Volume 55 - Issue 11 - November 2015

Consultant

Photoclinic
Photoclinic
01/03/2019
John Chin, MD, MBChB; Daniel Seidensticker, MD; Andrew Lin, MD
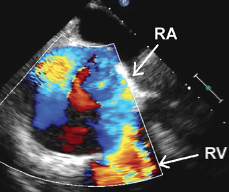
A 44-year-old man with a history of paroxysmal atrial fibrillation (PAF) and New York Heart Association (NYHA) class III heart failure with a reduced ejection fraction (HFrEF) was admitted to our hospital...
01/03/2019
HIV Management
HIV Management
01/31/2018
Joy Ishii Zarandy, DO, FAAFP, DABFM; Joseph Halliday, DO
A 51-year-old African American man with HIV presented with a several month history of a severely pruritic rash involving a majority of his body.
01/31/2018
11/19/2015
Adam B. Blechman, MD; Barbara B. Wilson, MD; R. Blake Steele, BSc
A 25-year-old female patient was seen in clinic for a 2-year history of a recurrent pruritic rash on her neck and shoulders.
11/19/2015
11/19/2015
David L. Kaplan, MD
A 66-year-old female presented with a several month history of a slightly tender lesion on 1 sole that had been unsuccessfully treated initially as a clavus/corn and as a plantar wart.
11/19/2015
11/19/2015
David L. Kaplan, MD
A 26-year-old healthy doctoral candidate was doing research in the university laboratory when she was bitten on the finger by one of the rats she was handling. She comes to your office seeking guidance. ...
11/19/2015
11/19/2015
David L. Kaplan, MD
A 72-year-old male presents for evaluation of slightly tender and annoying growths that have appeared over the last year on his palms and soles.
11/19/2015
11/19/2015
Liza Zachariah, MD; Sherine Salib, MD; Alejandro Moreno, MBBS, MPH, JD
A previously healthy 31-year-old woman presented with a 3-month history of worsening dyspnea and exercise intolerance. She also reported dry cough, loose stools, and a recent 8 lb weight loss.
11/19/2015
11/18/2015
Ahmadreza Karimianpour, DO; Gary P. Miller, MD; Brian W. Zagol, MD
A 73-year-old woman with no known history of coronary artery disease presented to the emergency department with complaints of sudden-onset left-sided substernal chest pain characteristic of myocardial...
11/18/2015
Endocrinology
Endocrinology
11/17/2015
For a month, an obese 50-year-old woman with type 2 diabetes mellitus, hypercholesterolemia, and hypertension had blurry vision in both eyes.
11/17/2015
Endocrinology
Endocrinology
11/17/2015
For a month, an obese 50-year-old woman with type 2 diabetes mellitus, hypercholesterolemia, and hypertension had blurry vision in both eyes.
11/17/2015
Endocrinology
Endocrinology
11/17/2015
For a month, an obese 50-year-old woman with type 2 diabetes mellitus, hypercholesterolemia, and hypertension had blurry vision in both eyes.
11/17/2015
11/17/2015
Sultan S. Ahmed, MD; Timothy Holley, BS; Syed A.A. Rizvi, PhD, MBA
Not following the course of prescribed medicine (medication nonadherence) is a well-known and costly problem in the United States and worldwide.
11/17/2015
Chronic Obstructive Pulmonary Disease
Chronic Obstructive Pulmonary Disease
11/17/2015
Samuel Louie, MD; Claudia M. Vukovich, RRT, CCM, RCP; Celeste Kivler, RCP, RRT, CCRC
Office spirometry is essential, inexpensive, and profitable in the diagnosis and monitoring of chronic obstructive pulmonary disease (COPD).
11/17/2015
11/16/2015
Ronald N. Rubin, MD
A 21-year-old man presented to an urgent care center with complaints of abdominal pain.
11/16/2015
Cardiovascular Diseases
Cardiovascular Diseases
11/16/2015
Eric A. Dietrich, PharmD, BCPS; Kyle Davis, PharmD, BCPS
Dual antiplatelet therapy (DAPT) has become a mainstay in the secondary prevention of cardiovascular (CV) events in patients with a recent history of myocardial infarction (MI) or recent percutaneous...
11/16/2015
11/16/2015

Alexander K.C. Leung, MD, and Benjamin Barankin, MD

Alexander K.C. Leung, MD, and Benjami...
A 48-year-old man presented with pain and pruritus in the penile area of approximately 15 months’ duration.
11/16/2015
Top Papers Of The Month
Top Papers Of The Month
11/10/2015
Gregory W. Rutecki, MD
There are some epidemics of liver disease that are worthy of contemporary notice. One of note is the hepatitis C infection.
11/10/2015
Dermatology
Dermatology
11/10/2015
This second part of the series focuses on common cutaneous infections and systemic diseases, as well as the use of topical corticosteroids.
11/10/2015
Pain
Pain
11/10/2015
Major advances have been made in caring for trauma surgery patients, including in managing their pain.
11/10/2015
11/10/2015
Scott C. Litin, MD
As physicians and teachers, we often are asked to present information to colleagues, students, the public, and patients.
11/10/2015
11/10/2015
Scott C. Litin, MD
As physicians and teachers, we often are asked to present information to colleagues, students, the public, and patients.
11/10/2015
11/10/2015
In honor of National Diabetes Month, Consultant360 recently highlighted several articles focused on diabetes.
11/10/2015