" width=90 height=90><BR>A 13-year-old girl is admitted to the...
02/06/2012
Penile Pearls
Penile Pearls
02/06/2012
Rebecca C. Butterfield, MD; Catherine Delsignore, MD
Evaluation of an infant's genitals revealed 2 small, white, pearly lesions at the tip of the foreskin, partially obscuring the urethral meatus.
02/06/2012
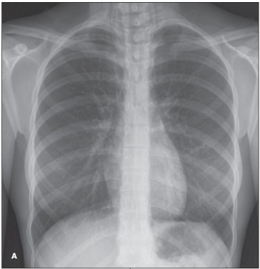
spontaneous pneumomediastinum
spontaneous pneumomediastinum
02/06/2012
Lisa M. Clewner, MD
<p><img src="/sites/default/files/transfer/1202CFP_PCPneumo_A_thumb.jpg" width="87" height="90" style="float: left; margin:...
02/06/2012
Facial Palsy
Facial Palsy
02/06/2012
Partha S. Ghosh, MD; Sudeshna Mitra, MD; Alexander K.C. Leung, MD, MBBS, FRCPC, FRCP
<P><IMG style="MARGIN: 5px; FLOAT: left" src="/sites/default/files/transfer/1202CFP_WDGhosh_IndexFg_thumb.jpg" width=90 height=70><BR>Three-year-old boy with excessive...
02/06/2012
nickel allergy
nickel allergy
02/06/2012
Elisabeth K. DiPietro, MD; Alexander K.C. Leung, MD, MBBS, FRCPC, FRCP; Alex H.C. Wong, MD; Elaine T. Kaye, MD; Carolyn F. Sax, MD
<p><img src="/sites/default/files/transfer/1202CFP_CPLeung_Fg4_0_thumb.jpg" width="85" height="90" style="float: left; margin:...
02/06/2012
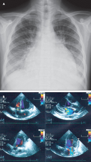
cardiovascular disease
cardiovascular disease
02/06/2012
Deepak Sharma, MD
<p><span><strong><br>ABSTRACT:</strong></span> Children with acute myocarditis often present with dyspnea at rest, exercise intolerance, syncope, tachypnea,...
02/06/2012
Unilateral Laterothoracic Exanthem
Unilateral Laterothoracic Exanthem
02/06/2012
Jennifer Tromberg, MD; Barbara B. Wilson, MD; Kirk Barber, MD, FRCPC
<p><img alt="" src="/sites/default/files/transfer/1202CFP_DC_IndexFg_0.jpg" style="height:90px; margin:5px; width:90px; float:left" /><br /> A 2-year-old girl...
02/06/2012
Medical profession
Medical profession
02/06/2012
Gregory F. Hayden, MD
<p>There are times during the course of a day when I work beneath the top of my license. For instance, on the day I wrote this commentary, I gazed at a newborn’s face and smiled at him for a full 20...
02/06/2012