Photoclinic
Photoclinic
03/21/2022
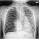
A 3-year-old boy with no medical history presented to the emergency department for worsening cough, decreased appetite, tachypnea, and chest pain for 2 nights.
03/21/2022
Photoclinic
Photoclinic
09/11/2020
Hemophagocytic lymphohistiocytosis results from an unsuppressed immune response leading to hypercytokinemia (cytokine storm), which mimics sepsis.
09/11/2020
Photoclinic
Photoclinic
08/05/2020
A 31-year-old man presented to the emergency department (ED) with a chief concern of fevers and diarrhea for 3 weeks.
08/05/2020
Photoclinic
Photoclinic
10/03/2019
Patricia Wong; Sabine Kohler
A 2-year-old previously healthy girl presented to the pediatric dermatology clinic with recalcitrant diaper dermatitis for 6 months despite treatment with topical antifungals and topical antibacterials. ...
10/03/2019