Volume 56 - Issue 6 - June 2016

Consultant

Constipation
Constipation
08/22/2016
Gregory W. Rutecki, MD
This month’s Top Paper reminds us that there have been recent and significant changes in both the diagnostic approach to and the treatment...
08/22/2016
Psoriasis
Psoriasis
07/02/2016
David L. Kaplan, MD
This 42-year-old woman with psoriasis presented for evaluation of a new-onset rash of 1 to 2 weeks’ duration on her trunk and extremities. The lesions were associated with knee and back pain.
07/02/2016
06/10/2016
Benjamin Barankin, MD, FRCPC; Alexander K.C. Leung, MD, MBBS, FRCPC, FRCP
A 35-year-old woman presented with a slow-growing, dark brown lesion on the left knee of 2 to 3 years’ duration. The lesion was asymptomatic. There was no history of preceding trauma or insect bite in the...
06/10/2016
06/08/2016
John Paul Y. Kelada, MD; Tipu V. Khan, MD; Juzar Jamnagerwalla, MD
A 43-year-old, previously healthy woman presented to the ED after having a syncopal episode while showering. She denied any prodrome prior to the syncopal episode and complained only of a short course of...
06/08/2016
Photoclinic
Photoclinic
06/08/2016
Nicholas Horen, MD; Basil E. Akpunonu, MD; Anu Garg, MD; Jordan Burlen, MD, BS; Jana Meisler, BSN, RN, CWS, CWOCN, CFCN
A 47-year-old woman with history of sarcoidosis was being treated in a long-term acute facility for multiple ulcers that are not responding to multiple antibiotics, wound dressings, and chemical and...
06/08/2016
06/08/2016
Ayman M. Saleh, PhD; Jasmin Ahmed, BS, MS, MD; Michael O'Laughlin, BS; Shazia Zafar, MD; Souhad B. Younes, MD; Syed A.A. Rizvi, PhD, MBA; Sultan S. Ahmed, MD
A 33-year-old Jamaican woman presented to the ED with subjective recurrent fever, right-sided cervical lymphadenopathy, diaphoresis, decreased appetite, 2.3-kg weight loss, and abdominal pain for...
06/08/2016
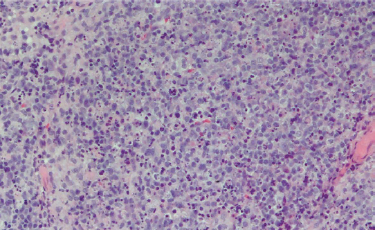
Acute Myeloid Leukemia
Acute Myeloid Leukemia
06/08/2016
Keith E. Lewis, MD; Tracey Samko, MD; Erika Escobedo, MD; Daniel Im, MD; Jenny L. Wong, cPed, Cfts, CCWS, DMD, MD; Cynthia H. Ho, MD; Randall Y. Chan, MD
An 18-year-old boy presented with fever, weight loss, gingival enlargement, and pain for 2 weeks. On physical examination, he had generalized...
06/08/2016
06/05/2016
David L. Kaplan, MD
This 69-year-old woman presented for evaluation of a rash on both lower extremities after having started a regimen of metoprolol and rivaroxaban for atrial fibrillation.
06/05/2016
06/04/2016
Francisco Miled Pherez, MD; Gabriel Sandkovsky, MD; Shobhana Chaudhari, MD
A 53-year-old man presented to the emergency department with a cellulitis infection of his right lower extremity. This was his 15th admission in the last 2 years for the same complication.
06/04/2016
06/03/2016
Adam Goldrich, MD; A. Koneti Rao, MD; Ronald N. Rubin, MD
A 48-year-old man with no significant past medical history presented for evaluation and treatment of fever and chills with associated headache and myalgia of 3 days’ duration.
06/03/2016
Geriatrics
Geriatrics
06/03/2016
Arianne Shadi Kourosh, MD, MPH; Molly A. Storer, BA, MS; Scott H. Bradshaw, MD
Cutaneous angiosarcoma is a rare, aggressive, malignant tumor of vascular endothelial cells in the dermis, usually occurring on the head and neck.
06/03/2016
06/02/2016
Zachary M. Zwolak, DO; Robert C. Langan, MD
A 20-year-old, gravida 3, para 3 woman presented to the ED 11 days postpartum with right lower quadrant abdominal pain that had...
06/02/2016
06/02/2016
Lawrence I. Kaplan, MD; Rosalind Kaplan, MD
This is the true story, told alternately in both our voices, of Larry’s recent misadventure and how it affected us as a medical couple. We are both internists in practice for more than 25 years each.
06/02/2016
What's Your Diagnosis?
What's Your Diagnosis?
06/02/2016
David Effron, MD; Jake Berriocha, MD
A 62-year-old man presented with a facial rash. It had started 3 days prior on the left cheek and had progressed inferiorly and laterally along...
06/02/2016
Emergency Medicine
Emergency Medicine
06/02/2016
Tulisa LaRocca, MD
A man who presented to the emergency department with altered sensorium tested positive for phencyclidine (PCP) and marijuana.
06/02/2016
06/02/2016
David L. Kaplan, MD
A 30-year-old woman with interstitial pneumonitis was being treated with prednisone (initially 20 mg, which had been tapered to 10 mg) and azathioprine.
06/02/2016
06/02/2016
Margaret Sutton, MD; Elizabeth Sutton, BA; Leigh Sutton, MD, PGY-3
An 8-year-old boy was referred for an evaluation of numerous pigmented macules of the skin. The patient and his family had recently immigrated...
06/02/2016
Infectious Diseases
Infectious Diseases
06/02/2016
This Photo Essay features a collection of 4 photo-based cases of conditions transmitted by insects or ticks, including Lyme disease and strongyloidiasis.
06/02/2016
Dermatologic Disorders
Dermatologic Disorders
06/02/2016
Charles J. Haddad, MD; Judella Haddad-Lacle, MD; Reetu Grewal, MD; Lori A. Bilello, PhD; Charles M. Haddad
The vast majority of skin growths or tumors are benign. It is very common for patients to ask their health care provider about such lesions, and they often seek advice when consulting about some other...
06/02/2016
06/02/2016
Darryl S. Chutka, MD
Urinary incontinence (UI) is extremely common, with millions of people in the US experiencing it. While it occurs in both sexes, UI is more than twice as common in women. UI also becomes more common with...
06/02/2016
Mental Health
Mental Health
06/02/2016
David R. Luthin, PhD; Marshall E. Cates, PharmD, BCPP, FASHP; C. Whitney White, PharmD, BCPS; Katie Boyd, PharmD, BCPS
This article offers an overview of the treatment and disease characteristics of posttraumatic stress disorder, a very prevalent psychiatric disorder that causes distress and functional impairment, results...
06/02/2016
06/02/2016
June is the month of National Men’s Health Week, beginning on Monday the 13th and running through Friday the 19th, which also is Father’s Day.
06/02/2016
Peer Reviewed
Peer Reviewed
06/02/2016
Timothy H. Self, PharmD; Sami A. Sakaan, PharmD, BCPS
Hospitals often are faced with a frustrating dilemma: Should patients be allowed to take their multidose medications home upon discharge? The natural inclination, of course, is to allow patients to take...
06/02/2016
Antihypertensives
Antihypertensives
06/02/2016
Eric A. Dietrich, PharmD, BCPS; Kyle Davis, PharmD, BCPS
JG is a 55-year-old man with a history of hyperlipidemia. One month ago, his blood pressure was noted to be elevated during a routine follow-up...
06/02/2016