Skip to main content
Spine Conditions
Menu
Menu
Main navigation
Home
Education
Featured Topics
AAEM 32nd Annual Scientific Assembly
Depression Care 360
Emergency Medicine Excellence Forum
Emergency Medicine
GSK Partner Spotlight
Gynecologic Oncology
HIV Management
HIV Prevention
Migraine Excellence Hub
Severe Hypertriglyceridemia (sHTG)
Transthyretin Amyloid Cardiomyopathy (ATTR-CM)
Vaccines
Resources
Atlas of Lumps and Bumps
Case Presentations
Commentary
Disease State and Specialty Directory
FDA Alerts
Multidisciplinary Roundtables
Pearls
Podcasts
Polls
Q&A
Quizzes
Research Summaries
Slideshows
Videos
Featured Conferences
67th ASH Annual Meeting & Exposition
AAEM 32nd Annual Scientific Assembly
AANA 2025 Annual Congress
ANESTHESIOLOGY Annual Meeting
AANP National Conference
AAOMS 107th Annual Meeting
AAPM - PainConnect 2025
ACOG Annual Clinical & Scientific Meeting
ACR Convergence
ADA 85th Scientific Sessions
American Academy of Orthopaedic Surgeons 2025 Annual Meeting
American Association of Clinical Endocrinology 2025
American College of Cardiology 2025 Annual Meeting
American College of Foot and Ankle Surgeons 2025
American College of Physicians Internal Medicine Meeting
American Society of Clinical Oncology 2025
American Society of Hematology Annual Meeting & Exposition
APG Spring Conference 2025
APMA 2025 Annual Scientific Meeting
ASCO Annual Meeting
ASCRS Annual Scientific Meeting
ASHP Midyear Clinical Meeting and Exhibition
ASMBS 2025 Annual Meeting
ASRA Spring 2025
Consultant360's Practical Updates in Primary Care
Conference on Retroviruses and Opportunistic Infections
ENDO 2025
Kidney Week 2025
NCQA Health Innovation Summit
Plastic Surgery: The Meeting
SGO Annual Meeting on Women's Cancer
Society of Gynecologic Oncology Annual Meeting
Society of Hematologic Oncology's Annual Meeting
Society of Hospital Medicine Converge
Clinical Updates
Allergic Asthma
Alzheimer Disease
Atopic Dermatitis
Cardiovascular Disease
Chronic Obstructive Pulmonary Disease
COVID-19
Endometrial Cancer
Endometrial Hyperplasia
Endometriosis
Eosinophilic Disorders
Exocrine Pancreatic Insufficiency
Familial Chylomicronemia Syndrome
Generalized Pustular Psoriasis
Major Depressive Disorder
Myelofibrosis
Nasal Polyps
Ovarian Cancer
Rheumatoid Arthritis
Schizophrenia
Ulcerative Colitis
Uterine Polyps
Publication
About Consultant
Advertising With Consultant360
Author Guidelines
Call for Papers
Case Report Templates
Consultant Current Issue
Consultant Archive
Consultant Early View
FAQ
Get Permissions
Get Permissions
Search
Contact
Login
Menu
Menu
Main navigation
Home
Education
Featured Topics
AAEM 32nd Annual Scientific Assembly
Depression Care 360
Emergency Medicine Excellence Forum
Emergency Medicine
GSK Partner Spotlight
Gynecologic Oncology
HIV Management
HIV Prevention
Migraine Excellence Hub
Severe Hypertriglyceridemia (sHTG)
Transthyretin Amyloid Cardiomyopathy (ATTR-CM)
Vaccines
Resources
Atlas of Lumps and Bumps
Case Presentations
Commentary
Disease State and Specialty Directory
FDA Alerts
Multidisciplinary Roundtables
Pearls
Podcasts
Polls
Q&A
Quizzes
Research Summaries
Slideshows
Videos
Featured Conferences
