Volume 45 - Issue 6 - June 2005

Consultant

What's the Take Home?
What's the Take Home?
09/11/2019
Inhibitors of the renin-angiotensin-aldosterone system have become important tools in the management of hypertension, diabetic renal disease, and CHF.
09/11/2019
09/27/2017
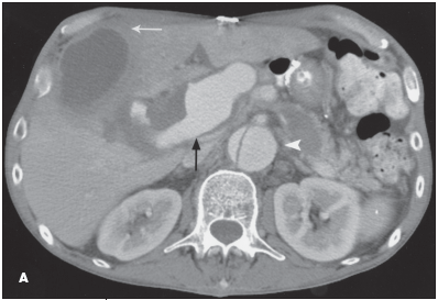
The main factors involved in the pathogenesis of hepatic artery aneurysms are atherosclerosis, medial degeneration, trauma, and infection.
09/27/2017
An Intriguing Diagnosis
An Intriguing Diagnosis
09/26/2017
Ryland P. Byrd, Jr., MD; Thomas M. Roy, MD
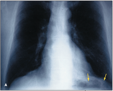
Systemic to pulmonary arteriovenous fistulas are extremely rare.
09/26/2017
09/26/2017
Jack DeHovitz, MD, MPH
Earlier this year, the New York City Commissioner of Health informed the public of a case of recently diagnosed HIV infection.
09/26/2017
06/26/2005
Trousseau syndrome is a spontaneous, recurrent, superficial migratory thrombophlebitis associated with occult cancers.
06/26/2005
06/26/2005
Is the swelling related to a head injury he sustained 4 weeks earlier—or is something else going on here?
06/26/2005
06/26/2005
High LDL and HDL: Implications in a Perimenopausal Woman; Balancing Clot Prevention and Bleeding Risk in TIA Therapy; and Pneumonia Risk in Patients With Achalasia
06/26/2005
Hair Loss
Hair Loss
06/26/2005
A 37-year-old man presents with a large, pruritic, hyperpigmented, lichenified plaque on the left side of his upper back.
06/26/2005
06/26/2005
Hyperpigmentation on the neck; slightly scaling, erythematous oval lesions; a highly pruritic inguinal rash—can you identify the disorders pictured here?
06/26/2005
Psoriasis
Psoriasis
06/26/2005
An array of treatments—from topical corticosteroids to phototherapy to the new “biologics”—are available.
06/26/2005
06/26/2005
 Discover Shortcuts Devised by Colleagues: Nosebleeds, Abscess Draining, Foreign Bodies, Thyroid Exam Discomfort 
06/26/2005
06/25/2005
Health care providers have an important role in helping the adolescent understand the risks involved with drug experimentation.
06/25/2005
06/25/2005
Strategies to help you distinguish benign from life-threatening causes.
06/25/2005
Psoriasis
Psoriasis
06/25/2005
Nail involvement and the lesions of “garden-variety,” guttate, plaque, and pustular psoriasis are pictured here.
06/25/2005
06/25/2005
Talipes equinus always impairs gait, often produces pain, and predisposes to ulcerations.
06/25/2005
06/25/2005
Recommendations do not address the exact question of what to do for someone who has failed to respond to 2 series of hepatitis B vaccine.
06/25/2005