Photoclinic
Photoclinic
11/02/2023
A 78-year-old man presented to our outpatient family medicine clinic with a 3-day history of subjective fever in the absence of additional symptoms.
11/02/2023
Review
Review
05/31/2023
Incidental adrenal tumors are common but are most often asymptomatic. The challenge for primary care providers is to determine the hormone secretion status and malignancy potential. This article outlines...
05/31/2023
Tumors
Tumors
11/04/2022
A 61-year-old woman with a history of bladder prolapse and normal kidney function developed complications after a recent laparoscopic sacral colpopexy for urinary incontinence. Computed tomography scans...
11/04/2022
Kidney Health
Kidney Health
09/13/2022
A 33-year-old man presented to our emergency department after a few hours of nausea, vomiting, and diarrhea associated with left lower quadrant abdominal discomfort.
09/13/2022
What's Your Diagnosis?
What's Your Diagnosis?
03/09/2022
A 51-year-old woman was hospitalized with sepsis secondary to tubo-ovarian abscess. She received intravenous ampicillin-sulbactam and underwent percutaneous drainage. Intravenous ciprofloxacin was added to...
03/09/2022
Photoclinic
Photoclinic
11/30/2021
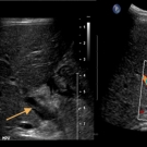
A 4-year-old boy with a history of chronic kidney disease presented with a 4-hour history of sudden onset of pain in his right lower quadrant, which was associated with anorexia and fatigue.
11/30/2021
What's the Take Home?
What's the Take Home?
09/14/2021
A 67-year-old man presented to the office for a general medical examination. He had no new or significant symptoms to report. Of particular interest, 16 years ago, abdominal ultrasonography for...
09/14/2021
Photoclinic
Photoclinic
08/20/2018
A 27-year-old woman underwent uncomplicated laparoscopic right oophorectomy for a dermoid ovarian cyst. Her postprocedural recovery had been uneventful, and she had been discharged home the same day.
08/20/2018
Acute Glomerulonephritis
Acute Glomerulonephritis
07/31/2018
This column was originally published in the May 1691 issue of Consultant.
07/31/2018
Feature
Feature
05/03/2017
Kim A. Carmichael, MD, FACP
Adrenocortical insufficiency may present acutely, such as in the intensive care unit, or may be insidious with nonspecific symptoms.
05/03/2017