From the Journal

Photoclinic
Photoclinic
01/23/2020
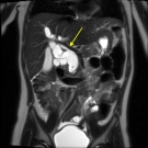
A 3-year-old girl presented to the emergency department with abdominal pain of 1 week’s duration. She also had had nonbloody and nonbilious emesis. She had a history of chronic constipation.
01/23/2020
Photoclinic
Photoclinic
01/07/2020
A 2-year-old girl with a history of hematemesis presented to the emergency department after an episode of hematemesis composed of bright red blood mixed with large blood clots.
01/07/2020
Photoclinic
Photoclinic
12/26/2019
Upamanyu Rampal, MD; F.N.U. Jaydev, MD; Jill Butler, MD; Marwan Saad, MD, PhD, MS
A 32-year-old man had received a diagnosis of type 2 diabetes mellitus 6 months before he presented with pain and swelling of his right lower extremity.
12/26/2019
Original Research
Original Research
08/09/2019
This study demonstrates that health care policy designed by correctional health facilities can lead to successful treatment of hepatitis C virus infection.
08/09/2019
Case in Point
Case in Point
05/08/2014
Philip Pancari, MD; Ronald N. Rubin, MD
A 41-year-old woman presents with diffuse abdominal pain, rated 10/10 in severity, described as “deep and cramping.”
05/08/2014