Photoclinic
Photoclinic
12/29/2020
A 15-year-old girl with a history of depression was brought to the emergency department by emergency medical services for nausea and vomiting. Five hours prior to presentation, she had intentionally taken...
12/29/2020
Case In Point
Case In Point
07/22/2020
A 52-year-old man presented to the emergency department with the chief concern of sudden-onset pleuritic chest pain, shortness of breath, and palpitations.
07/22/2020
Photoclinic
Photoclinic
05/19/2020
Occasionally, the sudden drop in parathyroid hormone levels and subsequent influx of minerals into bone lead to a condition known as hungry bone syndrome.
05/19/2020
Photoclinic
Photoclinic
05/12/2020
Syed A.A. Rizvi, PhD, MBA; Sultan S. Ahmed, MD; Ayman M. Saleh, PhD; Jasmin Ahmed, BS, MS, MD; Ronda Lunn, MPH; Mian Hasan, MD; Frantz Sainvil, PhD, MD, ScD
WPW syndrome is one of the preexcitation disorders and is characterized by an alternative electrical pathway between the atria and the ventricles.
05/12/2020
Photoclinic
Photoclinic
07/31/2019
Alan Lucerna, DO; James Espinosa, MD; Ramy Saleh, DO
Streptococcal pharyngitis is the most common bacterial pharyngitis encountered in the ED, accounting for approximately 12 million annual US ambulatory care visits.
07/31/2019
Feature Article
Feature Article
06/21/2019
Differences in the major bleeding risks between the DOACs and warfarin in patients with NVAF have been reported in the literature. This article summarizes and highlights these findings.
06/21/2019
Photoclinic
Photoclinic
01/03/2019
John Chin, MD, MBChB; Daniel Seidensticker, MD; Andrew Lin, MD
A 44-year-old man with a history of paroxysmal atrial fibrillation (PAF) and New York Heart Association (NYHA) class III heart failure with a reduced ejection fraction (HFrEF) was admitted to our hospital...
01/03/2019
Case in Point
Case in Point
08/15/2018
A 66-year-old man with a history of hypertension was brought to the emergency department by EMS after having experienced unwitnessed cardiac arrest.
08/15/2018
Photoclinic
Photoclinic
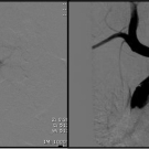
09/26/2017
A 7-year-old girl with recently diagnosed hypertension, presented with headache, chest pain, abdominal pain, and an elevated blood pressure of 173/121 mm Hg in her right upper extremity.
09/26/2017
Atrial Fibrillation
Atrial Fibrillation
08/10/2015
Eric A. Dietrich, PharmD, BCPS; Kyle Davis, PharmD, BCPS
Atrial fibrillation (AF) is one of the most common cardiac dysrhythmias and responsible for significant morbidity and mortality worldwide.
08/10/2015