67th ASH Annual Meeting & Exposition
AAEM 32nd Annual Scientific Assembly
AANA 2025 Annual Congress
ANESTHESIOLOGY Annual Meeting
AANP National Conference
AAOMS 107th Annual Meeting
AAPM - PainConnect 2025
ACOG Annual Clinical & Scientific Meeting
ACR Convergence
ADA 85th Scientific Sessions
American Academy of Orthopaedic Surgeons 2025 Annual Meeting
American Association of Clinical Endocrinology 2025
American College of Cardiology 2025 Annual Meeting
American College of Foot and Ankle Surgeons 2025
American College of Physicians Internal Medicine Meeting
American Society of Clinical Oncology 2025
American Society of Hematology Annual Meeting & Exposition
APG Spring Conference 2025
APMA 2025 Annual Scientific Meeting
ASCO Annual Meeting
ASCRS Annual Scientific Meeting
ASHP Midyear Clinical Meeting and Exhibition
ASMBS 2025 Annual Meeting
ASRA Spring 2025
Consultant360's Practical Updates in Primary Care
Conference on Retroviruses and Opportunistic Infections
ENDO 2025
Kidney Week 2025
NCQA Health Innovation Summit
Plastic Surgery: The Meeting
SGO Annual Meeting on Women's Cancer
Society of Gynecologic Oncology Annual Meeting
Society of Hematologic Oncology's Annual Meeting
Society of Hospital Medicine Converge
Clinical Updates
Allergic Asthma
Alzheimer Disease
Atopic Dermatitis
Cardiovascular Disease
Chronic Obstructive Pulmonary Disease
COVID-19
Endometrial Cancer
Endometrial Hyperplasia
Endometriosis
Eosinophilic Disorders
Exocrine Pancreatic Insufficiency
Familial Chylomicronemia Syndrome
Generalized Pustular Psoriasis
Major Depressive Disorder
Myelofibrosis
Nasal Polyps
Ovarian Cancer
Rheumatoid Arthritis
Schizophrenia
Ulcerative Colitis
Uterine Polyps
Publication
About Consultant
Advertising With Consultant360
Author Guidelines
Call for Papers
Case Report Templates
Consultant Current Issue
Consultant Archive
Consultant Early View
FAQ
Get Permissions
Get Permissions
Spine Conditions
Resource Center
News
Research Summaries
Resources
FDA Alerts
Pearls of Wisdom
From the Journal
Insights
Commentary
Podcasts
Q&As
Videos
Interactive
Polls
Quizzes
Slideshows
Events & Education
From the Journal
Photoclinic
Photoclinic
Adolescent Idiopathic Scoliosis
01/09/2018
Scoliosis, characterized by rotation of the vertebrae by 10° or more, affects 1% to 3% of children between age 10 and 16 years.
01/09/2018
Photoclinic
Photoclinic
An Infant With Scoliosis: Is It Idiopathic?
10/12/2017
Lynnette J. Mazur, MD, MPH; Sarah E. Diamond, BA; Ashley Vara, BS
A 15-month-old girl presented to our clinic for a well-child visit. She had been born at term and had been discharged home after 3 days.
10/12/2017
Photoclinic
Photoclinic
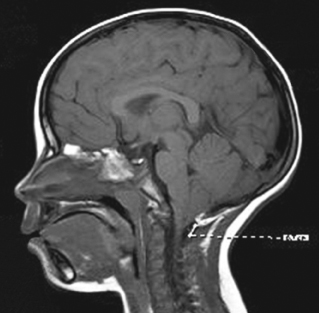
Chiari 1 Malformation with Secondary Cervicothoracic Syringomyelia
07/20/2015
Kyle A. Burton, MD, BS; Tania Lalani, MD
A 47-year-old black female presented with a 2-day history of right-sided facial and hand numbness.
07/20/2015
Scabies
Scabies
Chiari I Malformation
08/01/2011
Deepak M. Kamat, MD, PhD; Carolyn Roy-Bornstein, MD
For the past 6 months, a 2½-year-old boy had headaches that woke him from sleep.
08/01/2011
Pagination
Previous page
‹‹
Page 2